扫码关注公众号           扫码咨询技术支持           扫码咨询技术服务
  
客服热线:400-901-9800  客服QQ:4009019800  技术答疑  技术支持  质量反馈  关于我们  联系我们
产品中心-北京博奥森生物技术有限公司
首页 > 产品中心 > 一抗 > 产品信息
ASB7 Rabbit pAb (bs-9134R)  
订购热线:400-901-9800
订购邮箱:sales@bioss.com.cn
订购QQ:  400-901-9800
技术支持:techsupport@bioss.com.cn
50ul/1180.00元
100ul/1980.00元
200ul/2800.00元
大包装/询价

产品编号 bs-9134R
英文名称 ASB7 Rabbit pAb
中文名称 含锚蛋白重复序列-细胞因子信号抑制物盒蛋白家族7抗体
别    名 ASB7_HUMAN; ASB7; ASB-7;   
研究领域 细胞生物  免疫学  
抗体来源 Rabbit
克隆类型 Polyclonal
克 隆 号
交叉反应 Rat (predicted: Human,Mouse,Sheep,Chicken,Horse)
产品应用 IHC-P=1:100-500,IHC-F=1:100-500,IF=1:100-500
not yet tested in other applications.
optimal dilutions/concentrations should be determined by the end user.
理论分子量 36 kDa
细胞定位 细胞浆 
性    状 Liquid
浓    度 1mg/ml
免 疫 原 KLH conjugated synthetic peptide derived from human ASB7: 85-190/318 
亚    型 IgG
纯化方法 affinity purified by Protein A
缓 冲 液 0.01M TBS (pH7.4) with 1% BSA, 0.02% Proclin300 and 50% Glycerol.
保存条件 Shipped at 4℃. Store at -20℃ for one year. Avoid repeated freeze/thaw cycles.
注意事项 This product as supplied is intended for research use only, not for use in human, therapeutic or diagnostic applications.
PubMed PubMed
产品介绍 Members of the suppressor of cytokine signaling (SOCS) family of proteins contain C-terminal regions of homology called the SOCS box, which serves to couple SOCS proteins and their binding partners with the Elongin B/C complex. Several other families of proteins also contain SOCS boxes, but differ from the SOCS proteins in the type of domain they contain upstream of the SOCS box. The largest family of SOCS box-containing proteins is the ankyrin repeat and SOCS box-containing (ASB) protein family. ASB-7 (ankyrin repeat and SOCS box-containing 7) is a 318 amino acid protein that contains one SOCS box domain and seven ANK repeats and belongs to the ASB family. Existing as multiple alternatively spliced isoforms, ASB-7 functions as a substrate-recognition component of an E3 ubiquitin-protein ligase complex and, working in conjunction with other proteins, plays a role in the ubiquitination and subsequent proteasomal degradation of target proteins.

Function:
Probable substrate-recognition component of a SCF-like ECS (Elongin-Cullin-SOCS-box protein) E3 ubiquitin-protein ligase complex which mediates the ubiquitination and subsequent proteasomal degradation of target proteins (By similarity).

Subunit:
Interacts with CUL5 and RNF7.

Similarity:
Contains 7 ANK repeats.
Contains 1 SOCS box domain.

SWISS:
Q9H672

Gene ID:
140460

Database links:
UniProtKB/Swiss-Prot: Q9H672.2

产品图片
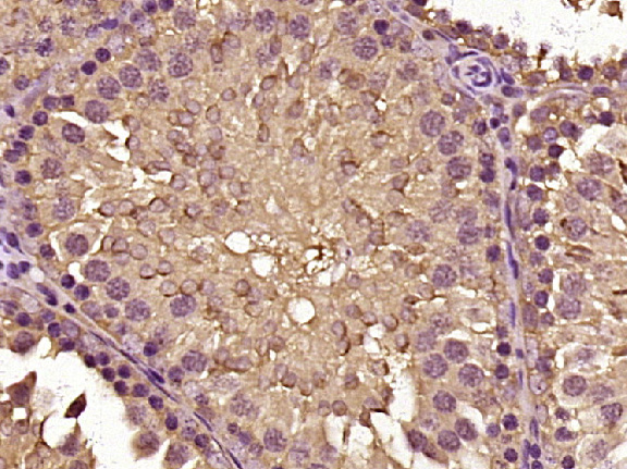
Paraformaldehyde-fixed, paraffin embedded (Rat testis); Antigen retrieval by boiling in sodium citrate buffer (pH6.0) for 15min; Block endogenous peroxidase by 3% hydrogen peroxide for 20 minutes; Blocking buffer (normal goat serum) at 37°C for 30min; Antibody incubation with (ASB7) Polyclonal Antibody, Unconjugated (bs-9134R) at 1:400 overnight at 4°C, followed by operating according to SP Kit(Rabbit) (sp-0023) instructionsand DAB staining.
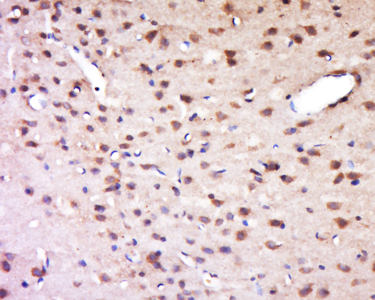
Tissue/cell: Rat brain tissue; 4% Paraformaldehyde-fixed and paraffin-embedded; Antigen retrieval: citrate buffer ( 0.01M, pH 6.0 ), Boiling bathing for 15min; Block endogenous peroxidase by 3% Hydrogen peroxide for 30min; Blocking buffer (normal goat serum,C-0005) at 37℃ for 20 min; Incubation: Anti-ASB7 Polyclonal Antibody, Unconjugated(bs-9134R) 1:500, overnight at 4°C, followed by conjugation to the secondary antibody(SP-0023) and DAB(C-0010) staining
版权所有 2004-2026 www.bioss.com.cn 北京博奥森生物技术有限公司
通过国际质量管理体系ISO 9001:2015 GB/T 19001-2016    证书编号: 00124Q34771R2M/1100
通过国际医疗器械-质量管理体系ISO 13485:2016 GB/T 42061-2022     证书编号: CQC24QY20047R0M/1100
京ICP备05066980号-1         京公网安备110107000727号