扫码关注公众号           扫码咨询技术支持           扫码咨询技术服务
  
客服热线:400-901-9800  客服QQ:4009019800  技术答疑  技术支持  质量反馈  关于我们  联系我们
产品中心-北京博奥森生物技术有限公司
首页 > 产品中心 > 一抗 > 产品信息
COPS7A Rabbit pAb (bs-9124R)  
订购热线:400-901-9800
订购邮箱:sales@bioss.com.cn
订购QQ:  400-901-9800
技术支持:techsupport@bioss.com.cn
50ul/1180.00元
100ul/1980.00元
200ul/2800.00元
大包装/询价

产品编号 bs-9124R
英文名称 COPS7A Rabbit pAb
中文名称 信号转导蛋白亚基7A抗体
别    名 CSN7; CSN7A; SGN7a; D6Ertd35e; CSN7A_HUMAN; COPS7A; Signalosome subunit 7a; Dermal papilla-derived protein 10; JAB1-containing signalosome subunit 7a; DERP10; CSN7A_MOUSE;   
研究领域 细胞生物  免疫学  
抗体来源 Rabbit
克隆类型 Polyclonal
克 隆 号
交叉反应 Human,Rat (predicted: Mouse,Rabbit,Sheep,Cow,Dog,Horse)
产品应用 WB=1:500-2000,IHC-P=1:100-500,IHC-F=1:100-500,IF=1:100-500
not yet tested in other applications.
optimal dilutions/concentrations should be determined by the end user.
理论分子量 30 kDa
细胞定位 细胞核 细胞浆 
性    状 Liquid
浓    度 1mg/ml
免 疫 原 KLH conjugated synthetic peptide derived from human COPS7A: 201-275/275 
亚    型 IgG
纯化方法 affinity purified by Protein A
缓 冲 液 0.01M TBS (pH7.4) with 1% BSA, 0.02% Proclin300 and 50% Glycerol.
保存条件 Shipped at 4℃. Store at -20℃ for one year. Avoid repeated freeze/thaw cycles.
注意事项 This product as supplied is intended for research use only, not for use in human, therapeutic or diagnostic applications.
PubMed PubMed
产品介绍 COPS7A is a component of the COP9 signalosome complex (CSN), a complex involved in various cellular and developmental processes. The CSN complex is an essential regulator of the ubiquitin (Ubl) conjugation pathway by mediating the deneddylation of the cullin subunits of SCF-type E3 ligase complexes, leading to decrease the Ubl ligase activity of SCF-type complexes such as SCF, CSA or DDB2.

Function:
Component of the COP9 signalosome complex (CSN), a complex involved in various cellular and developmental processes. The CSN complex is an essential regulator of the ubiquitin (Ubl) conjugation pathway by mediating the deneddylation of the cullin subunits of SCF-type E3 ligase complexes, leading to decrease the Ubl ligase activity of SCF-type complexes such as SCF, CSA or DDB2. The complex is also involved in phosphorylation of p53/TP53, JUN, I-kappa-B-alpha/NFKBIA, ITPK1 and IRF8/ICSBP, possibly via its association with CK2 and PKD kinases. CSN-dependent phosphorylation of TP53 and JUN promotes and protects degradation by the Ubl system, respectively.

Subunit:
Component of the CSN complex, composed of COPS1/GPS1, COPS2, COPS3, COPS4, COPS5, COP6, COPS7 (COPS7A or COPS7B) and COPS8. In the complex, it probably interacts directly with COPS1, COPS2, COPS4, COPS5, COPS6 and COPS8. Interacts with PMF1. Interacts with the translation initiation factor EIF3S6. Interacts with CK2 and PKD. Interacts directly with ID3.

Subcellular Location:
Cytoplasmic and Nuclear.

Tissue Specificity:
Widely expressed. Expressed at high level in brain, heart and skeletal muscle.

DISEASE:
Phosphorylated by CK2 and PKD kinases. Phosphorylated upon DNA damage, probably by ATM or ATR.

Similarity:
Belongs to the CSN7/EIF3M family. CSN7 subfamily.
Contains 1 PCI domain.

SWISS:
Q9UBW8

Gene ID:
50813

Database links:

Entrez Gene: 50813 Human

Entrez Gene: 26894 Mouse

Entrez Gene: 312710 Rat

SwissProt: Q9UBW8 Human

SwissProt: Q9CZ04 Mouse

Unigene: 530823 Human

Unigene: 244536 Mouse

Unigene: 154627 Rat



产品图片
Sample: A549(Human) Cell Lysate at 30 ug Primary: Anti- COPS7A (bs-9124R) at 1/1000 dilution Secondary: IRDye800CW Goat Anti-Rabbit IgG at 1/20000 dilution Predicted band size: 30 kD Observed band size: 30 kD
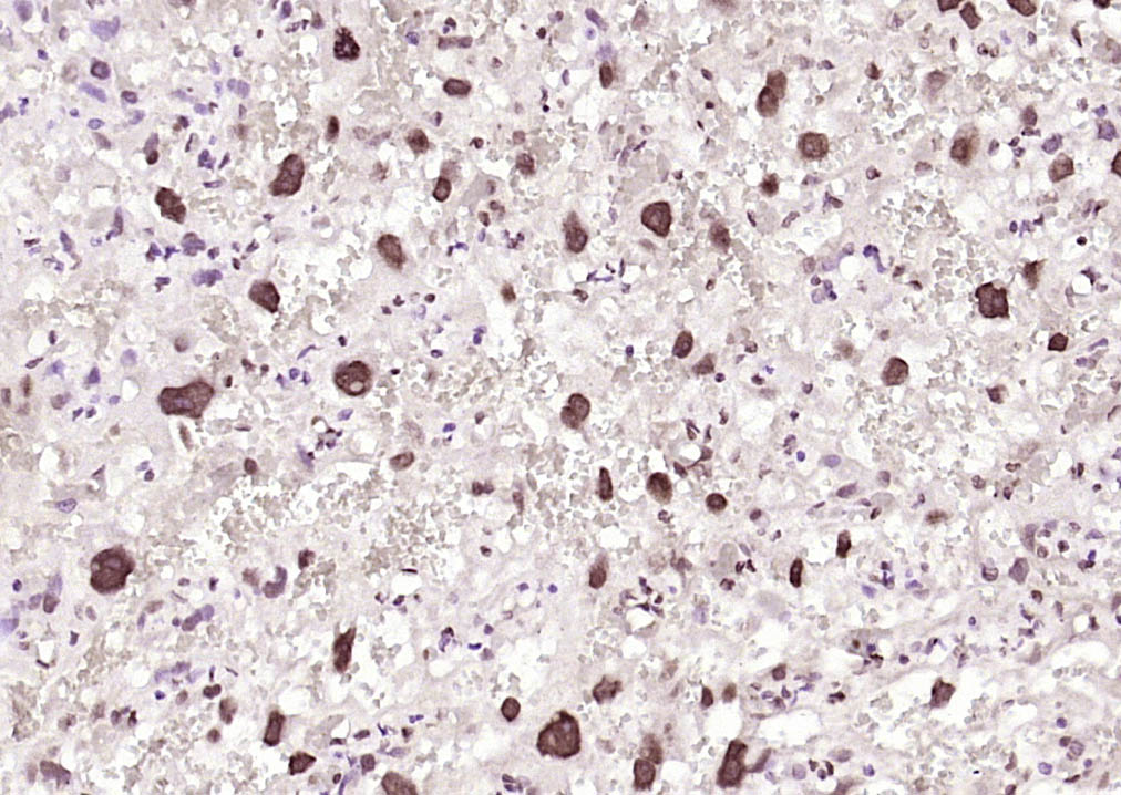
Paraformaldehyde-fixed, paraffin embedded (rat placenta); Antigen retrieval by boiling in sodium citrate buffer (pH6.0) for 15min; Block endogenous peroxidase by 3% hydrogen peroxide for 20 minutes; Blocking buffer (normal goat serum) at 37°C for 30min; Antibody incubation with (COPS7A) Polyclonal Antibody, Unconjugated (bs-9124R) at 1:200 overnight at 4°C, followed by operating according to SP Kit(Rabbit) (sp-0023) instructionsand DAB staining.
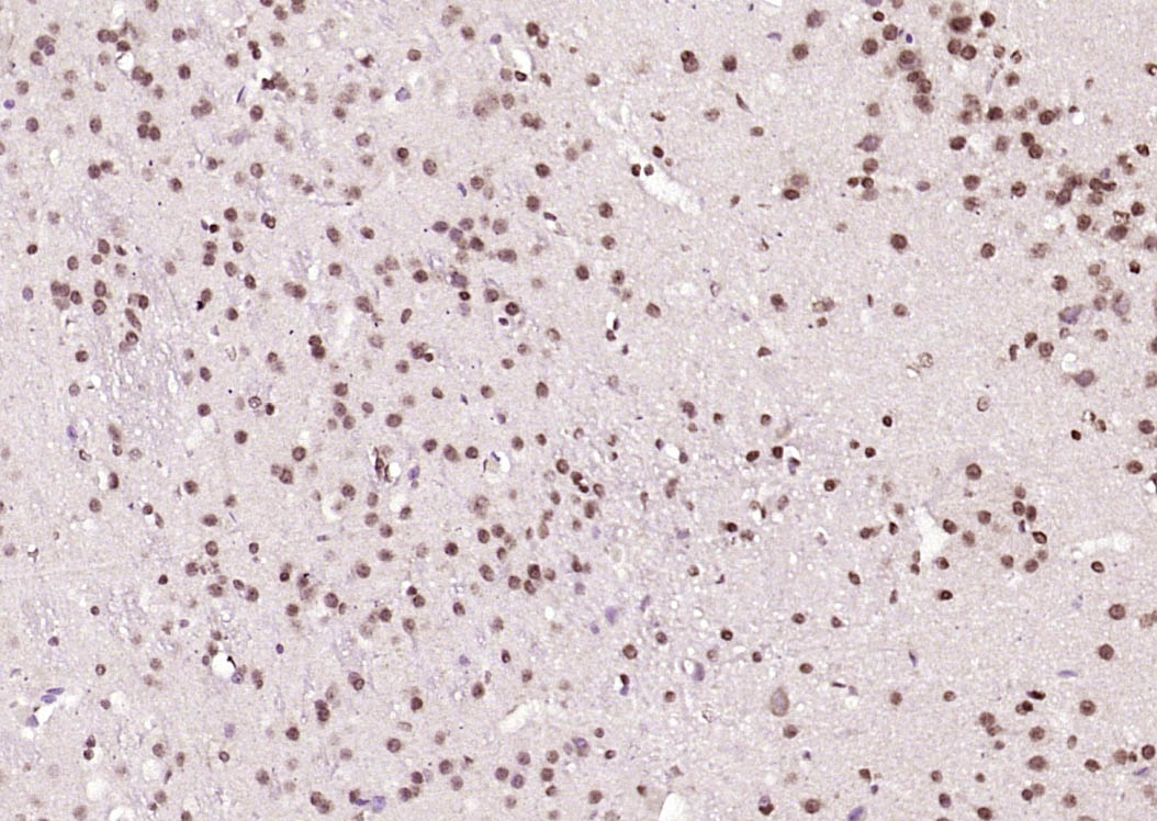
Paraformaldehyde-fixed, paraffin embedded (rat brain); Antigen retrieval by boiling in sodium citrate buffer (pH6.0) for 15min; Block endogenous peroxidase by 3% hydrogen peroxide for 20 minutes; Blocking buffer (normal goat serum) at 37°C for 30min; Antibody incubation with (COPS7A) Polyclonal Antibody, Unconjugated (bs-9124R) at 1:200 overnight at 4°C, followed by operating according to SP Kit(Rabbit) (sp-0023) instructionsand DAB staining.
版权所有 2004-2026 www.bioss.com.cn 北京博奥森生物技术有限公司
通过国际质量管理体系ISO 9001:2015 GB/T 19001-2016    证书编号: 00124Q34771R2M/1100
通过国际医疗器械-质量管理体系ISO 13485:2016 GB/T 42061-2022     证书编号: CQC24QY20047R0M/1100
京ICP备05066980号-1         京公网安备110107000727号