扫码关注公众号           扫码咨询技术支持           扫码咨询技术服务
  
客服热线:400-901-9800  客服QQ:4009019800  技术答疑  技术支持  质量反馈  人才招聘  关于我们  联系我们
产品中心-北京博奥森生物技术有限公司
首页 > 产品中心 > 一抗 > 产品信息
hnRNP U Rabbit pAb (bs-9092R)  
订购热线:400-901-9800
订购邮箱:sales@bioss.com.cn
订购QQ:  400-901-9800
技术支持:techsupport@bioss.com.cn
50ul/1180.00元
100ul/1980.00元
200ul/2800.00元
大包装/询价

产品编号 bs-9092R
英文名称 hnRNP U Rabbit pAb
中文名称 异质核糖核蛋白U抗体
别    名 HNRPU_HUMAN; HNRNPU; hnRNP U; GRIP120; Nuclear p120 ribonucleoprotein; Scaffold-attachment factor A (SAF-A); p120; pp120; C1orf199; HNRPU; SAFA; U21.1; DEE54; EIEE54; HNRNPU-AS1; SAF-A;   
研究领域 细胞生物  免疫学  表观遗传学  
抗体来源 Rabbit
克隆类型 Polyclonal
克 隆 号
交叉反应 Human,Mouse (predicted: Rat,Pig,Cow)
产品应用 WB=1:500-2000,IHC-P=1:100-500,IHC-F=1:100-500,IF=1:50-200,ICC/IF=1:100-500
not yet tested in other applications.
optimal dilutions/concentrations should be determined by the end user.
理论分子量 90 kDa
细胞定位 细胞核 细胞浆 
性    状 Liquid
浓    度 1mg/ml
免 疫 原 KLH conjugated synthetic peptide derived from human hnRNP U: 2-100/825 
亚    型 IgG
纯化方法 affinity purified by Protein A
缓 冲 液 0.01M TBS (pH7.4) with 1% BSA, 0.02% Proclin300 and 50% Glycerol.
保存条件 Shipped at 4℃. Store at -20℃ for one year. Avoid repeated freeze/thaw cycles.
注意事项 This product as supplied is intended for research use only, not for use in human, therapeutic or diagnostic applications.
PubMed PubMed
产品介绍 Heterogeneous nuclear ribonucleoproteins (hnRNPs) are thought to be involved in pre-mRNA processing. However, its role in the regulation of gene expression is as yet poorly understood. Proteins of the heterogeneous nuclear ribonucleoparticles (hnRNP) family form a structurally diverse group of RNA binding proteins implicated in various functions. Recently, hnRNP proteins have been shown to hinder communication between factors bound to different splice sites. Conversely, several reports have described a positive role for some hnRNP proteins in pre-mRNA splicing. hnRNP-U, also termed scaffold attachment factor A (SAF-A), binds to pre-mRNA and nuclear matrix/scaffold attachment region DNA elements.

Function:
Component of the CRD-mediated complex that promotes MYC mRNA stabilization. Binds to pre-mRNA. Has high affinity for scaffold-attached region (SAR) DNA. Binds to double- and single-stranded DNA and RNA.

Subunit:
Identified in the spliceosome C complex. Component of the coding region determinant (CRD)-mediated complex, composed of DHX9, HNRNPU, IGF2BP1, SYNCRIP and YBX1. Identified in a mRNP complex, at least composed of DHX9, DDX3X, ELAVL1, HNRNPU, IGF2BP1, ILF3, PABPC1, PCBP2, PTBP2, STAU1, STAU2, SYNCRIP and YBX1. Identified in a mRNP granule complex, at least composed of ACTB, ACTN4, DHX9, ERG, HNRNPA1, HNRNPA2B1, HNRNPAB, HNRNPD, HNRNPL, HNRNPR, HNRNPU, HSPA1, HSPA8, IGF2BP1, ILF2, ILF3, NCBP1, NCL, PABPC1, PABPC4, PABPN1, RPLP0, RPS3, RPS3A, RPS4X, RPS8, RPS9, SYNCRIP, TROVE2, YBX1 and untranslated mRNAs. Interacts with IGF2BP1 and ERBB4. Ligand for CR2.

Subcellular Location:
Nucleus. Cytoplasm. Cell surface. Localized in cytoplasmic mRNP granules containing untranslated mRNAs. Component of ribonucleosomes. Also found associated with the cell surface.

Post-translational modifications:
Extensively phosphorylated.
Arg-733 and Arg-739 are dimethylated, probably to asymmetric dimethylarginine.

Similarity:
Contains 1 B30.2/SPRY domain.
Contains 1 SAP domain.

SWISS:
Q00839

Gene ID:
3192

产品图片
Sample: Lane 1: Mouse Testis tissue lysates Lane 2: Mouse NIH/3T3 cell lysates Lane 3: Human K562 cell lysates Lane 4: Human HeLa cell lysates Lane 5: Human Jurkat cell lysates Lane 6: Human 293T cell lysates Lane 7: Human HepG2 cell lysates Primary: Anti-hnRNP U (bs-9092R) at 1/1000 dilution Secondary: IRDye800CW Goat Anti-Rabbit IgG at 1/20000 dilution Predicted band size: 90 kDa Observed band size: 120 kDa
Sample: Cerebrum (Mouse) Lysate at 40 ug Cerebrum(Rat) Lysate at 40 ug Primary: Anti-hnRNP U (bs-9092R) at 1/1000 dilution Secondary: IRDye800CW Goat Anti-Rabbit IgG at 1/20000 dilution Predicted band size: 90 kD Observed band size: 90 kD
Paraformaldehyde-fixed, paraffin embedded (human brain); Antigen retrieval by boiling in sodium citrate buffer (pH6.0) for 15min; Block endogenous peroxidase by 3% hydrogen peroxide for 20 minutes; Blocking buffer (normal goat serum) at 37°C for 30min; Incubation with (hnRNP U) Polyclonal Antibody, Unconjugated (bs-9092R) at 1:200 overnight at 4°C, followed by operating according to SP Kit(Rabbit) (sp-0023) instructionsand DAB staining.
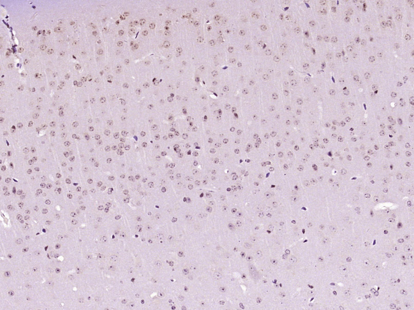
Paraformaldehyde-fixed, paraffin embedded (Mouse brain); Antigen retrieval by boiling in sodium citrate buffer (pH6.0) for 15min; Block endogenous peroxidase by 3% hydrogen peroxide for 20 minutes; Blocking buffer (normal goat serum) at 37°C for 30min; Antibody incubation with (hnRNP U) Polyclonal Antibody, Unconjugated (bs-9092R) at 1:400 overnight at 4°C, followed by operating according to SP Kit(Rabbit) (sp-0023) instructionsand DAB staining.
Hela cell; 4% Paraformaldehyde-fixed; Triton X-100 at room temperature for 20 min; Blocking buffer (normal goat serum, C-0005) at 37°C for 20 min; Antibody incubation with (hnRNP U) polyclonal Antibody, Unconjugated (bs-9092R) 1:50, 90 minutes at 37°C; followed by a conjugated Goat Anti-Rabbit IgG antibody at 37°C for 90 minutes, DAPI (blue, C02-04002) was used to stain the cell nuclei.
版权所有 2004-2026 www.bioss.com.cn 北京博奥森生物技术有限公司
通过国际质量管理体系ISO 9001:2015 GB/T 19001-2016    证书编号: 00124Q34771R2M/1100
通过国际医疗器械-质量管理体系ISO 13485:2016 GB/T 42061-2022     证书编号: CQC24QY20047R0M/1100
京ICP备05066980号-1         京公网安备110107000727号