扫码关注公众号           扫码咨询技术支持           扫码咨询技术服务
  
客服热线:400-901-9800  客服QQ:4009019800  技术答疑  技术支持  质量反馈  关于我们  联系我们
产品中心-北京博奥森生物技术有限公司
首页 > 产品中心 > 一抗 > 产品信息
NCF1 Rabbit pAb (bs-6966R)  
订购热线:400-901-9800
订购邮箱:sales@bioss.com.cn
订购QQ:  400-901-9800
技术支持:techsupport@bioss.com.cn
50ul/1180.00元
100ul/1980.00元
200ul/2800.00元
大包装/询价

产品编号 bs-6966R
英文名称 NCF1 Rabbit pAb
中文名称 NADPH氧化酶活化蛋白p47抗体
别    名 CGD1; NCF-1; NCF-47K; NCF1A; NOXO2; SH3PXD1A; p47-phox; p47phox; p47; NCF1_BOVIN; NCF1; 47 kDa neutrophil oxidase factor; Neutrophil NADPH oxidase factor 1; NCF1_HUMAN; 47 kDa autosomal chronic granulomatous disease protein; Nox organizer 2; Nox-organizin  
Specific References  (3)     |     bs-6966R has been referenced in 3 publications.
[IF=6.656] Chuanjing Cheng. et al. Astragaloside IV targets PRDX6, inhibits the activation of RAC subunit in NADPH oxidase 2 for oxidative damage. PHYTOMEDICINE. 2023 Mar;:154795  ICC ;  Mouse.  
[IF=3.72] Almajdoob, Sara, Ekhtear Hossain, and Madhu B. Anand-Srivastava. "Resveratrol attenuates hyperproliferation of vascular smooth muscle cells from spontaneously hypertensive rats: Role of ROS and ROS-mediated cell signaling." Vascular Pharmacology (2017).  WB ;  Rat.  
[IF=3.509] Xin Shan. et al. Proteomic analysis of healthy and atretic porcine follicular granulosa cells. J Proteomics. 2021 Feb;232:104027  WB ;  Pig.  
研究领域 细胞生物  免疫学  
抗体来源 Rabbit
克隆类型 Polyclonal
克 隆 号
交叉反应 Human,Rat (predicted: Mouse,Rabbit,Pig,Cow,Dog)
产品应用 IHC-P=1:100-500,IHC-F=1:100-500,IF=1:50-200
not yet tested in other applications.
optimal dilutions/concentrations should be determined by the end user.
理论分子量 43 kDa
细胞定位 细胞浆 
性    状 Liquid
浓    度 1mg/ml
免 疫 原 KLH conjugated synthetic peptide derived from human p47-phox: 12-120/390 
亚    型 IgG
纯化方法 affinity purified by Protein A
缓 冲 液 0.01M TBS (pH7.4) with 1% BSA, 0.02% Proclin300 and 50% Glycerol.
保存条件 Shipped at 4℃. Store at -20℃ for one year. Avoid repeated freeze/thaw cycles.
注意事项 This product as supplied is intended for research use only, not for use in human, therapeutic or diagnostic applications.
PubMed PubMed
产品介绍 The heredity chronic granulomatous disease (CGF) has been linked to mutations in p47-phox and p67-phox. The cytosolic proteins p47-phox and p67-phox, also designated neutrophil cytosol factor (NCF)1 and NCF2, respectively, are required for activation of the superoxide-producing NADPH oxidase in neutrophils and other phagocytic cells. During activation of the NADPH oxidase, p47-phox and p67-phox migrate to the plasma membrane where they associate with cytochrome b558 and the small G protein Rac to form the functional enzyme complex. Both p47-phox and p67-phox contain two Src homology 3 (SH3) domains. The C-terminal SH3 domain of p67-phox has been shown to interact with the proline-rich domain of p47-phox, suggesting that p47-phox may faciliate the transport of p67-phox to the membrane.

Function:
NCF2, NCF1, and a membrane bound cytochrome b558 are required for activation of the latent NADPH oxidase (necessary for superoxide production).

Subunit:
Interacts with NOXA1. Interacts with ADAM15. Interacts with TRAF4. Interacts with FASLG.

Subcellular Location:
Cytoplasm.

Post-translational modifications:
Phosphorylated by PRKCD; phosphorylation induces activation of NCF1 and NADPH oxidase activity.

DISEASE:
Defects in NCF1 are the cause of chronic granulomatous disease autosomal recessive cytochrome-b-positive type 1 (CGD1) [MIM:233700]. Chronic granulomatous disease is a genetically heterogeneous disorder characterized by the inability of neutrophils and phagocytes to kill microbes that they have ingested. Patients suffer from life-threatening bacterial/fungal infections.

Similarity:
Contains 1 PX (phox homology) domain.
Contains 2 SH3 domains.

SWISS:
P14598

Gene ID:
653361

Database links:

Entrez Gene: 653361 Human

Entrez Gene: 17969 Mouse

Entrez Gene: 114553 Rat

Omim: 608512 Human

SwissProt: P14598 Human

SwissProt: Q09014 Mouse

Unigene: 647047 Human

Unigene: 655201 Human

Unigene: 425296 Mouse



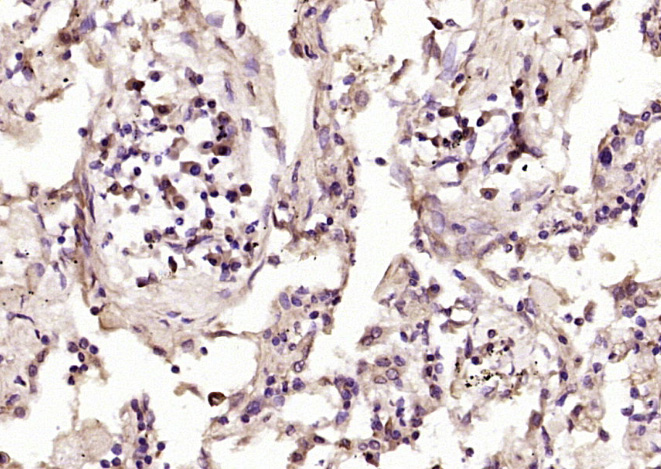
产品图片
Paraformaldehyde-fixed, paraffin embedded (human lung carcinoma); Antigen retrieval by boiling in sodium citrate buffer (pH6.0) for 15min; Block endogenous peroxidase by 3% hydrogen peroxide for 20 minutes; Blocking buffer (normal goat serum) at 37°C for 30min; Antibody incubation with (NCF1) Polyclonal Antibody, Unconjugated (bs-6966R) at 1:200 overnight at 4°C, followed by operating according to SP Kit(Rabbit) (sp-0023) instructionsand DAB staining.
Tissue/cell: rat brain tissue; 4% Paraformaldehyde-fixed and paraffin-embedded; Antigen retrieval: citrate buffer ( 0.01M, pH 6.0 ), Boiling bathing for 15min; Block endogenous peroxidase by 3% Hydrogen peroxide for 30min; Blocking buffer (normal goat serum,C-0005) at 37℃ for 20 min; Incubation: Anti-p47-phox Polyclonal Antibody, Unconjugated(bs-6966R) 1:200, overnight at 4°C, followed by conjugation to the secondary antibody(SP-0023) and DAB(C-0010) staining
版权所有 2004-2026 www.bioss.com.cn 北京博奥森生物技术有限公司
通过国际质量管理体系ISO 9001:2015 GB/T 19001-2016    证书编号: 00124Q34771R2M/1100
通过国际医疗器械-质量管理体系ISO 13485:2016 GB/T 42061-2022     证书编号: CQC24QY20047R0M/1100
京ICP备05066980号-1         京公网安备110107000727号