扫码关注公众号           扫码咨询技术支持           扫码咨询技术服务
  
客服热线:400-901-9800  客服QQ:4009019800  技术答疑  技术支持  质量反馈  关于我们  联系我们
产品中心-北京博奥森生物技术有限公司
首页 > 产品中心 > 一抗 > 产品信息
HSPB2 Rabbit pAb (bs-4782R)  
订购热线:400-901-9800
订购邮箱:sales@bioss.com.cn
订购QQ:  400-901-9800
技术支持:techsupport@bioss.com.cn
50ul/1180.00元
100ul/1980.00元
200ul/2800.00元
大包装/询价

产品编号 bs-4782R
英文名称 HSPB2 Rabbit pAb
中文名称 热休克蛋白B2抗体
别    名 HSP27; Hs.78846; LOH11CR1K; MKBP; 27kDa; 2810021G24Rik; HSPB2_HUMAN; HSPB2; DMPK-binding protein (MKBP); Heat shock protein family B member 2; HSPB2_MOUSE; HSPB2_RAT;   
研究领域 肿瘤  细胞生物  免疫学  信号转导  
抗体来源 Rabbit
克隆类型 Polyclonal
克 隆 号
交叉反应 Mouse,Rat (predicted: Human,Rabbit,Pig,Cow,Dog,Horse)
产品应用 IHC-P=1:100-500,IHC-F=1:100-500,IF=1:100-500
not yet tested in other applications.
optimal dilutions/concentrations should be determined by the end user.
理论分子量 20 kDa
细胞定位 细胞核 细胞浆 
性    状 Liquid
浓    度 1mg/ml
免 疫 原 KLH conjugated synthetic peptide derived from human HSPB2: 101-182/182 
亚    型 IgG
纯化方法 affinity purified by Protein A
缓 冲 液 0.01M TBS (pH7.4) with 1% BSA, 0.02% Proclin300 and 50% Glycerol.
保存条件 Shipped at 4℃. Store at -20℃ for one year. Avoid repeated freeze/thaw cycles.
注意事项 This product as supplied is intended for research use only, not for use in human, therapeutic or diagnostic applications.
PubMed PubMed
产品介绍 The heat shock proteins (HSPs) comprise a group of highly conserved, abundantly expressed proteins with diverse functions, including the assembly and sequestering of multi-protein complexes, transportation of nascent polypeptide chains across cellular membranes and regulation of protein folding. HSPB2 (heat shock 27 kDa protein 2), also known as HSP 27 or MKBP, is a 182 amino acid protein that belongs to the heat shock protein family and is expressed preferentially in heart and skeletal muscle. Localized to mitochondria, HSPB2 functions as an ATP-dependent chaperone protein that plays a role in the refolding of denatured proteins and may also interact with the Actin cytoskeleton and prevent apoptotic cell death. HSPB2 is abundantly expressed in several cancer cell lines, suggesting that HSPB2 may be an important factor in tumor transformation and metastasis.

Function:
May regulate the kinase DMPK.

Subunit:
Interacts with DMPK; may enhance its kinase activity.

Subcellular Location:
Cytoplasm. Nucleus. Localizes to nuclear foci.

Tissue Specificity:
Expressed preferentially in skeletal muscle and heart.

Similarity:
Belongs to the small heat shock protein (HSP20) family.

SWISS:
Q16082

Gene ID:
3316

Database links:

Entrez Gene: 3316 Human

Entrez Gene: 69253 Mouse

Entrez Gene: 161476 Rat

Omim: 602179 Human

SwissProt: Q16082 Human

SwissProt: Q99PR8 Mouse

SwissProt: O35878 Rat

Unigene: 709660 Human

Unigene: 1980 Mouse

Unigene: 22486 Rat



产品图片
Paraformaldehyde-fixed, paraffin embedded (mouse brain tissue); Antigen retrieval by boiling in sodium citrate buffer (pH6.0) for 15min; Block endogenous peroxidase by 3% hydrogen peroxide for 20 minutes; Blocking buffer (normal goat serum) at 37°C for 30min; Antibody incubation with (HSPB2) Polyclonal Antibody, Unconjugated (bs-4782R) at 1:400 overnight at 4°C, followed by operating according to SP Kit(Rabbit) (sp-0023) instructionsand DAB staining.
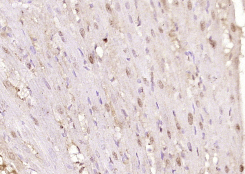
Paraformaldehyde-fixed, paraffin embedded (rat heart tissue); Antigen retrieval by boiling in sodium citrate buffer (pH6.0) for 15min; Block endogenous peroxidase by 3% hydrogen peroxide for 20 minutes; Blocking buffer (normal goat serum) at 37°C for 30min; Antibody incubation with (HSPB2) Polyclonal Antibody, Unconjugated (bs-4782R) at 1:400 overnight at 4°C, followed by operating according to SP Kit(Rabbit) (sp-0023) instructionsand DAB staining.
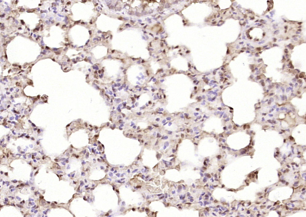
Paraformaldehyde-fixed, paraffin embedded (rat lung tissue); Antigen retrieval by boiling in sodium citrate buffer (pH6.0) for 15min; Block endogenous peroxidase by 3% hydrogen peroxide for 20 minutes; Blocking buffer (normal goat serum) at 37°C for 30min; Antibody incubation with (HSPB2) Polyclonal Antibody, Unconjugated (bs-4782R) at 1:400 overnight at 4°C, followed by operating according to SP Kit(Rabbit) (sp-0023) instructionsand DAB staining.
版权所有 2004-2026 www.bioss.com.cn 北京博奥森生物技术有限公司
通过国际质量管理体系ISO 9001:2015 GB/T 19001-2016    证书编号: 00124Q34771R2M/1100
通过国际医疗器械-质量管理体系ISO 13485:2016 GB/T 42061-2022     证书编号: CQC24QY20047R0M/1100
京ICP备05066980号-1         京公网安备110107000727号