扫码关注公众号           扫码咨询技术支持           扫码咨询技术服务
  
客服热线:400-901-9800  客服QQ:4009019800  技术答疑  技术支持  质量反馈  关于我们  联系我们
产品中心-北京博奥森生物技术有限公司
首页 > 产品中心 > 一抗 > 产品信息
CFH Rabbit pAb (bs-9525R)  
订购热线:400-901-9800
订购邮箱:sales@bioss.com.cn
订购QQ:  400-901-9800
技术支持:techsupport@bioss.com.cn
50ul/1180.00元
100ul/1980.00元
大包装/询价

产品编号 bs-9525R
英文名称 CFH Rabbit pAb
中文名称 补体因子H抗体
别    名 AHUS1; AMBP1; ARMD4; ARMS1; CFHL3; FH; FHL1; HF; HF1; HF2; HUS; Mud-1; NOM; Sas-1; Sas1; AMBP-1; CFAH_HUMAN; CFH; H factor 1; CFAH_MOUSE; Protein beta-1-H;   
Specific References  (6)     |     bs-9525R has been referenced in 6 publications.
[IF=3.386] Ying He. et al. Bioinformatics Profiling and Experimental Validation of 4 Differentially-Expressed LIM Genes in the Course of Colorectal-Adenoma-Carcinoma. MED SCI MONITOR. 2022; 28: e937081-1–e937081-17  IHC ;  Human.  
[IF=2.96] Chen C et al. Alternative complement pathway is activated in the brains of scrapie‑infected rodents. Med Microbiol Immunol. 2019 Nov 12.  IHC-P&IHF ;  Mouse&Chinese golden hamsters.  
[IF=2.838] Wang Yan. et al. Qihuang Granule protects the retinal pigment epithelium from oxidative stress via regulation of the alternative complement pathway. BMC Complementary Medicine and Therapies. 2023 Dec;23(1):1-12  WB ;  Mouse.  
[IF=2.311] Bingsheng Yang. et al. Identification of prognostic biomarkers associated with metastasis and immune infiltration in osteosarcoma. Oncol Lett. 2021 Mar;21(3):1-1  IHC ;  Human.  
[IF=1.563] Wang,et al.Screening of genes involved in epithelial-mesenchymal transition and differential expression of complement-related genes induced by PAX2 in renal tubules.() Nephrology. :.  WB ;  Rat.  
[IF=1.4] Zhang,et al.Effect of local scrotal heating on the expression of tight junction-associated molecule Occludin in boar testes.(2018) Reproduction in Domestic Animals. 53:458-462.  WB + IHC-P ;  Boar.  
研究领域 细胞生物  免疫学  
抗体来源 Rabbit
克隆类型 Polyclonal
克 隆 号
交叉反应 Human
产品应用 IHC-P=1:100-500,IHC-F=1:100-500,IF=1:100-500,ELISA=1:5000-10000
not yet tested in other applications.
optimal dilutions/concentrations should be determined by the end user.
理论分子量 51/137 kDa
检测分子量 150
细胞定位 分泌型蛋白 
性    状 Liquid
浓    度 1mg/ml
免 疫 原 KLH conjugated synthetic peptide derived from human CFH: 721-820/1231 
亚    型 IgG
纯化方法 affinity purified by Protein A
缓 冲 液 0.01M TBS (pH7.4) with 1% BSA, 0.02% Proclin300 and 50% Glycerol.
保存条件 Shipped at 4℃. Store at -20℃ for one year. Avoid repeated freeze/thaw cycles.
注意事项 This product as supplied is intended for research use only, not for use in human, therapeutic or diagnostic applications.
PubMed PubMed
产品介绍 This gene is a member of the Regulator of Complement Activation (RCA) gene cluster and encodes a protein with twenty short consensus repeat (SCR) domains. This protein is secreted into the bloodstream and has an essential role in the regulation of complement activation, restricting this innate defense mechanism to microbial infections. Mutations in this gene have been associated with hemolytic-uremic syndrome (HUS) and chronic hypocomplementemic nephropathy. Alternate transcriptional splice variants, encoding different isoforms, have been characterized. [provided by RefSeq, Oct 2011]

Function:
Factor H functions as a cofactor in the inactivation of C3b by factor I and also increases the rate of dissociation of the C3bBb complex (C3 convertase) and the (C3b)NBB complex (C5 convertase) in the alternative complement pathway.

Subcellular Location:
Secreted.

Tissue Specificity:
Expressed by the liver and secreted in plasma.

DISEASE:
Genetic variations in CFH are associated with basal laminar drusen (BLD) [MIM:126700]; also known as drusen of Bruch membrane or cuticular drusen or grouped early adult-onset drusen. Drusen are extracellular deposits that accumulate below the retinal pigment epithelium on Bruch membrane. Basal laminar drusen refers to an early adult-onset drusen phenotype that shows a pattern of uniform small, slightly raised yellow subretinal nodules randomly scattered in the macula. In later stages, these drusen often become more numerous, with clustered groups of drusen scattered throughout the retina. In time these small basal laminar drusen may expand and ultimately lead to a serous pigment epithelial detachment of the macula that may result in vision loss.
Defects in CFH are the cause of complement factor H deficiency (CFHD) [MIM:609814]. A disorder that can manifest as several different phenotypes, including asymptomatic, recurrent bacterial infections, and renal failure. Laboratory features usually include decreased serum levels of factor H, complement component C3, and a decrease in other terminal complement components, indicating activation of the alternative complement pathway. It is associated with a number of renal diseases with variable clinical presentation and progression, including membranoproliferative glomerulonephritis and atypical hemolytic uremic syndrome.
Defects in CFH are a cause of susceptibility to hemolytic uremic syndrome atypical type 1 (AHUS1) [MIM:235400]. An atypical form of hemolytic uremic syndrome. It is a complex genetic disease characterized by microangiopathic hemolytic anemia, thrombocytopenia, renal failure and absence of episodes of enterocolitis and diarrhea. In contrast to typical hemolytic uremic syndrome, atypical forms have a poorer prognosis, with higher death rates and frequent progression to end-stage renal disease. Note=Susceptibility to the development of atypical hemolytic uremic syndrome can be conferred by mutations in various components of or regulatory factors in the complement cascade system. Other genes may play a role in modifying the phenotype.
Genetic variation in CFH is associated with age-related macular degeneration type 4 (ARMD4) [MIM:610698]. ARMD is a multifactorial eye disease and the most common cause of irreversible vision loss in the developed world. In most patients, the disease is manifest as ophthalmoscopically visible yellowish accumulations of protein and lipid (known as drusen) that lie beneath the retinal pigment epithelium and within an elastin-containing structure known as Bruch membrane.

Similarity:
Contains 20 Sushi (CCP/SCR) domains.

SWISS:
P08603

Gene ID:
3075

Database links:

Entrez Gene: 3075 Human

Entrez Gene: 12628 Mouse

Entrez Gene: 155012 Rat

SwissProt: P08603 Human

SwissProt: P06909 Mouse



产品图片
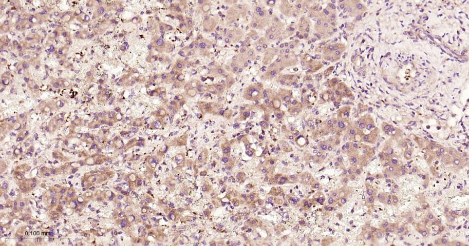
Paraformaldehyde-fixed, paraffin embedded Human Liver; Antigen retrieval by boiling in sodium citrate buffer (pH6.0) for 15 min; The section was incubated with CFH Polyclonal Antibody, Unconjugated (bs-9525R) at 1:200 overnight at 4°C, followed by conjugation to the bs-0295G-HRP and DAB (C-0010) staining.
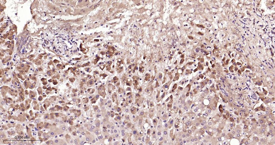
Paraformaldehyde-fixed, paraffin embedded Human Liver Cancer; Antigen retrieval by boiling in sodium citrate buffer (pH6.0) for 15 min; The section was incubated with CFH Polyclonal Antibody, Unconjugated (bs-9525R) at 1:200 overnight at 4°C, followed by conjugation to the bs-0295G-HRP and DAB (C-0010) staining.
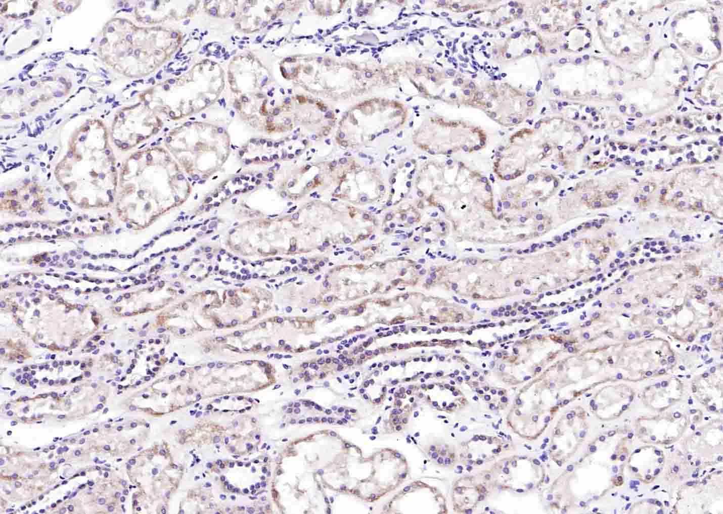
Paraformaldehyde-fixed, paraffin embedded (Human kidney); Antigen retrieval by boiling in sodium citrate buffer (pH6.0) for 15min; Block endogenous peroxidase by 3% hydrogen peroxide for 20 minutes; Blocking buffer (normal goat serum) at 37°C for 30min; Antibody incubation with (CFH) Polyclonal Antibody, Unconjugated (bs-9525R) at 1:200 overnight at 4°C, followed by operating according to SP Kit(Rabbit) (sp-0023) instructionsand DAB staining.
版权所有 2004-2026 www.bioss.com.cn 北京博奥森生物技术有限公司
通过国际质量管理体系ISO 9001:2015 GB/T 19001-2016    证书编号: 00124Q34771R2M/1100
通过国际医疗器械-质量管理体系ISO 13485:2016 GB/T 42061-2022     证书编号: CQC24QY20047R0M/1100
京ICP备05066980号-1         京公网安备110107000727号