扫码关注公众号           扫码咨询技术支持           扫码咨询技术服务
  
客服热线:400-901-9800  客服QQ:4009019800  技术答疑  技术支持  质量反馈  关于我们  联系我们
产品中心-北京博奥森生物技术有限公司
首页 > 产品中心 > 一抗 > 产品信息
PDZD8 Rabbit pAb (bs-9043R)  
订购热线:400-901-9800
订购邮箱:sales@bioss.com.cn
订购QQ:  400-901-9800
技术支持:techsupport@bioss.com.cn
50ul/1180.00元
100ul/1980.00元
200ul/2800.00元
大包装/询价

产品编号 bs-9043R
英文名称 PDZD8 Rabbit pAb
中文名称 PDZ结构域PDZK8蛋白抗体
别    名 IDDADF; PDZK8; PDZD8_HUMAN; PDZD8; Sarcoma antigen NY-SAR-84/NY-SAR-104;   
Specific References  (1)     |     bs-9043R has been referenced in 1 publications.
[IF=5.924] Yudai Hojo. et al. Sunitinib and Pterostilbene Combination Treatment Exerts Antitumor Effects in Gastric Cancer via Suppression of PDZD8. INT J MOL SCI. Int J Mol Sci. 2022 Jan;23(7):4002  WB,IHC,IP ;  Human,Mouse.  
研究领域 细胞生物  免疫学  
抗体来源 Rabbit
克隆类型 Polyclonal
克 隆 号
交叉反应 Human,Rat (predicted: Mouse,Dog,Horse)
产品应用 WB=1:500-2000,IHC-P=1:100-500,IHC-F=1:100-500,IF=1:100-500
not yet tested in other applications.
optimal dilutions/concentrations should be determined by the end user.
理论分子量 128 kDa
细胞定位 细胞浆 
性    状 Liquid
浓    度 1mg/ml
免 疫 原 KLH conjugated synthetic peptide derived from human PDZD8: 901-1000/1154 
亚    型 IgG
纯化方法 affinity purified by Protein A
缓 冲 液 0.01M TBS (pH7.4) with 1% BSA, 0.02% Proclin300 and 50% Glycerol.
保存条件 Shipped at 4℃. Store at -20℃ for one year. Avoid repeated freeze/thaw cycles.
注意事项 This product as supplied is intended for research use only, not for use in human, therapeutic or diagnostic applications.
PubMed PubMed
产品介绍 PDZD8 contains a PDZ domain. PDZ domains are protein-interaction domains that are often found in multi-domain scaffolding proteins. The function of this protein remains unknown.

Function:
Plays a role in the regulation of cell morphology and cytoskeletal organization. May inhibit herpes simplex virus 1 infection at an early stage. May promote retroviral infection.

Subunit:
Interacts with MSN. Interacts with HIV-1 Gag polyprotein p55.

Similarity:
Contains 1 PDZ (DHR) domain.
Contains 1 phorbol-ester/DAG-type zinc finger.

SWISS:
Q8NEN9

Gene ID:
118987

Database links:

Entrez Gene: 118987 Human

SwissProt: Q8NEN9 Human

Unigene: 501149 Human



产品图片
Sample: Panc-1(Human) Cell Lysate at 30 ug Primary: Anti-PDZD8 (bs-9043R) at 1/1000 dilution Secondary: IRDye800CW Goat Anti-Rabbit IgG at 1/20000 dilution Predicted band size: 128 kD Observed band size: 130kD
Sample: Hela(Human) Cell Lysate at 30 ug Primary: Anti-PDZD8 (bs-9043R) at 1/1000 dilution Secondary: IRDye800CW Goat Anti-Rabbit IgG at 1/20000 dilution Predicted band size: 128 kD Observed band size: 130 kD
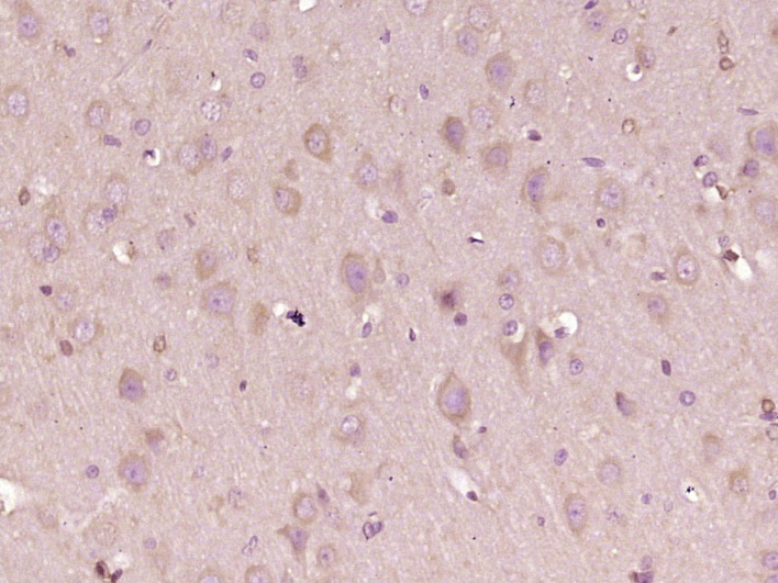
Paraformaldehyde-fixed, paraffin embedded (rat brain tissue); Antigen retrieval by boiling in sodium citrate buffer (pH6.0) for 15min; Block endogenous peroxidase by 3% hydrogen peroxide for 20 minutes; Blocking buffer (normal goat serum) at 37°C for 30min; Antibody incubation with (PDZD8 Polyclonal Antibody, Unconjugated (bs-9043R) at 1:400 overnight at 4°C, followed by operating according to SP Kit(Rabbit) (sp-0023) instructionsand DAB staining.
版权所有 2004-2026 www.bioss.com.cn 北京博奥森生物技术有限公司
通过国际质量管理体系ISO 9001:2015 GB/T 19001-2016    证书编号: 00124Q34771R2M/1100
通过国际医疗器械-质量管理体系ISO 13485:2016 GB/T 42061-2022     证书编号: CQC24QY20047R0M/1100
京ICP备05066980号-1         京公网安备110107000727号