扫码关注公众号           扫码咨询技术支持           扫码咨询技术服务
  
客服热线:400-901-9800  客服QQ:4009019800  技术答疑  技术支持  质量反馈  关于我们  联系我们
产品中心-北京博奥森生物技术有限公司
首页 > 产品中心 > 一抗 > 产品信息
FRMPD2 Rabbit pAb (bs-9038R)  
订购热线:400-901-9800
订购邮箱:sales@bioss.com.cn
订购QQ:  400-901-9800
技术支持:techsupport@bioss.com.cn
50ul/1180.00元
100ul/1980.00元
200ul/2800.00元
大包装/询价

产品编号 bs-9038R
英文名称 FRMPD2 Rabbit pAb
中文名称 FRMPD2抗体
别    名 PDZD5C; PDZK4; PDZK5C; FRPD2_HUMAN; FRMPD2; PDZ domain-containing protein 4; PDZ domain-containing protein 5C;   
研究领域 肿瘤  细胞生物  免疫学  信号转导  
抗体来源 Rabbit
克隆类型 Polyclonal
克 隆 号
交叉反应 Mouse,Rat (predicted: Human,Rabbit,Pig,Sheep,Cow)
产品应用 WB=1:500-2000,IHC-P=1:100-500,IHC-F=1:100-500,IF=1:100-500
not yet tested in other applications.
optimal dilutions/concentrations should be determined by the end user.
理论分子量 144 kDa
细胞定位 细胞浆 细胞膜 
性    状 Liquid
浓    度 1mg/ml
免 疫 原 KLH conjugated synthetic peptide derived from human PDZK4: 1001-1100/1309 
亚    型 IgG
纯化方法 affinity purified by Protein A
缓 冲 液 0.01M TBS (pH7.4) with 1% BSA, 0.02% Proclin300 and 50% Glycerol.
保存条件 Shipped at 4℃. Store at -20℃ for one year. Avoid repeated freeze/thaw cycles.
注意事项 This product as supplied is intended for research use only, not for use in human, therapeutic or diagnostic applications.
PubMed PubMed
产品介绍 This gene encodes a peripheral membrane protein and is located in a region of chromosome 10q that contains a segmental duplication. This copy of the gene is full-length and is in the telomeric duplicated region. Two other more centromerically proximal copies of the gene are partial and may represent pseudogenes. This full-length gene appears to function in the establishment and maintenance of cell polarization. The protein is recruited to cell-cell junctions in an E-cadherin-dependent manner, and is selectively localized at the basolateral membrane in polarized epithelial cells. Alternative splicing results in multiple transcript variants. [provided by RefSeq, Dec 2009]

Function:
May play a role in the regulation of tight junction formation. Binds phosphatidylinositol 3,4-bisphosphate (PtdIns(3,4)P2).

Subunit:
Interacts (via the PDZ 2 domain) with CTNND2 (via the extreme C-terminus). Interacts (via the PDZ 2 domain) with PKP4 (via the extreme C-terminus); this interaction directed FRMPD2 to the basolateral membranes. Interacts (via the PDZ 2 domain) with ARVCF (via the extreme C-terminus).

Subcellular Location:
Cytoplasm (Potential). Basolateral cell membrane. Cell junction, tight junction. Note=Colocalizes with CTNNB1, CDH1 and PKP4 at the basolateral membrane. Colocalizes with TJP1 at tight junctions. Its recruitment to cell-cell contacts requires CDH1.

Tissue Specificity:
Expressed in epithelial cells.

Similarity:
Contains 1 FERM domain.
Contains 1 KIND domain.
Contains 3 PDZ (DHR) domains.

SWISS:
Q68DX3

Gene ID:
143162

Database links:

Entrez Gene: 143162 Human

SwissProt: Q68DX3 Human

Unigene: 664786 Human



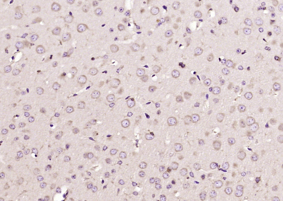
产品图片
Sample: Cerebrum (Mouse) Lysate at 40 ug Primary: Anti- FRMPD2 (bs-9038R) at 1/1000 dilution Secondary: IRDye800CW Goat Anti-Rabbit IgG at 1/20000 dilution Predicted band size: 144 kD Observed band size: 144 kD
Paraformaldehyde-fixed, paraffin embedded (mouse brain); Antigen retrieval by boiling in sodium citrate buffer (pH6.0) for 15min; Block endogenous peroxidase by 3% hydrogen peroxide for 20 minutes; Blocking buffer (normal goat serum) at 37°C for 30min; Antibody incubation with (FRMPD2) Polyclonal Antibody, Unconjugated (bs-9038R) at 1:200 overnight at 4°C, followed by operating according to SP Kit(Rabbit) (sp-0023) instructionsand DAB staining.
Paraformaldehyde-fixed, paraffin embedded (rat brain); Antigen retrieval by boiling in sodium citrate buffer (pH6.0) for 15min; Block endogenous peroxidase by 3% hydrogen peroxide for 20 minutes; Blocking buffer (normal goat serum) at 37°C for 30min; Antibody incubation with (FRMPD2) Polyclonal Antibody, Unconjugated (bs-9038R) at 1:200 overnight at 4°C, followed by operating according to SP Kit(Rabbit) (sp-0023) instructionsand DAB staining.
版权所有 2004-2026 www.bioss.com.cn 北京博奥森生物技术有限公司
通过国际质量管理体系ISO 9001:2015 GB/T 19001-2016    证书编号: 00124Q34771R2M/1100
通过国际医疗器械-质量管理体系ISO 13485:2016 GB/T 42061-2022     证书编号: CQC24QY20047R0M/1100
京ICP备05066980号-1         京公网安备110107000727号