扫码关注公众号           扫码咨询技术支持           扫码咨询技术服务
  
客服热线:400-901-9800  客服QQ:4009019800  技术答疑  技术支持  质量反馈  人才招聘  关于我们  联系我们
产品中心-北京博奥森生物技术有限公司
首页 > 产品中心 > 一抗 > 产品信息
FBH1 Rabbit pAb (bs-8492R)  
订购热线:400-901-9800
订购邮箱:sales@bioss.com.cn
订购QQ:  400-901-9800
技术支持:techsupport@bioss.com.cn
50ul/1180.00元
100ul/1980.00元
200ul/2800.00元
大包装/询价

产品编号 bs-8492R
英文名称 FBH1 Rabbit pAb
中文名称 F-box蛋白家族FBXO18抗体
别    名 FBH1_HUMAN; FBH1; hFBH1; DNA 3'-5' helicase 1; F-box only protein 18; 5.6.2.4; FBX18; FBXO18;   
研究领域 细胞生物  免疫学  表观遗传学  
抗体来源 Rabbit
克隆类型 Polyclonal
克 隆 号
交叉反应 Rat (predicted: Human,Mouse,Dog,Horse)
产品应用 IHC-P=1:100-500,IHC-F=1:100-500,IF=1:100-500
not yet tested in other applications.
optimal dilutions/concentrations should be determined by the end user.
理论分子量 118 kDa
细胞定位 细胞核 
性    状 Liquid
浓    度 1mg/ml
免 疫 原 KLH conjugated synthetic peptide derived from human FBXO18 
亚    型 IgG
纯化方法 affinity purified by Protein A
缓 冲 液 0.01M TBS (pH7.4) with 1% BSA, 0.02% Proclin300 and 50% Glycerol.
保存条件 Shipped at 4℃. Store at -20℃ for one year. Avoid repeated freeze/thaw cycles.
注意事项 This product as supplied is intended for research use only, not for use in human, therapeutic or diagnostic applications.
PubMed PubMed
产品介绍 FBXO18 belongs to the F-box protein family, whose members share the F-box, an approximately 40 amino acid motif. It has both DNA-dependent ATPase and DNA unwinding activities.
FBXO18 is a 1,043 amino acid protein encoded by the human gene FBXO18. FBXO18 belongs to the helicase family (UvrD subfamily) and contains one F-box domain. This nuclear protein is a DNA-dependent ATPase that unwinds double-stranded DNA in a 3' to 5' direction. FBXO18 also recognizes and binds to a variety of phosphorylated proteins and promotes their ubiquitination and degradation. It also interacts with Skp1 in the SCF E3 ubiquitin ligase complex consisting of Skp1, CUL-1, Rbx1 and FBXO18.

Function:
DNA-dependent ATPase. Unwinds double-stranded DNA in a 3' to 5' direction.
Probably recognizes and binds to some phosphorylated proteins and promotes their ubiquitination and degradation.

Subunit:
Part of a SCF E3 ubiquitin ligase complex consisting of SKP1, CUL1, RBX1 and FBXO18. Interacts with SKP1.

Subcellular Location:
Nuclear

Similarity:
Belongs to the helicase family. UvrD subfamily.
Contains 1 F-box domain.

SWISS:
Q8NFZ0

Gene ID:
84893

Database links:

Entrez Gene: 84893 Human

GenBank: BC113377 Human

Omim: 607222 Human

SwissProt: Q8NFZ0 Human

Unigene: 498543 Human



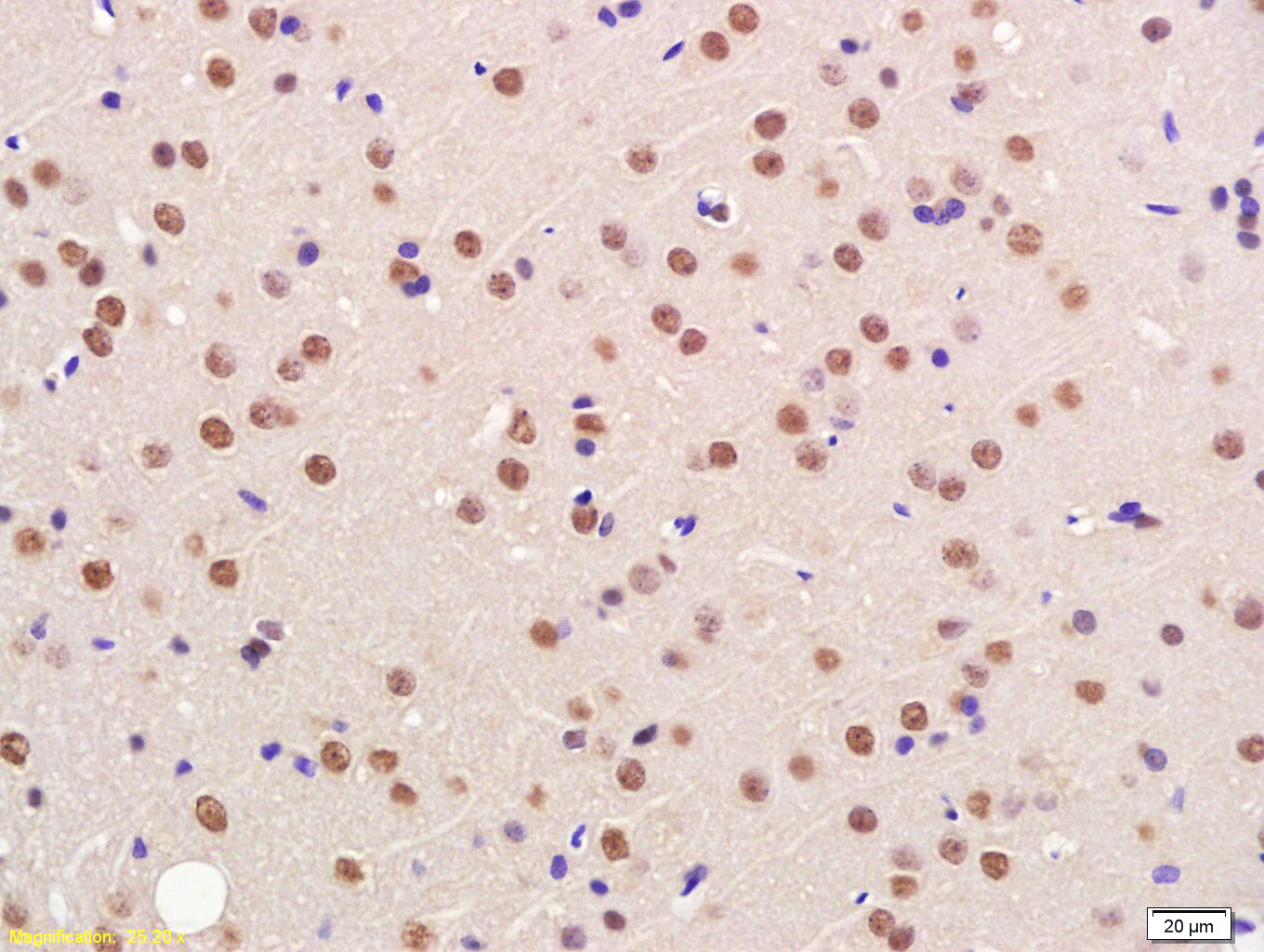
产品图片
Tissue/cell: rat brain tissue; 4% Paraformaldehyde-fixed and paraffin-embedded; Antigen retrieval: citrate buffer ( 0.01M, pH 6.0 ), Boiling bathing for 15min; Block endogenous peroxidase by 3% Hydrogen peroxide for 30min; Blocking buffer (normal goat serum,C-0005) at 37℃ for 20 min; Incubation: Anti-FBXO18 Polyclonal Antibody, Unconjugated(bs-8492R) 1:200, overnight at 4°C, followed by conjugation to the secondary antibody(SP-0023) and DAB(C-0010) staining
版权所有 2004-2026 www.bioss.com.cn 北京博奥森生物技术有限公司
通过国际质量管理体系ISO 9001:2015 GB/T 19001-2016    证书编号: 00124Q34771R2M/1100
通过国际医疗器械-质量管理体系ISO 13485:2016 GB/T 42061-2022     证书编号: CQC24QY20047R0M/1100
京ICP备05066980号-1         京公网安备110107000727号