扫码关注公众号           扫码咨询技术支持           扫码咨询技术服务
  
客服热线:400-901-9800  客服QQ:4009019800  技术答疑  技术支持  质量反馈  人才招聘  关于我们  联系我们
产品中心-北京博奥森生物技术有限公司
首页 > 产品中心 > 一抗 > 产品信息
PTRF Rabbit pAb (bs-8458R)  
订购热线:400-901-9800
订购邮箱:sales@bioss.com.cn
订购QQ:  400-901-9800
技术支持:techsupport@bioss.com.cn
50ul/1180.00元
100ul/1980.00元
200ul/2800.00元
大包装/询价

产品编号 bs-8458R
英文名称 PTRF Rabbit pAb
中文名称 RNA聚合酶1和转录释放因子抗体
别    名 CAVN1_HUMAN; CAVIN1; Cavin-1; Polymerase I and transcript release factor; PTRF; CAVIN; CGL4; FKSG13;   
研究领域 细胞生物  免疫学  表观遗传学  
抗体来源 Rabbit
克隆类型 Polyclonal
克 隆 号
交叉反应 Mouse (predicted: Human,Rat,Cow,Dog,Horse)
产品应用 IHC-P=1:100-500,IHC-F=1:100-500,IF=1:100-500
not yet tested in other applications.
optimal dilutions/concentrations should be determined by the end user.
理论分子量 43 kDa
细胞定位 细胞核 细胞浆 细胞膜 
性    状 Liquid
浓    度 1mg/ml
免 疫 原 KLH conjugated synthetic peptide derived from human PTRF/RNA polymerase I and transcript release factor: 81-180/390 
亚    型 IgG
纯化方法 affinity purified by Protein A
缓 冲 液 0.01M TBS (pH7.4) with 1% BSA, 0.02% Proclin300 and 50% Glycerol.
保存条件 Shipped at 4℃. Store at -20℃ for one year. Avoid repeated freeze/thaw cycles.
注意事项 This product as supplied is intended for research use only, not for use in human, therapeutic or diagnostic applications.
PubMed PubMed
产品介绍 Pausing of elongation complexes is mediated by the transcription termination factor TTF-I bound to the 'Sal box' terminator downstream of the rDNA transcription unit. PTRF is a Pol I and transcript release factor for dissociation of paused ternary complexes.

Function:
Plays an important role in caveolae formation and organization. Required for the sequestration of mobile caveolin into immobile caveolae. Termination of transcription by RNA polymerase I involves pausing of transcription by TTF1, and the dissociation of the transcription complex, releasing pre-rRNA and RNA polymerase I from the template. PTRF is required for dissociation of the ternary transcription complex.

Subunit:
Interacts with RNA polymerase I and TTF1. Binds the 3' end of pre-rRNA. Interacts with transcription factor ZNF148 (By similarity). Interacts with LIPE in the adipocyte cytoplasm.

Subcellular Location:
Cell membrane; caveola (surface). Cell membrane. Microsome. Cytoplasm; cytosol. Mitochondrion. Nucleus. Also found in the plasma membrane, microsomal and cytosolic fractions and at a low level in the mitochondrial and nuclear fractions.

Post-translational modifications:
Phosphorylated. Present in active and inactive forms. Changes in phosphorylation pattern may alter activity (By similarity).
Five truncated forms are found in the caveolae. These are thought to be the result of proteolysis and may be phosphorylation-dependent.

DISEASE:
Defects in PTRF are the cause of congenital generalized lipodystrophy type 4 (CGL4) [MIM:613327]. It is a disorder characterized by the association of congenital generalized lipodystrophy with muscular dystrophy and cardiac anomalies. Congenital generalized lipodystrophy is characterized by a near complete absence of adipose tissue, extreme insulin resistance, hypertriglyceridemia, hepatic steatosis and early onset of diabetes.

Similarity:
Belongs to the PTRF/SDPR family.

SWISS:
Q6NZI2

Gene ID:
284119

Database links:
UniProtKB/Swiss-Prot: Q6NZI2.1

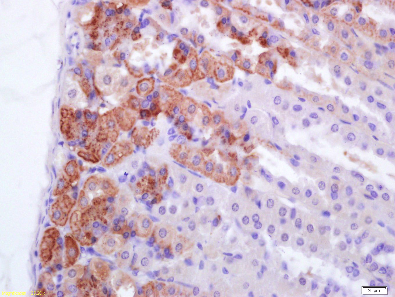
产品图片
Tissue/cell: mouse stomach tissue; 4% Paraformaldehyde-fixed and paraffin-embedded; Antigen retrieval: citrate buffer ( 0.01M, pH 6.0 ), Boiling bathing for 15min; Block endogenous peroxidase by 3% Hydrogen peroxide for 30min; Blocking buffer (normal goat serum,C-0005) at 37℃ for 20 min; Incubation: Anti-PTRF Polyclonal Antibody, Unconjugated(bs-8458R) 1:200, overnight at 4°C, followed by conjugation to the secondary antibody(SP-0023) and DAB(C-0010) staining
版权所有 2004-2026 www.bioss.com.cn 北京博奥森生物技术有限公司
通过国际质量管理体系ISO 9001:2015 GB/T 19001-2016    证书编号: 00124Q34771R2M/1100
通过国际医疗器械-质量管理体系ISO 13485:2016 GB/T 42061-2022     证书编号: CQC24QY20047R0M/1100
京ICP备05066980号-1         京公网安备110107000727号