扫码关注公众号           扫码咨询技术支持           扫码咨询技术服务
  
客服热线:400-901-9800  客服QQ:4009019800  技术答疑  技术支持  质量反馈  人才招聘  关于我们  联系我们
产品中心-北京博奥森生物技术有限公司
首页 > 产品中心 > 一抗 > 产品信息
AKAP5 Rabbit pAb (bs-6980R)  
订购热线:400-901-9800
订购邮箱:sales@bioss.com.cn
订购QQ:  400-901-9800
技术支持:techsupport@bioss.com.cn
50ul/1180.00元
100ul/1980.00元
200ul/2800.00元
大包装/询价

产品编号 bs-6980R
英文名称 AKAP5 Rabbit pAb
中文名称 A激酶锚定蛋白5抗体
别    名 AKAP75; AKAP79; H21; AKAP5_HUMAN; AKAP5; AKAP-5; A-kinase anchor protein 79 kDa (AKAP 79); cAMP-dependent protein kinase regulatory subunit II high affinity-binding protein;   
研究领域 细胞生物  免疫学  神经生物学  
抗体来源 Rabbit
克隆类型 Polyclonal
克 隆 号
交叉反应 Rat (predicted: Human,Mouse,Rabbit,Pig,Cow,Dog,Horse)
产品应用 IHC-P=1:100-500,IHC-F=1:100-500,IF=1:100-500
not yet tested in other applications.
optimal dilutions/concentrations should be determined by the end user.
理论分子量 47/79(human/rat, kDa
细胞定位 细胞膜 
性    状 Liquid
浓    度 1mg/ml
免 疫 原 KLH conjugated synthetic peptide derived from human AKAP5: 611-714/714 
亚    型 IgG
纯化方法 affinity purified by Protein A
缓 冲 液 0.01M TBS (pH7.4) with 1% BSA, 0.02% Proclin300 and 50% Glycerol.
保存条件 Shipped at 4℃. Store at -20℃ for one year. Avoid repeated freeze/thaw cycles.
注意事项 This product as supplied is intended for research use only, not for use in human, therapeutic or diagnostic applications.
PubMed PubMed
产品介绍 The type II cAMP-protein kinase (PKA) is a multifunctional kinase with a broad range of substrates (1). Specificity of PKA signaling is thought to be mediated by the compartmentalization of the kinase to specific sites within the cell. To maintain this specific localization, the R subunit (RII) of PKA interacts with specific RII-anchoring proteins. This family of proteins has been designated A-kinase anchoring proteins (AKAP) (1-3). Members of this family, including MAP2 (microtubule-associated protein 2), neuronally expressed AKAP 79 and AKAP 150, and the DNA binding AKAP 95, display differential tissue specificity and localization (4-6). Evidence suggests that AKAP 79 and AKAP 150 are both capable of anchoring PKA to postsynaptic densities (PSD), which are a network of proteins located on the internal surfaces of excitatory synapses。

Function:
May anchor the PKA protein to cytoskeletal and/or organelle-associated proteins, targeting the signal carried by cAMP to specific intracellular effectors. Association with to the beta2-adrenergic receptor (beta2-AR) not only regulates beta2-AR signaling pathway, but also the activation by PKA by switching off the beta2-AR signaling cascade.

Subunit:
Binding protein for dimer of the RII-beta regulatory subunit of cAMP-dependent protein kinase (PKA) and also for the protein kinase C (PKC) and the phosphatase calcineurin (PP2B). Each enzyme is inhibited when bound to the anchoring protein. Also binds the beta2-adrenergic receptor. Part of a complex containing AKAP5, ADCY5, ADCY6 AND PDE4C (By similarity). Interacts with ADCY8, and enhances its phosphorylation at lipid rafts.

Subcellular Location:
Membrane; Lipid-anchor.

Tissue Specificity:
Predominantly in the cerebral cortex and the postsynaptic densities of the forebrain, and to a lesser extent in adrenal medulla, lung and anterior pituitary.

Post-translational modifications:
Palmitoylation at Cys-36 and Cys-129 plays a key role in targeting to lipid rafts.

Similarity:
Contains 1 AKAP domain.

SWISS:
P24588

Gene ID:
9495

Database links:

Entrez Gene: 9495 Human

Omim: 604688 Human

SwissProt: P24588 Human

Unigene: 656683 Human



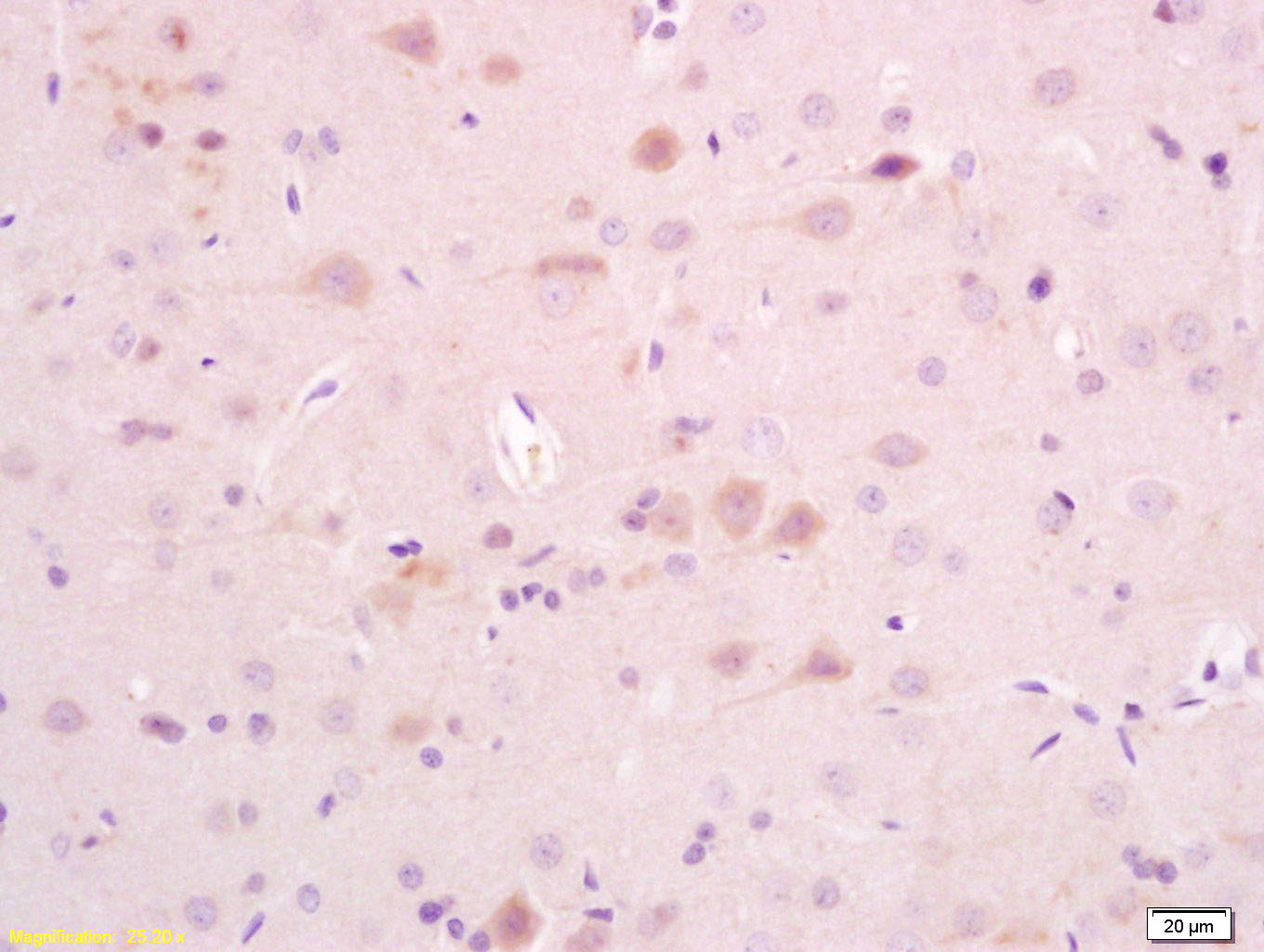
产品图片
Tissue/cell: rat brain tissue; 4% Paraformaldehyde-fixed and paraffin-embedded; Antigen retrieval: citrate buffer ( 0.01M, pH 6.0 ), Boiling bathing for 15min; Block endogenous peroxidase by 3% Hydrogen peroxide for 30min; Blocking buffer (normal goat serum,C-0005) at 37℃ for 20 min; Incubation: Anti-AKAP5 Polyclonal Antibody, Unconjugated(bs-6980R) 1:200, overnight at 4°C, followed by conjugation to the secondary antibody(SP-0023) and DAB(C-0010) staining
版权所有 2004-2026 www.bioss.com.cn 北京博奥森生物技术有限公司
通过国际质量管理体系ISO 9001:2015 GB/T 19001-2016    证书编号: 00124Q34771R2M/1100
通过国际医疗器械-质量管理体系ISO 13485:2016 GB/T 42061-2022     证书编号: CQC24QY20047R0M/1100
京ICP备05066980号-1         京公网安备110107000727号