扫码关注公众号           扫码咨询技术支持           扫码咨询技术服务
  
客服热线:400-901-9800  客服QQ:4009019800  技术答疑  技术支持  质量反馈  关于我们  联系我们
产品中心-北京博奥森生物技术有限公司
首页 > 产品中心 > 一抗 > 产品信息
BRPF3 Rabbit pAb (bs-8429R)  
订购热线:400-901-9800
订购邮箱:sales@bioss.com.cn
订购QQ:  400-901-9800
技术支持:techsupport@bioss.com.cn
50ul/1180.00元
100ul/1980.00元
200ul/2800.00元
大包装/询价

产品编号 bs-8429R
英文名称 BRPF3 Rabbit pAb
中文名称 BRPF3蛋白抗体
别    名 BRPF3; BRPF 3; BRPF-3; Bromodomain and PHD finger containing protein 3; KIAA1286; BRPF3_HUMAN.  
研究领域 细胞生物  免疫学  表观遗传学  
抗体来源 Rabbit
克隆类型 Polyclonal
克 隆 号
交叉反应 Mouse,Rat (predicted: Human,Rabbit,Pig,Sheep,Cow,Dog)
产品应用 WB=1:500-2000,IHC-P=1:100-500,IHC-F=1:100-500,IF=1:100-500
not yet tested in other applications.
optimal dilutions/concentrations should be determined by the end user.
理论分子量 136 kDa
检测分子量
细胞定位 细胞浆 
性    状 Liquid
浓    度 1mg/ml
免 疫 原 KLH conjugated synthetic peptide derived from human BRPF3: 1101-1205/1205 
亚    型 IgG
纯化方法 affinity purified by Protein A
缓 冲 液 0.01M TBS (pH7.4) with 1% BSA, 0.02% Proclin300 and 50% Glycerol.
保存条件 Shipped at 4℃. Store at -20℃ for one year. Avoid repeated freeze/thaw cycles.
注意事项 This product as supplied is intended for research use only, not for use in human, therapeutic or diagnostic applications.
PubMed PubMed
产品介绍 BRPF3 is a 1,205 amino acid protein that forms a complex with MORF, MOZ, ING5, MEAF6 and BRPF. BRPF3 contains one bromo domain, a PHD-type zinc finger and a single PWWP domain. The gene encoding BRPF3 maps to human chromosome 6, which contains 170 million base pairs and comprises nearly 6% of the human genome. Deletion of a portion of the q arm of chromosome 6 is associated with early onset intestinal cancer, suggesting the presence of a cancer susceptibility locus. Additionally, Porphyria cutanea tarda, Parkinson's disease, Stickler syndrome and a susceptibility to bipolar disorder are all associated with genes that map to chromosome 6.

Function:
Component of the MOZ/MORF complex which has a histone H3 acetyltransferase activity.

Subunit:
Component of the MOZ/MORF complex composed at least of ING5, KAT6A, KAT6B, MEAF6 and one of BRPF1, BRD1/BRPF2 and BRPF3.

Similarity:
Contains 1 bromo domain.
Contains 1 PHD-type zinc finger.
Contains 1 PWWP domain.

SWISS:
Q9ULD4

Gene ID:
27154

Database links:

Entrez Gene: 27154 Human

Entrez Gene: 268936 Mouse

Entrez Gene: 309647 Rat

GenBank: NM_015695.1 Human

SwissProt: Q9ULD4 Human

Unigene: 291877 Mouse

Unigene: 214091 Rat



产品图片
Sample: Testis (Mouse) Lysate at 40 ug Primary: Anti-BRPF3 (bs-8429R) at 1/300 dilution Secondary: IRDye800CW Goat Anti-Rabbit IgG at 1/20000 dilution Predicted band size: 136 kD Observed band size: 136 kD
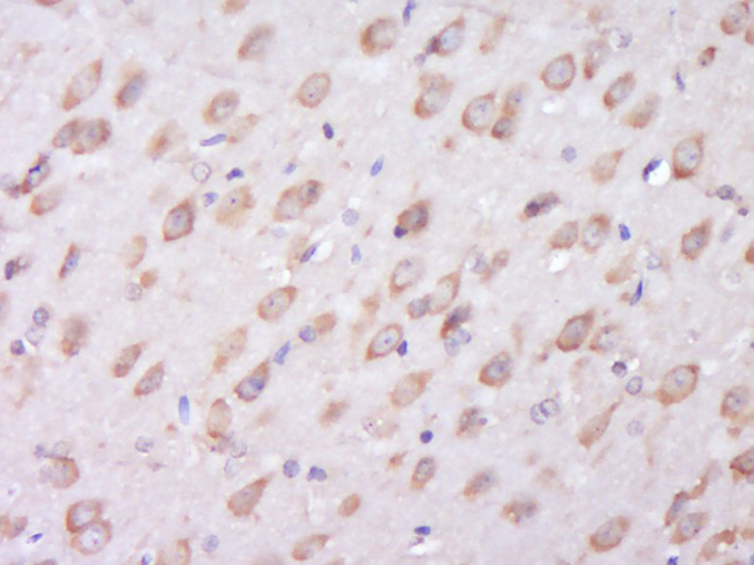
Paraformaldehyde-fixed, paraffin embedded (Rat brain); Antigen retrieval by boiling in sodium citrate buffer (pH6.0) for 15min; Block endogenous peroxidase by 3% hydrogen peroxide for 20 minutes; Blocking buffer (normal goat serum) at 37°C for 30min; Antibody incubation with (BRPF3) Polyclonal Antibody, Unconjugated (bs-8429R) at 1:400 overnight at 4°C, followed by operating according to SP Kit(Rabbit) (sp-0023) instructions and DAB staining.
版权所有 2004-2026 www.bioss.com.cn 北京博奥森生物技术有限公司
通过国际质量管理体系ISO 9001:2015 GB/T 19001-2016    证书编号: 00124Q34771R2M/1100
通过国际医疗器械-质量管理体系ISO 13485:2016 GB/T 42061-2022     证书编号: CQC24QY20047R0M/1100
京ICP备05066980号-1         京公网安备110107000727号