扫码关注公众号           扫码咨询技术支持           扫码咨询技术服务
  
客服热线:400-901-9800  客服QQ:4009019800  技术答疑  技术支持  质量反馈  关于我们  联系我们
产品中心-北京博奥森生物技术有限公司
首页 > 产品中心 > 一抗 > 产品信息
HHLA2 Rabbit pAb (bs-8419R)  
订购热线:400-901-9800
订购邮箱:sales@bioss.com.cn
订购QQ:  400-901-9800
技术支持:techsupport@bioss.com.cn
50ul/1180.00元
100ul/1980.00元
200ul/2800.00元
大包装/询价

产品编号 bs-8419R
英文名称 HHLA2 Rabbit pAb
中文名称 人内源性逆转录病毒H长末端重复相关蛋白2抗体
别    名 B7-H5; B7-H7; B7H7; B7y; HHLA2_HUMAN; HHLA2; Human endogenous retrovirus-H long terminal repeat-associating protein 2;   
研究领域 细胞生物  免疫学  转录调节因子  
抗体来源 Rabbit
克隆类型 Polyclonal
克 隆 号
交叉反应 Human
产品应用 WB=1:500-2000,IHC-P=1:100-500,IHC-F=1:100-500,IF=1:100-500
not yet tested in other applications.
optimal dilutions/concentrations should be determined by the end user.
理论分子量 45 kDa
细胞定位 细胞膜 
性    状 Liquid
浓    度 1mg/ml
免 疫 原 KLH conjugated synthetic peptide derived from human HHLA2: 231-330/414 
亚    型 IgG
纯化方法 affinity purified by Protein A
缓 冲 液 0.01M TBS (pH7.4) with 1% BSA, 0.02% Proclin300 and 50% Glycerol.
保存条件 Shipped at 4℃. Store at -20℃ for one year. Avoid repeated freeze/thaw cycles.
注意事项 This product as supplied is intended for research use only, not for use in human, therapeutic or diagnostic applications.
PubMed PubMed
产品介绍 Human endogenous retroviruses (HERVs) are repetitive elements that are derived from ancient germline retroviral infections. Due to their ability to move and insert next to certain genes and alter expression patterns, HERVs have been linked to several chronic diseases such as nervous systemic diseases, cancer, autoimmune and connective tissue diseases. The HERV-H family is the most abundant HERV family and has been implicated in the expression of a variety of adjacent genes. Proteins belonging to the HERV-H family are divided into one major and two minor groups based on sequence divergence. As a member of the HERV-H family, HHLA2 (HERV-H LTR-associating protein 2) is a 414 amino acid single-pass type I membrane protein that contains one Ig-like C1-type (immunoglobulin-like) domain and two Ig-like V-type (immunoglobulin-like) domains. HHLA2 is primarily expressed in kidney, lung and intestinal tissues.

Subcellular Location:
Membrane; Single-pass type I membrane protein (By similarity).

Tissue Specificity:
Expressed in colon, small intestine, lung and kidney.

Similarity:
Contains 1 Ig-like C1-type (immunoglobulin-like) domain.
Contains 2 Ig-like V-type (immunoglobulin-like) domains.

SWISS:
Q9UM44

Gene ID:
11148

Database links:

Entrez Gene: 11148 Human

Omim: 604371 Human

SwissProt: Q9UM44 Human

Unigene: 252351 Human



产品图片
Sample: MDA-MB-231(Human) Cell Lysate at 30 ug Primary: Anti-HHLA2 (bs-8419R) at 1/500 dilution Secondary: IRDye800CW Goat Anti-Rabbit IgG at 1/20000 dilution Predicted band size: 45 kD Observed band size: 60 kD
Sample: LOVO(Human) Cell Lysate at 30 ug A549(Human) Cell Lysate at 30 ug Primary: Anti-HHLA2 (bs-8419R) at 1/500 dilution Secondary: IRDye800CW Goat Anti-Rabbit IgG at 1/20000 dilution Predicted band size: 45 kD Observed band size: 50kD
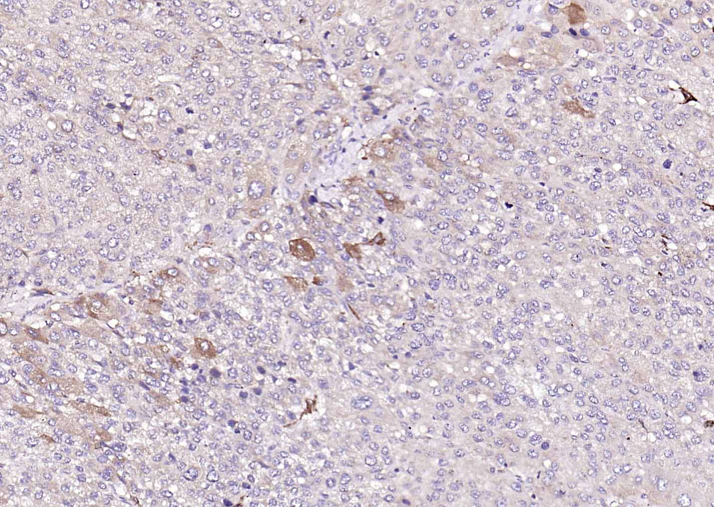
Paraformaldehyde-fixed, paraffin embedded (human liver carcinoma); Antigen retrieval by boiling in sodium citrate buffer (pH6.0) for 15min; Block endogenous peroxidase by 3% hydrogen peroxide for 20 minutes; Blocking buffer (normal goat serum) at 37°C for 30min; Antibody incubation with (HHLA2) Polyclonal Antibody, Unconjugated (bs-8419R) at 1:200 overnight at 4°C, followed by operating according to SP Kit(Rabbit) (sp-0023) instructionsand DAB staining.
版权所有 2004-2026 www.bioss.com.cn 北京博奥森生物技术有限公司
通过国际质量管理体系ISO 9001:2015 GB/T 19001-2016    证书编号: 00124Q34771R2M/1100
通过国际医疗器械-质量管理体系ISO 13485:2016 GB/T 42061-2022     证书编号: CQC24QY20047R0M/1100
京ICP备05066980号-1         京公网安备110107000727号