扫码关注公众号           扫码咨询技术支持           扫码咨询技术服务
  
客服热线:400-901-9800  客服QQ:4009019800  技术答疑  技术支持  质量反馈  关于我们  联系我们
产品中心-北京博奥森生物技术有限公司
首页 > 产品中心 > 一抗 > 产品信息
LRRC59 Rabbit pAb (bs-8361R)  
订购热线:400-901-9800
订购邮箱:sales@bioss.com.cn
订购QQ:  400-901-9800
技术支持:techsupport@bioss.com.cn
50ul/1180.00元
100ul/1980.00元
200ul/2800.00元
大包装/询价

产品编号 bs-8361R
英文名称 LRRC59 Rabbit pAb
中文名称 LRRC59蛋白抗体
别    名 PRO1855; p34; LRC59_HUMAN; LRRC59; Ribosome-binding protein p34 (p34); LRC59_MOUSE;   
研究领域 细胞生物  免疫学  信号转导  转录调节因子  
抗体来源 Rabbit
克隆类型 Polyclonal
克 隆 号
交叉反应 Mouse,Rat (predicted: Human,Dog,Horse)
产品应用 IHC-P=1:100-500,IHC-F=1:100-500,IF=1:100-500
not yet tested in other applications.
optimal dilutions/concentrations should be determined by the end user.
理论分子量 35 kDa
细胞定位 细胞核 细胞浆 细胞膜 
性    状 Liquid
浓    度 1mg/ml
免 疫 原 KLH conjugated synthetic peptide derived from human LRRC59: 21-120/307 
亚    型 IgG
纯化方法 affinity purified by Protein A
缓 冲 液 0.01M TBS (pH7.4) with 1% BSA, 0.02% Proclin300 and 50% Glycerol.
保存条件 Shipped at 4℃. Store at -20℃ for one year. Avoid repeated freeze/thaw cycles.
注意事项 This product as supplied is intended for research use only, not for use in human, therapeutic or diagnostic applications.
PubMed PubMed
产品介绍 LRRC59 (leucine rich repeat containing 59), also known as PRO1855, is a 307 amino acid protein that contains leucine-rich repeats and may play a role in protein binding events throughout the cell. The gene encoding LRRC59 maps to human chromosome 17, which comprises over 2.5% of the human genome and encodes over 1,200 genes. Two key tumor suppressor genes are associated with chromosome 17, namely, p53 and BRCA1. Tumor suppressor p53 is necessary for maintenance of cellular genetic integrity by moderating cell fate through DNA repair versus cell death. Malfunction or loss of p53 expression is associated with malignant cell growth and Li-Fraumeni syndrome. Like p53, BRCA1 is directly involved in DNA repair, though specifically it is recognized as a genetic determinant of early onset breast cancer and predisposition to cancers of the ovary, colon, prostate gland and fallopian tubes.

Function:
Required for nuclear import of FGF1, but not that of FGF2. Might regulate nuclear import of exogenous FGF1 by facilitating interaction with the nuclear import machinery and by transporting cytosolic FGF1 to, and possibly through, the nuclear pores.

Subunit:
Can form homodimers. Interacts with SGOL1. Interacts with FGF1.

Subcellular Location:
Microsome membrane; Single-pass type II membrane protein (By similarity). Endoplasmic reticulum membrane; Single-pass type II membrane protein. Nucleus envelope. Note=Localization in the nuclear envelope depends upon the nuclear import machinery, including KPNB1.

Tissue Specificity:
Widely expressed.

Similarity:
Contains 5 LRR (leucine-rich) repeats.

SWISS:
Q96AG4

Gene ID:
55379

Database links:

Entrez Gene: 55379 Human

Entrez Gene: 98238 Mouse

Omim: 614854 Human

SwissProt: Q96AG4 Human

SwissProt: Q922Q8 Mouse

Unigene: 370927 Human

Unigene: 172720 Mouse



产品图片
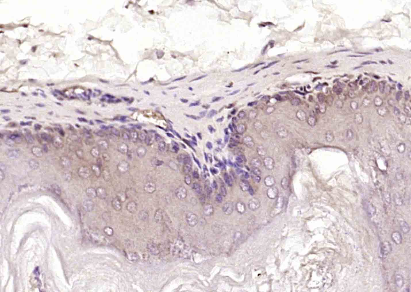
Paraformaldehyde-fixed, paraffin embedded (mouse stomach); Antigen retrieval by boiling in sodium citrate buffer (pH6.0) for 15min; Block endogenous peroxidase by 3% hydrogen peroxide for 20 minutes; Blocking buffer (normal goat serum) at 37°C for 30min; Antibody incubation with (LRRC59) Polyclonal Antibody, Unconjugated (bs-8361R) at 1:200 overnight at 4°C, followed by operating according to SP Kit(Rabbit) (sp-0023) instructionsand DAB staining.
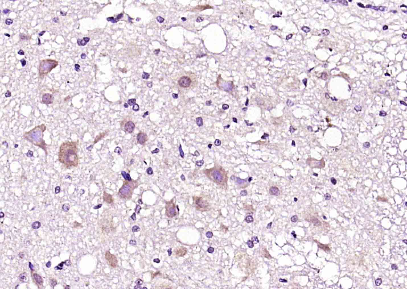
Paraformaldehyde-fixed, paraffin embedded (rat brain); Antigen retrieval by boiling in sodium citrate buffer (pH6.0) for 15min; Block endogenous peroxidase by 3% hydrogen peroxide for 20 minutes; Blocking buffer (normal goat serum) at 37°C for 30min; Antibody incubation with (LRRC59) Polyclonal Antibody, Unconjugated (bs-8361R) at 1:200 overnight at 4°C, followed by operating according to SP Kit(Rabbit) (sp-0023) instructionsand DAB staining.
版权所有 2004-2026 www.bioss.com.cn 北京博奥森生物技术有限公司
通过国际质量管理体系ISO 9001:2015 GB/T 19001-2016    证书编号: 00124Q34771R2M/1100
通过国际医疗器械-质量管理体系ISO 13485:2016 GB/T 42061-2022     证书编号: CQC24QY20047R0M/1100
京ICP备05066980号-1         京公网安备110107000727号