扫码关注公众号           扫码咨询技术支持           扫码咨询技术服务
  
客服热线:400-901-9800  客服QQ:4009019800  技术答疑  技术支持  质量反馈  关于我们  联系我们
产品中心-北京博奥森生物技术有限公司
首页 > 产品中心 > 一抗 > 产品信息
PANK4 Rabbit pAb (bs-8340R)  
订购热线:400-901-9800
订购邮箱:sales@bioss.com.cn
订购QQ:  400-901-9800
技术支持:techsupport@bioss.com.cn
50ul/1180.00元
100ul/1980.00元
200ul/2800.00元
大包装/询价

产品编号 bs-8340R
英文名称 PANK4 Rabbit pAb
中文名称 泛酸激酶4抗体
别    名 CTRCT49; D030031I12Rik; Gm42363; Fang1; PANK4_HUMAN; PANK4; Inactive pantothenic acid kinase 4 (hPanK4); 3.1.3.-; PANK4_MOUSE; Inactive pantothenic acid kinase 4 (mPanK4); PANK4_RAT; Inactive pantothenic acid kinase 4 (rPanK4);   
研究领域 肿瘤  细胞生物  免疫学  信号转导  
抗体来源 Rabbit
克隆类型 Polyclonal
克 隆 号
交叉反应 Rat (predicted: Human,Mouse)
产品应用 IHC-P=1:100-500,IHC-F=1:100-500,IF=1:100-500
not yet tested in other applications.
optimal dilutions/concentrations should be determined by the end user.
理论分子量 86 kDa
细胞定位 细胞浆 
性    状 Liquid
浓    度 1mg/ml
免 疫 原 KLH conjugated synthetic peptide derived from human PANK4: 101-200/773 
亚    型 IgG
纯化方法 affinity purified by Protein A
缓 冲 液 0.01M TBS (pH7.4) with 1% BSA, 0.02% Proclin300 and 50% Glycerol.
保存条件 Shipped at 4℃. Store at -20℃ for one year. Avoid repeated freeze/thaw cycles.
注意事项 This product as supplied is intended for research use only, not for use in human, therapeutic or diagnostic applications.
PubMed PubMed
产品介绍 PANK4 belongs to the pantothenate kinase family. Pantothenate kinase is a key regulatory enzyme in the physiological regulation of the intracellular coenzyme A (CoA) concentration. It catalyzes the first committed step in the universal biosynthetic pathway leading to CoA and is itself subject to regulation through feedback inhibition by CoA. This family member is most abundant in muscle but is expressed in all tissues.

Function:
Plays a role in the physiological regulation of the intracellular CoA concentration (By similarity).

Subunit:
Homodimer. Interacts with PKM (By similarity).

Subcellular Location:
Cytoplasm (Probable).

Tissue Specificity:
Ubiquitously expressed with higher expression in the muscle.

Similarity:
Belongs to the type II pantothenate kinase family.

SWISS:
Q9NVE7

Gene ID:
55229

Database links:

Entrez Gene: 55229 Human

Entrez Gene: 269614 Mouse

Entrez Gene: 171053 Rat

Omim: 606162 Human

SwissProt: Q9NVE7 Human

SwissProt: Q80YV4 Mouse

SwissProt: Q923S8 Rat

Unigene: 26156 Human

Unigene: 30042 Mouse

Unigene: 17321 Rat



产品图片
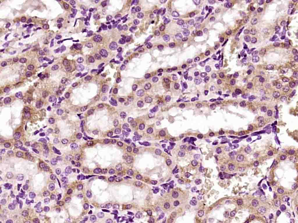
Paraformaldehyde-fixed, paraffin embedded (rat kidney); Antigen retrieval by boiling in sodium citrate buffer (pH6.0) for 15min; Block endogenous peroxidase by 3% hydrogen peroxide for 20 minutes; Blocking buffer (normal goat serum) at 37°C for 30min; Antibody incubation with (PANK4) Polyclonal Antibody, Unconjugated (bs-8340R) at 1:200 overnight at 4°C, followed by operating according to SP Kit(Rabbit) (sp-0023) instructionsand DAB staining.
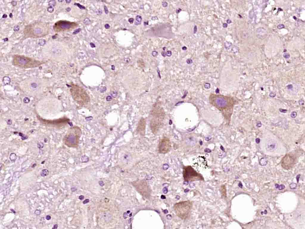
Paraformaldehyde-fixed, paraffin embedded (rat brain); Antigen retrieval by boiling in sodium citrate buffer (pH6.0) for 15min; Block endogenous peroxidase by 3% hydrogen peroxide for 20 minutes; Blocking buffer (normal goat serum) at 37°C for 30min; Antibody incubation with (PANK4) Polyclonal Antibody, Unconjugated (bs-8340R) at 1:200 overnight at 4°C, followed by operating according to SP Kit(Rabbit) (sp-0023) instructionsand DAB staining.
版权所有 2004-2026 www.bioss.com.cn 北京博奥森生物技术有限公司
通过国际质量管理体系ISO 9001:2015 GB/T 19001-2016    证书编号: 00124Q34771R2M/1100
通过国际医疗器械-质量管理体系ISO 13485:2016 GB/T 42061-2022     证书编号: CQC24QY20047R0M/1100
京ICP备05066980号-1         京公网安备110107000727号