扫码关注公众号           扫码咨询技术支持           扫码咨询技术服务
  
客服热线:400-901-9800  客服QQ:4009019800  技术答疑  技术支持  质量反馈  关于我们  联系我们
产品中心-北京博奥森生物技术有限公司
首页 > 产品中心 > 一抗 > 产品信息
TXNRD1 Rabbit pAb (bs-8299R)  
订购热线:400-901-9800
订购邮箱:sales@bioss.com.cn
订购QQ:  400-901-9800
技术支持:techsupport@bioss.com.cn
50ul/1180.00元
100ul/1980.00元
200ul/2800.00元
大包装/询价

产品编号 bs-8299R
英文名称 TXNRD1 Rabbit pAb
中文名称 硫氧环蛋白还原酶1抗体
别    名 cytoplasmic; Gene associated with retinoic and IFN-induced mortality 12 protein; Gene associated with retinoic and interferon-induced mortality 12 protein; Gene associated with retinoid IFN induced mortality 12 protein; GRIM 12; GRIM-12; GRIM12; KDRF; KM 102 derived reductase like factor; KM-102-derived reductase-like factor; MGC9145; Oxidoreductase; Thioredoxin reductase 1; Thioredoxin reductase 1 cytoplasmic; Thioredoxin reductase GRIM 12 antibodyThioredoxin reductase TR1; TR 1; TR; TR1; TRXR 1; TRXR1; TRXR1_HUMAN; TXNR; TXNRD 1; Txnrd1.  
Specific References  (4)     |     bs-8299R has been referenced in 4 publications.
[IF=5.157] Huafeng Wang. et al. Redox regulation by TXNRD3 during epididymal maturation underlies capacitation-associated mitochondrial activity and sperm motility in mice. J BIOL CHEM. 2022 May;:102077  WB ;  Mouse.  
[IF=5.011] Luya Pu. et al. TXNRD1 knockdown inhibits the proliferation of endothelial cells subjected to oscillatory shear stress via activation of the endothelial nitric oxide synthase/apoptosis pathway. BBA-MOL CELL RES. 2023 Apr;1870:119436  WB ;  Human.  
[IF=2.21] Nedret Kilic. et al. Thioredoxin system and miR-21, miR-23a/b and let-7a as potential biomarkers for brain tumor progression: Preliminary Case Data. WORLD NEUROSURG. 2022 Sep;:  WB ;  Human.  
[IF=0] Kaya, Bulent, et al. "Intratumoral hemorrhage-related differences in the expression of vascular endothelial growth factor, basic fibroblast growth factor and thioredoxin reductase 1 in human glioblastoma." Molecular and Clinical Oncology 5.4 (2016): 343-346.  IHC-P ;  Human.  
研究领域 细胞生物  免疫学  信号转导  
抗体来源 Rabbit
克隆类型 Polyclonal
克 隆 号
交叉反应 Human,Mouse,Rat
产品应用 WB=1:1000-5000,IHC-P=1:100-500,IHC-F=1:100-500,IF=1:100-500,IP=1:20-50
not yet tested in other applications.
optimal dilutions/concentrations should be determined by the end user.
理论分子量 71 kDa
检测分子量
细胞定位 细胞核 细胞浆 
性    状 Liquid
浓    度 1mg/ml
免 疫 原 KLH conjugated synthetic peptide derived from human TXNRD1: 451-550/649 
亚    型 IgG
纯化方法 affinity purified by Protein A
缓 冲 液 0.01M TBS (pH7.4) with 1% BSA, 0.02% Proclin300 and 50% Glycerol.
保存条件 Shipped at 4℃. Store at -20℃ for one year. Avoid repeated freeze/thaw cycles.
注意事项 This product as supplied is intended for research use only, not for use in human, therapeutic or diagnostic applications.
PubMed PubMed
产品介绍 Isoform 1 may possess glutaredoxin activity as well as thioredoxin reductase activity and induces actin and tubulin polymerization, leading to formation of cell membrane protrusions. Isoform 4 enhances the transcriptional activity of estrogen receptors alpha and beta while isoform 5 enhances the transcriptional activity of the beta receptor only. Isoform 5 also mediates cell death induced by a combination of interferon-beta and retinoic acid.

Subunit:
Homodimer. Isoform 4 interacts with ESR1 and ESR2. Interacts with HERC5.

Subcellular Location:
Cytoplasm. Isoform 4: Cytoplasm. Nucleus. Isoform 5: Cytoplasm.

Tissue Specificity:
Isoform 1 is expressed predominantly in Leydig cells (at protein level). Also expressed in ovary, spleen, heart, liver, kidney and pancreas and in a number of cancer cell lines. Isoform 4 is widely expressed with highest levels in kidney, testis, uterus, ovary, prostate, placenta and fetal liver.

Post-translational modifications:
The N-terminus of isoform 5 is blocked.
ISGylated (Probable).

Similarity:
Belongs to the class-I pyridine nucleotide-disulfide oxidoreductase family.
Contains 1 glutaredoxin domain.

SWISS:
Q16881

Gene ID:
7296

Database links:

Entrez Gene: 7296 Human

Entrez Gene: 50493 Mouse

Entrez Gene: 58819 Rat

Omim: 601112 Human

SwissProt: O62768 Cow

SwissProt: Q16881 Human

SwissProt: Q9JMH6 Mouse

SwissProt: O89049 Rat

Unigene: 210155 Mouse

Unigene: 471159 Mouse

Unigene: 67581 Rat



产品图片
25 ug total protein per lane of various lysates (see on figure) probed with TXNRD1 polyclonal antibody, unconjugated (bs-8299R) at 1:1000 dilution and 4°C overnight incubation. Followed by conjugated secondary antibody incubation at r.t. for 60 min.
25 ug total protein per lane of various lysates (see on figure) probed with TXNRD1 polyclonal antibody, unconjugated (bs-8299R) at 1:1000 dilution and 4°C overnight incubation. Followed by conjugated secondary antibody incubation at r.t. for 60 min.
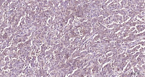
Paraformaldehyde-fixed, paraffin embedded Human Prostate Tumor; Antigen retrieval by boiling in sodium citrate buffer (pH6.0) for 15 min; Antibody incubation with TXNRD1  Polyclonal Antibody, Unconjugated (bs-8299R) at 1:200 overnight at 4°C, followed by conjugation to the bs-0295G-HRP and DAB (C-0010) staining.
Paraformaldehyde-fixed, paraffin embedded Human Ovarian Cancer; Antigen retrieval by boiling in sodium citrate buffer (pH6.0) for 15 min; Antibody incubation with TXNRD1  Polyclonal Antibody, Unconjugated (bs-8299R) at 1:200 overnight at 4°C, followed by conjugation to the bs-0295G-HRP and DAB (C-0010) staining.
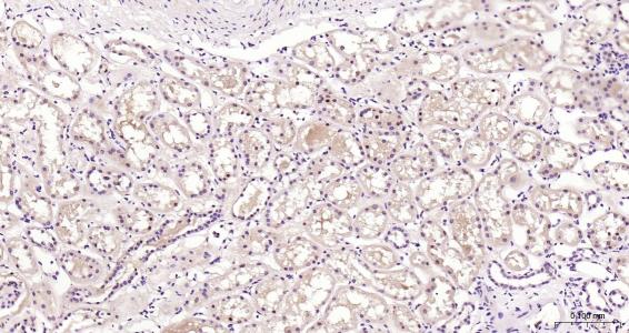
Paraformaldehyde-fixed, paraffin embedded Human Kidney ; Antigen retrieval by boiling in sodium citrate buffer (pH6.0) for 15 min; Antibody incubation with TXNRD1  Polyclonal Antibody, Unconjugated (bs-8299R) at 1:200 overnight at 4°C, followed by conjugation to the bs-0295G-HRP and DAB (C-0010) staining.
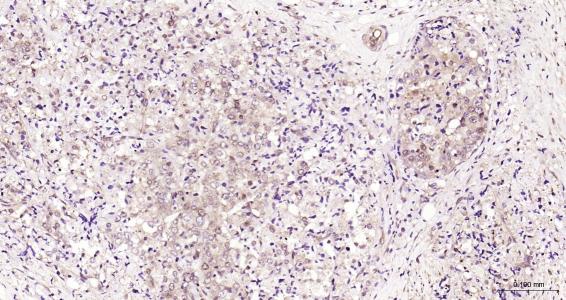
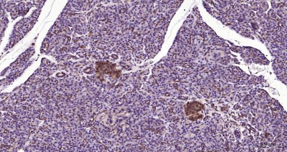
Paraformaldehyde-fixed, paraffin embedded Human Pancreas; Antigen retrieval by boiling in sodium citrate buffer (pH6.0) for 15 min; Antibody incubation with TXNRD1  Polyclonal Antibody, Unconjugated (bs-8299R) at 1:200 overnight at 4°C, followed by conjugation to the bs-0295G-HRP and DAB (C-0010) staining.
Paraformaldehyde-fixed, paraffin embedded Mouse Pancreas; Antigen retrieval by boiling in sodium citrate buffer (pH6.0) for 15 min; Antibody incubation with TXNRD1  Polyclonal Antibody, Unconjugated (bs-8299R) at 1:200 overnight at 4°C, followed by conjugation to the bs-0295G-HRP and DAB (C-0010) staining.
Paraformaldehyde-fixed, paraffin embedded Rat Pancreas; Antigen retrieval by boiling in sodium citrate buffer (pH6.0) for 15 min; Antibody incubation with TXNRD1  Polyclonal Antibody, Unconjugated (bs-8299R) at 1:200 overnight at 4°C, followed by conjugation to the bs-0295G-HRP and DAB (C-0010) staining.
Paraformaldehyde-fixed, paraffin embedded Human Testicles; Antigen retrieval by boiling in sodium citrate buffer (pH6.0) for 15 min; Antibody incubation with TXNRD1  Polyclonal Antibody, Unconjugated (bs-8299R) at 1:200 overnight at 4°C, followed by conjugation to the bs-0295G-HRP and DAB (C-0010) staining.
Paraformaldehyde-fixed, paraffin embedded Mouse Testicles; Antigen retrieval by boiling in sodium citrate buffer (pH6.0) for 15 min; Antibody incubation with TXNRD1  Polyclonal Antibody, Unconjugated (bs-8299R) at 1:200 overnight at 4°C, followed by conjugation to the bs-0295G-HRP and DAB (C-0010) staining.
Paraformaldehyde-fixed, paraffin embedded Rat Testicles; Antigen retrieval by boiling in sodium citrate buffer (pH6.0) for 15 min; Antibody incubation with TXNRD1  Polyclonal Antibody, Unconjugated (bs-8299R) at 1:200 overnight at 4°C, followed by conjugation to the bs-0295G-HRP and DAB (C-0010) staining.
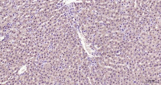
Paraformaldehyde-fixed, paraffin embedded Rat Liver; Antigen retrieval by boiling in sodium citrate buffer (pH6.0) for 15 min; Antibody incubation with TXNRD1  Polyclonal Antibody, Unconjugated (bs-8299R) at 1:200 overnight at 4°C, followed by conjugation to the bs-0295G-HRP and DAB (C-0010) staining.
版权所有 2004-2026 www.bioss.com.cn 北京博奥森生物技术有限公司
通过国际质量管理体系ISO 9001:2015 GB/T 19001-2016    证书编号: 00124Q34771R2M/1100
通过国际医疗器械-质量管理体系ISO 13485:2016 GB/T 42061-2022    证书编号: CQC24QY10047R0M/1100
京ICP备05066980号-1         京公网安备110107000727号