扫码关注公众号           扫码咨询技术支持           扫码咨询技术服务
  
客服热线:400-901-9800  客服QQ:4009019800  技术答疑  技术支持  质量反馈  关于我们  联系我们
产品中心-北京博奥森生物技术有限公司
首页 > 产品中心 > 一抗 > 产品信息
FRMD4B Rabbit pAb (bs-8236R)  
订购热线:400-901-9800
订购邮箱:sales@bioss.com.cn
订购QQ:  400-901-9800
技术支持:techsupport@bioss.com.cn
50ul/1180.00元
100ul/1980.00元
200ul/2800.00元
大包装/询价

产品编号 bs-8236R
英文名称 FRMD4B Rabbit pAb
中文名称 FRMD4B蛋白抗体
别    名 6030440G05Rik; GRSP1; FRM4B_HUMAN; FRMD4B; GRP1-binding protein GRSP1; KIAA1013;   
研究领域 细胞生物  免疫学  
抗体来源 Rabbit
克隆类型 Polyclonal
克 隆 号
交叉反应 Human,Rat (predicted: Mouse,Rabbit,Sheep,Cow,Dog,Horse)
产品应用 WB=1:500-2000,IHC-P=1:100-500,IHC-F=1:100-500,IF=1:100-500
not yet tested in other applications.
optimal dilutions/concentrations should be determined by the end user.
理论分子量 118 kDa
细胞定位 细胞浆 
性    状 Liquid
浓    度 1mg/ml
免 疫 原 KLH conjugated synthetic peptide derived from human FRMD4B: 501-600/1034 
亚    型 IgG
纯化方法 affinity purified by Protein A
缓 冲 液 0.01M TBS (pH7.4) with 1% BSA, 0.02% Proclin300 and 50% Glycerol.
保存条件 Shipped at 4℃. Store at -20℃ for one year. Avoid repeated freeze/thaw cycles.
注意事项 This product as supplied is intended for research use only, not for use in human, therapeutic or diagnostic applications.
PubMed PubMed
产品介绍 This gene encodes a GRP1-binding protein which contains a FERM protein interaction domain as well as two coiled coil domains. This protein may play a role as a scaffolding protein. [provided by RefSeq, Mar 2014]

Function:
Member of GRP1 signaling complexes that are acutely recruited to plasma membrane ruffles in response to insulin receptor signaling. May function as a scaffolding protein (By similarity).

Subunit:
Interacts with GRP1 (By similarity).

Subcellular Location:
Cytoplasm, cytoskeleton (By similarity).

Similarity:
Contains 1 FERM domain.

SWISS:
Q9Y2L6

Gene ID:
23150

Database links:

Entrez Gene: 23150 Human

SwissProt: Q9Y2L6 Human

Unigene: 709671 Human



产品图片
Sample: U87MG(Human) Cell Lysate at 30 ug U251(Human) Cell Lysate at 30 ug K562(Human) Cell Lysate at 30 ug Primary: Anti- FRMD4B (bs-8236R) at 1/1000 dilution Secondary: IRDye800CW Goat Anti-Rabbit IgG at 1/20000 dilution Predicted band size: 118 kD Observed band size: 118 kD
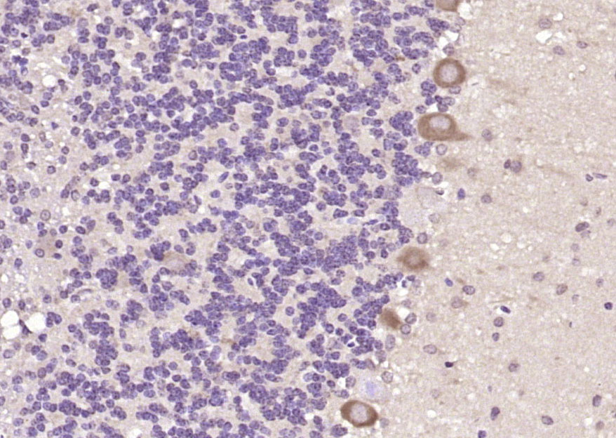
Paraformaldehyde-fixed, paraffin embedded (rat cerebellum); Antigen retrieval by boiling in sodium citrate buffer (pH6.0) for 15min; Block endogenous peroxidase by 3% hydrogen peroxide for 20 minutes; Blocking buffer (normal goat serum) at 37°C for 30min; Antibody incubation with (FRMD4B) Polyclonal Antibody, Unconjugated (bs-8236R) at 1:200 overnight at 4°C, followed by operating according to SP Kit(Rabbit) (sp-0023) instructionsand DAB staining.
版权所有 2004-2026 www.bioss.com.cn 北京博奥森生物技术有限公司
通过国际质量管理体系ISO 9001:2015 GB/T 19001-2016    证书编号: 00124Q34771R2M/1100
通过国际医疗器械-质量管理体系ISO 13485:2016 GB/T 42061-2022     证书编号: CQC24QY20047R0M/1100
京ICP备05066980号-1         京公网安备110107000727号