扫码关注公众号           扫码咨询技术支持           扫码咨询技术服务
  
客服热线:400-901-9800  客服QQ:4009019800  技术答疑  技术支持  质量反馈  关于我们  联系我们
产品中心-北京博奥森生物技术有限公司
首页 > 产品中心 > 一抗 > 产品信息
TCAB1 Rabbit pAb (bs-8163R)  
订购热线:400-901-9800
订购邮箱:sales@bioss.com.cn
订购QQ:  400-901-9800
技术支持:techsupport@bioss.com.cn
50ul/1180.00元
100ul/1980.00元
200ul/2800.00元
大包装/询价

产品编号 bs-8163R
英文名称 TCAB1 Rabbit pAb
中文名称 端粒酶卡哈尔体蛋白抗体
别    名 DKCB3; TCAB1; WDR79; TCAB1_HUMAN; WRAP53; WD repeat-containing protein 79; WD40 repeat-containing protein antisense to TP53 gene (WRAP53beta);   
研究领域 肿瘤  细胞生物  免疫学  
抗体来源 Rabbit
克隆类型 Polyclonal
克 隆 号
交叉反应 Human,Mouse,Rat (predicted: Rabbit,Horse)
产品应用 WB=1:500-2000,IHC-P=1:100-500,IHC-F=1:100-500,IF=1:100-500
not yet tested in other applications.
optimal dilutions/concentrations should be determined by the end user.
理论分子量 60 kDa
细胞定位 细胞核 细胞浆 
性    状 Liquid
浓    度 1mg/ml
免 疫 原 KLH conjugated synthetic peptide derived from human WDR79/TCAB1: 285-390/548 
亚    型 IgG
纯化方法 affinity purified by Protein A
缓 冲 液 0.01M TBS (pH7.4) with 1% BSA, 0.02% Proclin300 and 50% Glycerol.
保存条件 Shipped at 4℃. Store at -20℃ for one year. Avoid repeated freeze/thaw cycles.
注意事项 This product as supplied is intended for research use only, not for use in human, therapeutic or diagnostic applications.
PubMed PubMed
产品介绍 WDR79 contains six WD (tryptophan-aspartate) repeat domains found in a number of proteins that function as adaptor molecules in signal transduction and cytoskeletal organization. The WD repeat is defined by four or more repeating units of a conserved core of approximately 40 amino acids ending with tryptophan-aspartic acid (WD). WD repeats may serve as sites of protein-protein interaction for adaptor proteins and facilitate multiprotein complex formation. The function of the WDR79 protein has not been characterized, however significant and consistent single nucleotide polymorphisms in the WDR79 gene have been found to be associated with ER negative breast cancer.

Function:
Essential component of the telomerase holoenzyme complex, a ribonucleoprotein complex essential for the replication of chromosome termini that elongates telomeres in most eukaryotes. In the telomerase holoenzyme complex, it controls telomerase localization to Cajal body. Required for delivery of TERC to telomeres during S phase and for telomerase activity. Binds small Cajal body RNAs (scaRNAs). The mRNA encoding this protein plays a critical role in the regulation of p53 expression at the post-transcriptional level; it is involved both in maintaining basal p53 mRNA levels and in p53 induction upon DNA damage.

Subunit:
Component of the telomerase holoenzyme complex at least composed of TERT, DKC1, WRAP53/TCAB1, NOP10, NHP2, GAR1, TEP1, EST1A, POT1 and a telomerase RNA template component (TERC).

Subcellular Location:
Nucleus, Cajal body. Cytoplasm.

Tissue Specificity:
Expressed in all tissues and cell lines examined.

Post-translational modifications:
Phosphorylated upon DNA damage, probably by ATM or ATR.

DISEASE:
Defects in WRAP53 are the cause of dyskeratosis congenital autosomal recessive type 3 (DKCB3) [MIM:613988]. A rare multisystem disorder caused by defective telomere maintenance. It is characterized by progressive bone marrow failure, and the clinical triad of reticulated skin hyperpigmentation, nail dystrophy, and mucosal leukoplakia. Common but variable features include premature graying, aplastic anemia, low platelets, osteoporosis, pulmonary fibrosis, and liver fibrosis among others. Early mortality is often associated with bone marrow failure, infections, fatal pulmonary complications, or malignancy.

Similarity:
Contains 6 WD repeats

SWISS:
Q9BUR4

Gene ID:
55135

Database links:

Entrez Gene: 55135 Human

Omim: 612661 Human

SwissProt: Q9BUR4 Human

Unigene: 437460 Human



TCAB1是端粒酶的一个真正组成部分。但它对酶的活性来说并不是必需的,它只是给称为卡哈尔体(Cajalbodies)的细胞核中的处理和保持区域补充端粒酶复合物。卡哈尔体将对各种使用RNA小分子来引领其活性的蛋白进行修饰,譬如,端粒酶使用RNA分子作为嵌在染色体末端的DNA链的模板。在适当的时候,TCAB1将端粒酶复合物运送到新复制染色体的等待端。 研究人员认为,TCAB1蛋白可能是一种负责将各种分子运往其目的地的普通生物运输器。
产品图片
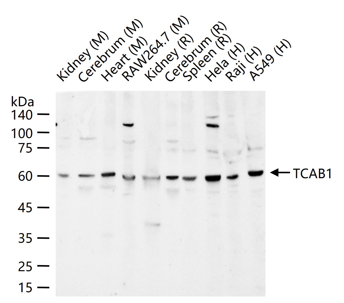
25 ug total protein per lane of various lysates (see on figure) probed with TCAB1 polyclonal antibody, unconjugated (bs-8163R) at 1:1000 dilution and 4°C overnight incubation. Followed by conjugated secondary antibody incubation at r.t. for 60 min.
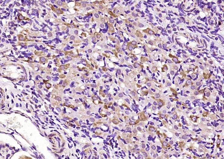
Paraformaldehyde-fixed, paraffin embedded (rat ovary tissue); Antigen retrieval by boiling in sodium citrate buffer (pH6.0) for 15min; Block endogenous peroxidase by 3% hydrogen peroxide for 20 minutes; Blocking buffer (normal goat serum) at 37°C for 30min; Antibody incubation with (TCAB1) Polyclonal Antibody, Unconjugated (bs-8163R) at 1:200 overnight at 4°C, followed by operating according to SP Kit(Rabbit) (sp-0023) instructionsand DAB staining.
版权所有 2004-2026 www.bioss.com.cn 北京博奥森生物技术有限公司
通过国际质量管理体系ISO 9001:2015 GB/T 19001-2016    证书编号: 00124Q34771R2M/1100
通过国际医疗器械-质量管理体系ISO 13485:2016 GB/T 42061-2022     证书编号: CQC24QY20047R0M/1100
京ICP备05066980号-1         京公网安备110107000727号