扫码关注公众号           扫码咨询技术支持           扫码咨询技术服务
  
客服热线:400-901-9800  客服QQ:4009019800  技术答疑  技术支持  质量反馈  关于我们  联系我们
产品中心-北京博奥森生物技术有限公司
首页 > 产品中心 > 一抗 > 产品信息
CCDC46 Rabbit pAb (bs-8133R)  
订购热线:400-901-9800
订购邮箱:sales@bioss.com.cn
订购QQ:  400-901-9800
技术支持:techsupport@bioss.com.cn
50ul/1180.00元
100ul/1980.00元
200ul/2800.00元
大包装/询价

产品编号 bs-8133R
英文名称 CCDC46 Rabbit pAb
中文名称 卷曲螺旋结构域蛋白46抗体
别    名 CCDC46; MACOCO; SPGF44; 1700001M19Rik; 1700029K01Rik; 8430407H02Rik; RGD1564168; CE112_HUMAN; CEP112; Coiled-coil domain-containing protein 46; CE112_MOUSE;   
研究领域 细胞生物  免疫学  
抗体来源 Rabbit
克隆类型 Polyclonal
克 隆 号
交叉反应 Human,Mouse (predicted: Rat,Rabbit,Pig,Sheep,Cow,Dog,Horse)
产品应用 WB=1:500-2000,IHC-P=1:100-500,IHC-F=1:100-500,IF=1:100-500
not yet tested in other applications.
optimal dilutions/concentrations should be determined by the end user.
理论分子量 28 kDa
细胞定位 细胞浆 
性    状 Liquid
浓    度 1mg/ml
免 疫 原 KLH conjugated synthetic peptide derived from human CCDC46: 751-850/955 
亚    型 IgG
纯化方法 affinity purified by Protein A
缓 冲 液 0.01M TBS (pH7.4) with 1% BSA, 0.02% Proclin300 and 50% Glycerol.
保存条件 Shipped at 4℃. Store at -20℃ for one year. Avoid repeated freeze/thaw cycles.
注意事项 This product as supplied is intended for research use only, not for use in human, therapeutic or diagnostic applications.
PubMed PubMed
产品介绍 This gene encodes a protein with filament, myosin tail and ATPase domains. Orthologs of this gene exist in mouse, rat and chimp. Alternate transcriptional splice variants, encoding different isoforms, have been characterized. [provided by RefSeq, Jul 2008].

Subcellular Location:
Cytoplasm, cytoskeleton, centrosome (By similarity). Note=Localizes around spindle poles in some cells.

SWISS:
Q8N8E3

Gene ID:
201134

Database links:

Entrez Gene: 201134 Human

Entrez Gene: 76380 Mouse

Entrez Gene: 287776 Rat

SwissProt: Q8N8E3 Human

SwissProt: Q5PR68 Mouse

Unigene: 408676 Human

Unigene: 344071 Mouse

Unigene: 143963 Rat



产品图片
Sample: U937 Cell (Human) Lysate at 40 ug Primary: Anti- CCDC46 (bs-8133R) at 1/300 dilution Secondary: IRDye800CW Goat Anti-Rabbit IgG at 1/20000 dilution Predicted band size: 28 kD Observed band size: 26 kD
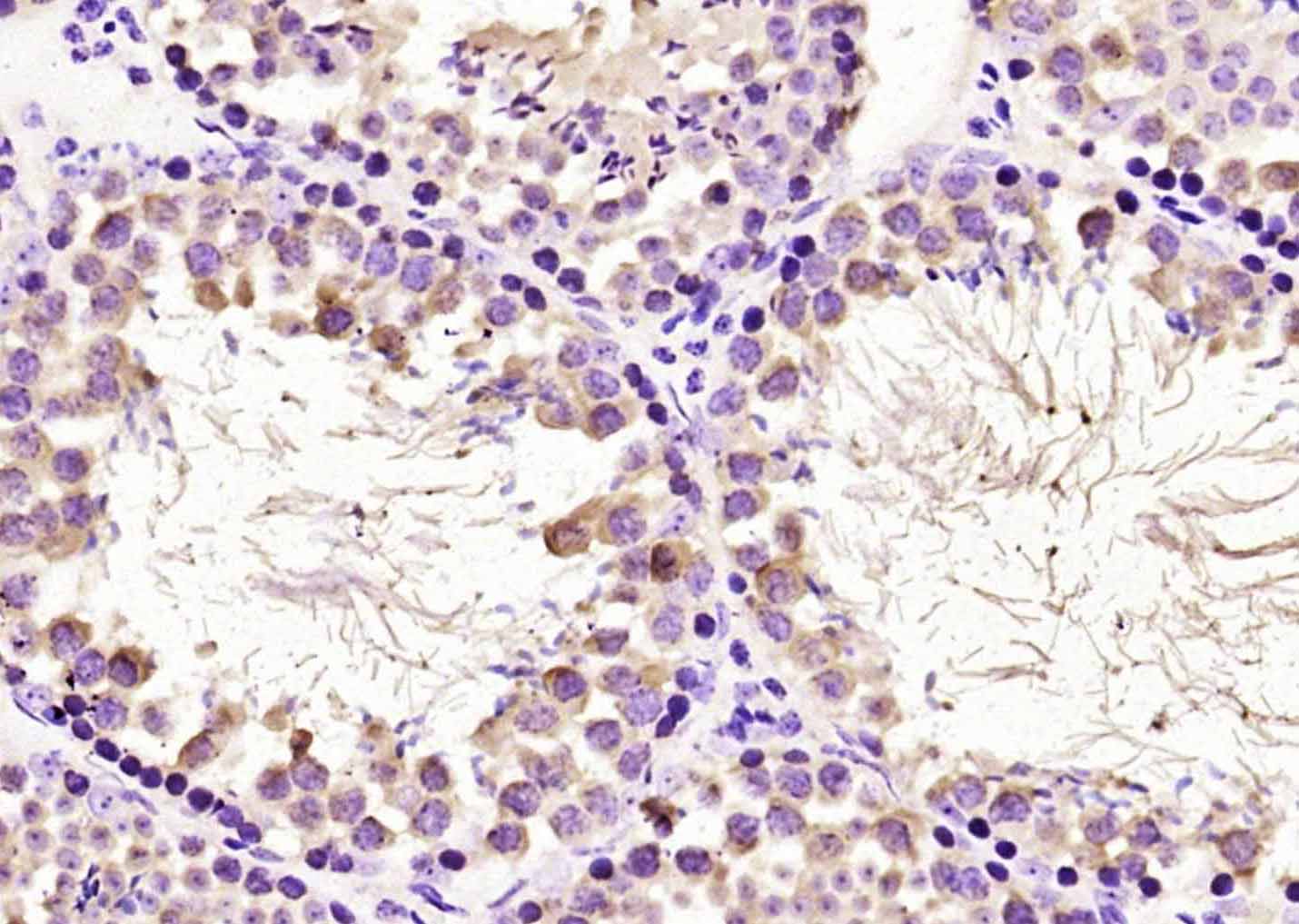
Paraformaldehyde-fixed, paraffin embedded (mouse testis tissue); Antigen retrieval by boiling in sodium citrate buffer (pH6.0) for 15min; Block endogenous peroxidase by 3% hydrogen peroxide for 20 minutes; Blocking buffer (normal goat serum) at 37°C for 30min; Antibody incubation with (CCDC46) Polyclonal Antibody, Unconjugated (bs-8133R) at 1:400 overnight at 4°C, followed by operating according to SP Kit(Rabbit) (sp-0023) instructionsand DAB staining.
版权所有 2004-2026 www.bioss.com.cn 北京博奥森生物技术有限公司
通过国际质量管理体系ISO 9001:2015 GB/T 19001-2016    证书编号: 00124Q34771R2M/1100
通过国际医疗器械-质量管理体系ISO 13485:2016 GB/T 42061-2022     证书编号: CQC24QY20047R0M/1100
京ICP备05066980号-1         京公网安备110107000727号