扫码关注公众号           扫码咨询技术支持           扫码咨询技术服务
  
客服热线:400-901-9800  客服QQ:4009019800  技术答疑  技术支持  质量反馈  关于我们  联系我们
产品中心-北京博奥森生物技术有限公司
首页 > 产品中心 > 一抗 > 产品信息
CCDC50 Rabbit pAb (bs-6920R)  
订购热线:400-901-9800
订购邮箱:sales@bioss.com.cn
订购QQ:  400-901-9800
技术支持:techsupport@bioss.com.cn
50ul/1180.00元
100ul/1980.00元
200ul/2800.00元
大包装/询价

产品编号 bs-6920R
英文名称 CCDC50 Rabbit pAb
中文名称 卷曲螺旋结构域蛋白50抗体
别    名 C3orf6; C3orf6 YMER; CCD50_HUMAN; CCDC 50; Ccdc50; Chromosome 3 open reading frame 6; Coiled coil domain containing 50; Coiled coil domain containing protein 50; Coiled-coil domain-containing protein 50; Protein Ymer; Ymer; Ymer protein.  
研究领域 细胞生物  免疫学  表观遗传学  
抗体来源 Rabbit
克隆类型 Polyclonal
克 隆 号
交叉反应 Human,Mouse (predicted: Rat)
产品应用 WB=1:500-2000,IHC-P=1:100-500,IHC-F=1:100-500,IF=1:100-500
not yet tested in other applications.
optimal dilutions/concentrations should be determined by the end user.
理论分子量 34 kDa
检测分子量
细胞定位 细胞浆 
性    状 Liquid
浓    度 1mg/ml
免 疫 原 KLH conjugated synthetic peptide derived from human CCDC50: 251-306/306 
亚    型 IgG
纯化方法 affinity purified by Protein A
缓 冲 液 0.01M TBS (pH7.4) with 1% BSA, 0.02% Proclin300 and 50% Glycerol.
保存条件 Shipped at 4℃. Store at -20℃ for one year. Avoid repeated freeze/thaw cycles.
注意事项 This product as supplied is intended for research use only, not for use in human, therapeutic or diagnostic applications.
PubMed PubMed
产品介绍 This gene encodes a soluble, cytoplasmic, tyrosine-phosphorylated protein with multiple ubiquitin-interacting domains. Mutations in this gene cause nonsyndromic, postlingual, progressive sensorineural DFNA44 hearing loss. In mouse, the protein is expressed in the inner ear during development and postnatal maturation and associates with microtubule-based structures. This protein may also function as a negative regulator of NF-kB signaling and as an effector of epidermal growth factor (EGF)-mediated cell signaling. Alternative splicing results in multiple transcript variants encoding distinct isoforms. [provided by RefSeq, Oct 2008].

Function:
Involved in EGFR signaling.

Tissue Specificity:
Isoform 1 and isoform 2 are co-expressed in placenta, liver, lung, kidney and pancreas. Only isoform 1 is detected in skeletal muscle, brain and heart.

Post-translational modifications:
Phosphorylated on tyrosine residues.

DISEASE:
Defects in CCDC50 are the cause of deafness autosomal dominant type 44 (DFNA44) . A form of non-syndromic hearing loss. It is initially moderate and affects mainly low to mid frequencies. Later, it progresses to involve all the frequencies and leads to a profound hearing loss by the 6th decade. The onset of the hearing loss occurs in the first decade of life.

SWISS:
Q8IVM0

Gene ID:
152137

Database links:

Entrez Gene: 152137 Human

Entrez Gene: 67501 Mouse

Entrez Gene: 288022 Rat

SwissProt: Q8IVM0 Human

SwissProt: Q3TNK7 Mouse

SwissProt: Q3TRW1 Mouse

SwissProt: Q810U5 Mouse

SwissProt: Q810U0 Rat

Unigene: 478682 Human

Unigene: 258985 Mouse

Unigene: 9610 Rat



产品图片
Sample: Cerebellum (Mouse) Lysate at 40 ug Primary: Anti- CCDC50 (bs-6920R) at 1/1000 dilution Secondary: IRDye800CW Goat Anti-Rabbit IgG at 1/20000 dilution Predicted band size: 34 kD Observed band size: 33 kD
Sample: Hela(Human) Cell Lysate at 30 ug Primary: Anti- CCDC50 (bs-6920R) at 1/1000 dilution Secondary: IRDye800CW Goat Anti-Rabbit IgG at 1/20000 dilution Predicted band size: 34 kD Observed band size: 34 kD
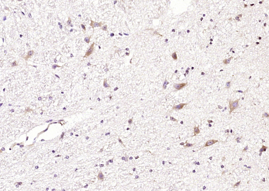
Paraformaldehyde-fixed, paraffin embedded (mouse cerebellum); Antigen retrieval by boiling in sodium citrate buffer (pH6.0) for 15min; Block endogenous peroxidase by 3% hydrogen peroxide for 20 minutes; Blocking buffer (normal goat serum) at 37°C for 30min; Antibody incubation with (CCDC50) Polyclonal Antibody, Unconjugated (bs-6920R) at 1:200 overnight at 4°C, followed by operating according to SP Kit(Rabbit) (sp-0023) instructionsand DAB staining.
版权所有 2004-2026 www.bioss.com.cn 北京博奥森生物技术有限公司
通过国际质量管理体系ISO 9001:2015 GB/T 19001-2016    证书编号: 00124Q34771R2M/1100
通过国际医疗器械-质量管理体系ISO 13485:2016 GB/T 42061-2022     证书编号: CQC24QY20047R0M/1100
京ICP备05066980号-1         京公网安备110107000727号