扫码关注公众号           扫码咨询技术支持           扫码咨询技术服务
  
客服热线:400-901-9800  客服QQ:4009019800  技术答疑  技术支持  质量反馈  关于我们  联系我们
产品中心-北京博奥森生物技术有限公司
首页 > 产品中心 > 一抗 > 产品信息
ICMT Rabbit pAb (bs-8019R)  
订购热线:400-901-9800
订购邮箱:sales@bioss.com.cn
订购QQ:  400-901-9800
技术支持:techsupport@bioss.com.cn
50ul/1180.00元
100ul/1980.00元
200ul/2800.00元
大包装/询价

产品编号 bs-8019R
英文名称 ICMT Rabbit pAb
中文名称 异戊烯半胱氨酸羧基甲基转移酶抗体
别    名 HSTE14; MST098; MSTP098; PCCMT; PCMT; PPMT; 1700008E11Rik; Gm13095; STE14; fcmt; ICMT_HUMAN; ICMT; Isoprenylcysteine carboxylmethyltransferase; Prenylated protein carboxyl methyltransferase (PPMT); Prenylcysteine carboxyl methyltransferase (pcCMT); 2.1.1.  
研究领域 肿瘤  细胞生物  免疫学  转录调节因子  
抗体来源 Rabbit
克隆类型 Polyclonal
克 隆 号
交叉反应 Human,Mouse (predicted: Rat,Pig,Sheep,Cow,Dog)
产品应用 IHC-P=1:100-500,IHC-F=1:100-500,IF=1:100-500
not yet tested in other applications.
optimal dilutions/concentrations should be determined by the end user.
理论分子量 32 kDa
细胞定位 细胞浆 细胞膜 
性    状 Liquid
浓    度 1mg/ml
免 疫 原 KLH conjugated synthetic peptide derived from human CMT/Icmt: 211-278/284 
亚    型 IgG
纯化方法 affinity purified by Protein A
缓 冲 液 0.01M TBS (pH7.4) with 1% BSA, 0.02% Proclin300 and 50% Glycerol.
保存条件 Shipped at 4℃. Store at -20℃ for one year. Avoid repeated freeze/thaw cycles.
注意事项 This product as supplied is intended for research use only, not for use in human, therapeutic or diagnostic applications.
PubMed PubMed
产品介绍 Catalyzes the post-translational methylation of isoprenylated C-terminal cysteine residues. Tissue specificity: Ubiquitously expressed. Expressed at higher levels in the cerebellum and putamen than in other brain regions. Abundant expression seen in the Purkinje cells and pontine neurons.

Function:
Catalyzes the post-translational methylation of isoprenylated C-terminal cysteine residues.

Subcellular Location:
Endoplasmic reticulum membrane.

Tissue Specificity:
Ubiquitously expressed. Expressed at higher levels in the cerebellum and putamen than in other brain regions. Abundant expression seen in the Purkinje cells and pontine neurons.

Similarity:
Belongs to the isoprenylcysteine O-methyltransferase family.

SWISS:
O60725

Gene ID:
23463

Database links:

Entrez Gene: 23463 Human

Entrez Gene: 57295 Mouse

Entrez Gene: 170818 Rat

Omim: 605851 Human

SwissProt: O60725 Human

SwissProt: Q9EQK7 Mouse

SwissProt: Q9WVM4 Rat

Unigene: 515688 Human

Unigene: 277464 Mouse

Unigene: 48709 Rat



Icmt酶是异戊烯途径中的一种关键酶,它能将甲基加到Ras上。这种甲基标签能使Ras到达细胞中的最终目的地,Icmt酶能发送不控制生长的信号,因此,Icmt蛋白在保持细胞中的致癌基因Ras的开启状态中起到重要作用。(Ras是细胞的一种正常的遗传成分,但是这种基因的突变能够致使它促进细胞的失控生长。而且,在一半的结肠癌和90%的胰腺癌中发生了Ras基因突变)。
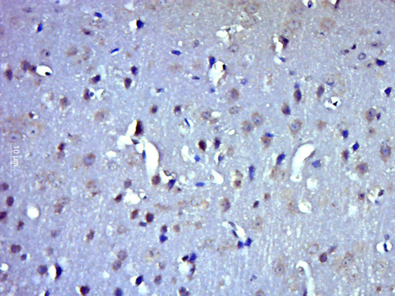
产品图片
Paraformaldehyde-fixed, paraffin embedded (Mouse brain); Antigen retrieval by boiling in sodium citrate buffer (pH6.0) for 15min; Block endogenous peroxidase by 3% hydrogen peroxide for 20 minutes; Blocking buffer (normal goat serum) at 37°C for 30min; Antibody incubation with (ICMT) Polyclonal Antibody, Unconjugated (bs-8019R) at 1:400 overnight at 4°C, followed by operating according to SP Kit(Rabbit) (sp-0023) instructionsand DAB staining.
Tissue/cell: human pancreatic carcinoma(BXPC-3);4% Paraformaldehyde-fixed; Blocking buffer (normal goat serum,C-0005) at 37℃ for 20 min; Incubation: Anti-ICMT Polyclonal Antibody, Unconjugated(bs-8019R) 1:200, overnight at 4°C; The secondary antibody was Goat Anti-Rabbit IgG, Cy5 conjugated(bs-0295G-Cy5)used at 1:200 dilution for 40 minutes at 37°C. DAPI(5ug/ml,blue,C-0033) was used to stain the cell nuclei
版权所有 2004-2026 www.bioss.com.cn 北京博奥森生物技术有限公司
通过国际质量管理体系ISO 9001:2015 GB/T 19001-2016    证书编号: 00124Q34771R2M/1100
通过国际医疗器械-质量管理体系ISO 13485:2016 GB/T 42061-2022     证书编号: CQC24QY20047R0M/1100
京ICP备05066980号-1         京公网安备110107000727号