扫码关注公众号           扫码咨询技术支持           扫码咨询技术服务
  
客服热线:400-901-9800  客服QQ:4009019800  技术答疑  技术支持  质量反馈  人才招聘  关于我们  联系我们
产品中心-北京博奥森生物技术有限公司
首页 > 产品中心 > 一抗 > 产品信息
CLLD7 Rabbit pAb (bs-8015R)  
订购热线:400-901-9800
订购邮箱:sales@bioss.com.cn
订购QQ:  400-901-9800
技术支持:techsupport@bioss.com.cn
50ul/1180.00元
100ul/1980.00元
200ul/2800.00元
大包装/询价

产品编号 bs-8015R
英文名称 CLLD7 Rabbit pAb
中文名称 鸟嘌呤核苷酸交换因子CLLD7抗体
别    名 CLLD7; CLLL7; GLP; RDEOA; 5430409I18Rik; RCBT1_HUMAN; RCBTB1; Chronic lymphocytic leukemia deletion region gene 7 protein (CLL deletion region gene 7 protein); Regulator of chromosome condensation and BTB domain-containing protein 1; E4.5; RCBT1_MOUSE;   
研究领域 肿瘤  细胞生物  免疫学  表观遗传学  
抗体来源 Rabbit
克隆类型 Polyclonal
克 隆 号
交叉反应 Rat (predicted: Human,Mouse,Pig,Sheep,Cow,Chicken,Dog,Horse)
产品应用 IHC-P=1:100-500,IHC-F=1:100-500,IF=1:100-500
not yet tested in other applications.
optimal dilutions/concentrations should be determined by the end user.
理论分子量 58-60 kDa
细胞定位 细胞核 
性    状 Liquid
浓    度 1mg/ml
免 疫 原 KLH conjugated synthetic peptide derived from human CLLD7: 481-531/531 
亚    型 IgG
纯化方法 affinity purified by Protein A
缓 冲 液 0.01M TBS (pH7.4) with 1% BSA, 0.02% Proclin300 and 50% Glycerol.
保存条件 Shipped at 4℃. Store at -20℃ for one year. Avoid repeated freeze/thaw cycles.
注意事项 This product as supplied is intended for research use only, not for use in human, therapeutic or diagnostic applications.
PubMed PubMed
产品介绍 This gene encodes a protein with an N-terminal RCC1 domain and a C-terminal BTB (broad complex, tramtrack and bric-a-brac) domain. In rat, over-expression of this gene in vascular smooth muscle cells induced cellular hypertrophy. In rat, the C-terminus of RCBTB1 interacts with the angiotensin II receptor-1A. In humans, this gene maps to a region of chromosome 13q that is frequently deleted in B-cell chronic lymphocytic leukemia and other lymphoid malignancies. [provided by RefSeq, Jul 2008].

Function:
May be involved in cell cycle regulation by chromatin remodeling.

Subcellular Location:
Nucleus (Potential).

Tissue Specificity:
Ubiquitously expressed.

Similarity:
Contains 2 BTB (POZ) domains.
Contains 6 RCC1 repeats.

SWISS:
Q8NDN9

Gene ID:
55213

Database links:
UniProtKB/Swiss-Prot: Q8NDN9.1

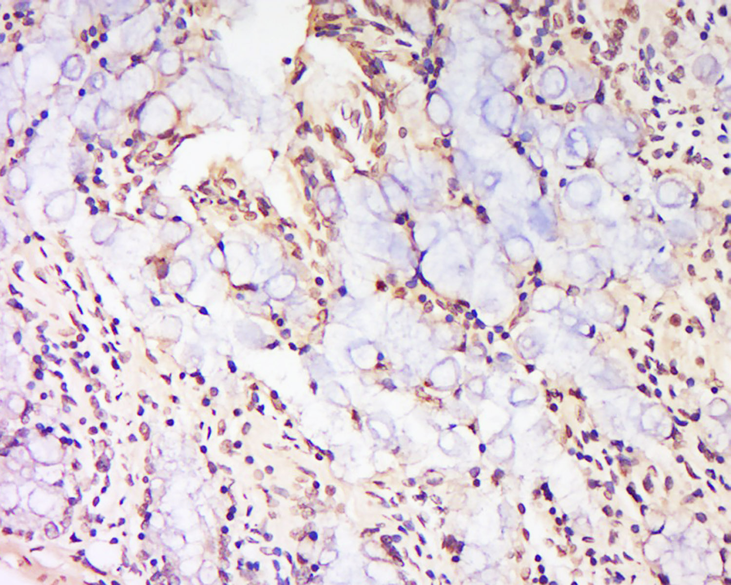
产品图片
Tissue/cell: Rat intestine tissue; 4% Paraformaldehyde-fixed and paraffin-embedded; Antigen retrieval: citrate buffer ( 0.01M, pH 6.0 ), Boiling bathing for 15min; Block endogenous peroxidase by 3% Hydrogen peroxide for 30min; Blocking buffer (normal goat serum,C-0005) at 37℃ for 20 min; Incubation: Anti-CLLD7 Polyclonal Antibody, Unconjugated(bs-8015R) 1:200, overnight at 4°C, followed by conjugation to the secondary antibody(SP-0023) and DAB(C-0010) staining
版权所有 2004-2026 www.bioss.com.cn 北京博奥森生物技术有限公司
通过国际质量管理体系ISO 9001:2015 GB/T 19001-2016    证书编号: 00124Q34771R2M/1100
通过国际医疗器械-质量管理体系ISO 13485:2016 GB/T 42061-2022     证书编号: CQC24QY20047R0M/1100
京ICP备05066980号-1         京公网安备110107000727号