扫码关注公众号           扫码咨询技术支持           扫码咨询技术服务
  
客服热线:400-901-9800  客服QQ:4009019800  技术答疑  技术支持  质量反馈  人才招聘  关于我们  联系我们
产品中心-北京博奥森生物技术有限公司
首页 > 产品中心 > 一抗 > 产品信息
HOXC9 Rabbit pAb (bs-7982R)  
订购热线:400-901-9800
订购邮箱:sales@bioss.com.cn
订购QQ:  400-901-9800
技术支持:techsupport@bioss.com.cn
50ul/1180.00元
100ul/1980.00元
200ul/2800.00元
大包装/询价

产品编号 bs-7982R
英文名称 HOXC9 Rabbit pAb
中文名称 同源盒蛋白HOXC9抗体
别    名 HOX3; HOX3B; Hox-3.2; Hoxc8; HXC9_HUMAN; HOXC9; Homeobox protein Hox-3B; HXC9_MOUSE; Homeobox protein Hox-3.2; Hoxc-9;   
Specific References  (1)     |     bs-7982R has been referenced in 1 publications.
[IF=7] Xu Enbo. et al. Tissue-like cultured fish fillets through a synthetic food pipeline. npj Science of Food. 2023 May;7(1):1-13  ICC ;  Fish.  
研究领域 细胞生物  转录调节因子  表观遗传学  
抗体来源 Rabbit
克隆类型 Polyclonal
克 隆 号
交叉反应 Human,Mouse,Rat (predicted: Sheep,Cow)
产品应用 WB=1:500-2000,IHC-P=1:100-500,IHC-F=1:100-500,IF=1:100-500
not yet tested in other applications.
optimal dilutions/concentrations should be determined by the end user.
理论分子量 29 kDa
细胞定位 细胞核 
性    状 Liquid
浓    度 1mg/ml
免 疫 原 KLH conjugated synthetic peptide derived from human HOXC9: 151-220/260 
亚    型 IgG
纯化方法 affinity purified by Protein A
缓 冲 液 0.01M TBS (pH7.4) with 1% BSA, 0.02% Proclin300 and 50% Glycerol.
保存条件 Shipped at 4℃. Store at -20℃ for one year. Avoid repeated freeze/thaw cycles.
注意事项 This product as supplied is intended for research use only, not for use in human, therapeutic or diagnostic applications.
PubMed PubMed
产品介绍 HOXC9 plays an important role in morphogenesis in all multicellular organisms. Mammals possess four similar homeobox gene clusters, HOXA, HOXB, HOXC and HOXD, which are located on different chromosomes and consist of 9 to 11 genes arranged in tandem.

Function:
Sequence-specific transcription factor which is part of a developmental regulatory system that provides cells with specific positional identities on the anterior-posterior axis.

Subcellular Location:
Nucleus.

Similarity:
Belongs to the Abd-B homeobox family.
Contains 1 homeobox DNA-binding domain.

SWISS:
P31274

Gene ID:
3225

Database links:

Entrez Gene: 3225 Human

Entrez Gene: 15427 Mouse

Entrez Gene: 368178 Rat

Omim: 142971 Human

SwissProt: P31274 Human

SwissProt: P09633 Mouse

Unigene: 658823 Human

Unigene: 4765 Mouse



产品图片
Sample: Lane 1: Muscle (Mouse) Tissue Lysate at 40 ug Lane 2: Muscle (Rat) Tissue Lysate at 40 ug Lane 3: Ear (Rat) Tissue Lysate at 40 ug Primary: Anti-HOXC9 (bs-7982R) at 1/200 dilution Secondary: IRDye800CW Goat Anti-Rabbit IgG at 1/20000 dilution Predicted band size: 29 kD Observed band size: 40 kD
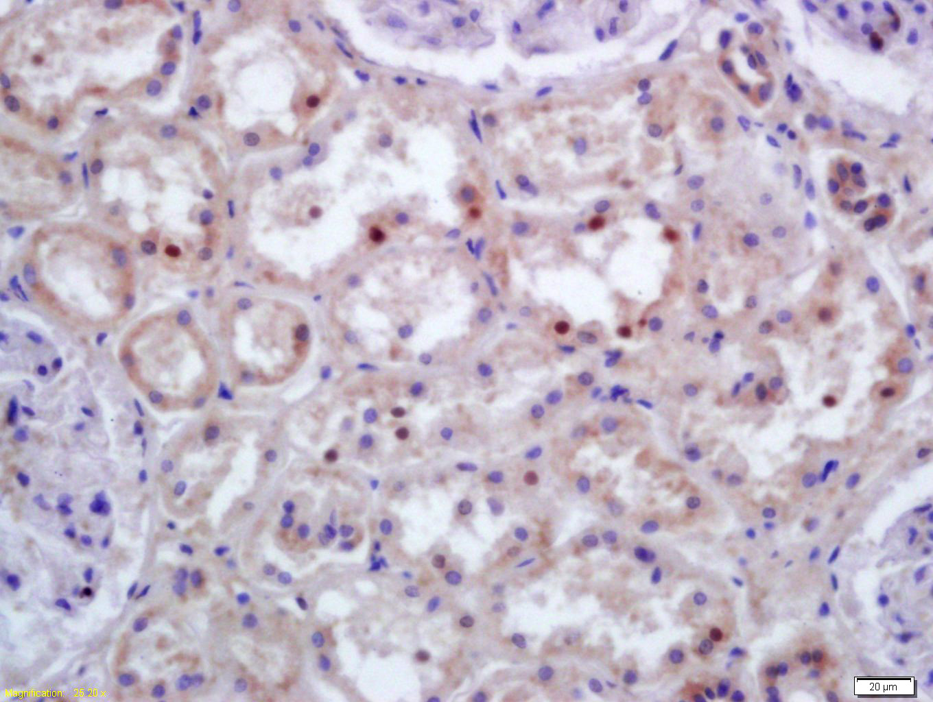
Tissue/cell: human kidney tissue; 4% Paraformaldehyde-fixed and paraffin-embedded; Antigen retrieval: citrate buffer ( 0.01M, pH 6.0 ), Boiling bathing for 15min; Block endogenous peroxidase by 3% Hydrogen peroxide for 30min; Blocking buffer (normal goat serum,C-0005) at 37℃ for 20 min; Incubation: Anti-HOXC9 Polyclonal Antibody, Unconjugated(bs-7982R) 1:200, overnight at 4°C, followed by conjugation to the secondary antibody(SP-0023) and DAB(C-0010) staining
版权所有 2004-2026 www.bioss.com.cn 北京博奥森生物技术有限公司
通过国际质量管理体系ISO 9001:2015 GB/T 19001-2016    证书编号: 00124Q34771R2M/1100
通过国际医疗器械-质量管理体系ISO 13485:2016 GB/T 42061-2022     证书编号: CQC24QY20047R0M/1100
京ICP备05066980号-1         京公网安备110107000727号