扫码关注公众号           扫码咨询技术支持           扫码咨询技术服务
  
客服热线:400-901-9800  客服QQ:4009019800  技术答疑  技术支持  质量反馈  关于我们  联系我们
产品中心-北京博奥森生物技术有限公司
首页 > 产品中心 > 一抗 > 产品信息
RYBP Rabbit pAb (bs-2053R)  
订购热线:400-901-9800
订购邮箱:sales@bioss.com.cn
订购QQ:  400-901-9800
技术支持:techsupport@bioss.com.cn
50ul/1180.00元
100ul/1980.00元
200ul/2800.00元
大包装/询价

产品编号 bs-2053R
英文名称 RYBP Rabbit pAb
中文名称 凋亡相关蛋白1抗体
别    名 AAP1; APAP-1; DEDAF; YEAF1; 2410018J24Rik; RYBP_HUMAN; RYBP; Apoptin-associating protein 1 (APAP-1); Death effector domain-associated factor (DED-associated factor); YY1 and E4TF1-associated factor 1; RYBP_MOUSE;   
研究领域 细胞生物  信号转导  细胞凋亡  
抗体来源 Rabbit
克隆类型 Polyclonal
克 隆 号
交叉反应 Human,Mouse (predicted: Rat,Cow,Chicken,Dog,Horse)
产品应用 IHC-P=1:100-500,IHC-F=1:100-500,IF=1:100-500
not yet tested in other applications.
optimal dilutions/concentrations should be determined by the end user.
理论分子量 24 kDa
细胞定位 细胞核 细胞浆 
性    状 Liquid
浓    度 1mg/ml
免 疫 原 KLH conjugated synthetic peptide derived from human AAP1: 31-130/228 
亚    型
纯化方法 affinity purified by Protein A
缓 冲 液 0.01M TBS (pH7.4) with 1% BSA, 0.02% Proclin300 and 50% Glycerol.
保存条件 Shipped at 4℃. Store at -20℃ for one year. Avoid repeated freeze/thaw cycles.
注意事项 This product as supplied is intended for research use only, not for use in human, therapeutic or diagnostic applications.
PubMed PubMed
产品介绍 May be implicated in the regulation of the transcription as a repressor of the transcriptional activity of E4TF1. In tumor cell lines, may induce apoptosis.

Function:
nhibits ubiquitination and subsequent degradation of TP53, and thereby plays a role in regulating transcription of TP53 target genes. May be implicated in the regulation of the transcription as a repressor of the transcriptional activity of E4TF1. May bind to DNA. Promotes apoptosis.

Subunit:
Monomer. Interacts with apoptin, DEDD, FADD, CASP8, CASP10, YY1 and GABPB1. Component of repressive BCOR complex containing Polycomb group subcomplex at least composed of BCOR, PCGF1, RING1 and RNF2/RING2. Together with GABPB1 and YY1, it forms a ternary complex, probably being the bridge factor between these two transcription factors. Interacts with CBX2, YAF2, RING1 and RNF2. Interacts with ubiquitin and ubiquitinated proteins. Interacts with ubiquitinated histone H2A (By similarity). Interacts with MDM2, and thereby inhibits ubiquitination of TP53. Identified in a ternary complex containing MDM2, TP53 and RYBP.

Subcellular Location:
Nucleus. Cytoplasm. Nucleus, nucleoplasm. Note=Primarily found in the nucleus. Detected in a punctate pattern likely to represent Polycomb group (PcG) bodies

Tissue Specificity:
Widely expressed with highest levels in lymphoid tissues and placenta.

Post-translational modifications:
Monoubiquitinated

Similarity:
Contains 1 RanBP2-type zinc finger.

SWISS:
Q8N488

Gene ID:
23429

Database links:

Entrez Gene: 23429 Human

Entrez Gene: 56353 Mouse

Entrez Gene: 312603 Rat

Omim: 607535 Human

SwissProt: Q8N488 Human

SwissProt: Q8CCI5 Mouse

Unigene: 7910 Human

Unigene: 321633 Mouse



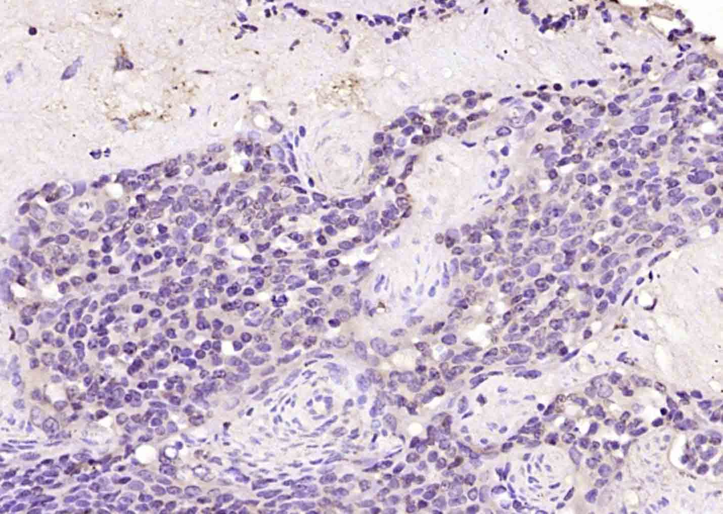
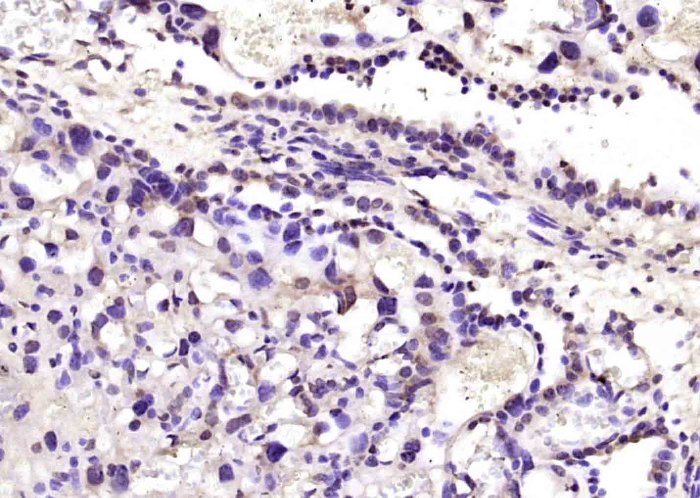
产品图片
Paraformaldehyde-fixed, paraffin embedded (human tonsil); Antigen retrieval by boiling in sodium citrate buffer (pH6.0) for 15min; Block endogenous peroxidase by 3% hydrogen peroxide for 20 minutes; Blocking buffer (normal goat serum) at 37°C for 30min; Antibody incubation with (RYBP) Polyclonal Antibody, Unconjugated (bs-2053R) at 1:200 overnight at 4°C, followed by operating according to SP Kit(Rabbit) (sp-0023) instructionsand DAB staining.
Paraformaldehyde-fixed, paraffin embedded (mouse placenta); Antigen retrieval by boiling in sodium citrate buffer (pH6.0) for 15min; Block endogenous peroxidase by 3% hydrogen peroxide for 20 minutes; Blocking buffer (normal goat serum) at 37°C for 30min; Antibody incubation with (RYBP) Polyclonal Antibody, Unconjugated (bs-2053R) at 1:200 overnight at 4°C, followed by operating according to SP Kit(Rabbit) (sp-0023) instructionsand DAB staining.
版权所有 2004-2026 www.bioss.com.cn 北京博奥森生物技术有限公司
通过国际质量管理体系ISO 9001:2015 GB/T 19001-2016    证书编号: 00124Q34771R2M/1100
通过国际医疗器械-质量管理体系ISO 13485:2016 GB/T 42061-2022     证书编号: CQC24QY20047R0M/1100
京ICP备05066980号-1         京公网安备110107000727号