扫码关注公众号           扫码咨询技术支持           扫码咨询技术服务
  
客服热线:400-901-9800  客服QQ:4009019800  技术答疑  技术支持  质量反馈  人才招聘  关于我们  联系我们
产品中心-北京博奥森生物技术有限公司
首页 > 产品中心 > 一抗 > 产品信息
PARP4 Rabbit pAb (bs-7109R)  
订购热线:400-901-9800
订购邮箱:sales@bioss.com.cn
订购QQ:  400-901-9800
技术支持:techsupport@bioss.com.cn
50ul/1180.00元
100ul/1980.00元
200ul/2800.00元
大包装/询价

产品编号 bs-7109R
英文名称 PARP4 Rabbit pAb
中文名称 蛋白质单ADP核糖基转移酶PARP4抗体
别    名 ADPRTL1; ARTD4; PARP-4; PARPL; PH5P; VAULT3; VPARP; VWA5C; p193; PARP4_HUMAN; PARP4; 193 kDa vault protein; ADP-ribosyltransferase diphtheria toxin-like 4 (ARTD4); PARP-related/IalphaI-related H5/proline-rich (PH5P); Poly [ADP-ribose] polymerase 4 (PARP-4  
Specific References  (2)     |     bs-7109R has been referenced in 2 publications.
[IF=8.44] Lu Bingfeng. et al. C/D box small nucleolar RNA SNORD104 promotes endometrial cancer by regulating the 2ʹ-O-methylation of PARP1. J TRANSL MED. 2022 Dec;20(1):1-14  WB ;  Human.  
[IF=1.12] Liu et al. Keeping the heart empty and beating: an alternative technique to preserve hypertrophied hearts during valvular surgery. (2015) J.Cardiothorac.Surg. 10:71  WB ;  Porcine.  
研究领域 细胞生物  细胞凋亡  表观遗传学  
抗体来源 Rabbit
克隆类型 Polyclonal
克 隆 号
交叉反应 Rat (predicted: Human,Mouse,Rabbit,Pig,Sheep)
产品应用 IHC-P=1:100-500,IHC-F=1:100-500,IF=1:100-500
not yet tested in other applications.
optimal dilutions/concentrations should be determined by the end user.
理论分子量 192 kDa
细胞定位 细胞核 细胞浆 
性    状 Liquid
浓    度 1mg/ml
免 疫 原 KLH conjugated synthetic peptide derived from human PARP4: 851-950/1724 
亚    型
纯化方法 affinity purified by Protein A
缓 冲 液 0.01M TBS (pH7.4) with 1% BSA, 0.02% Proclin300 and 50% Glycerol.
保存条件 Shipped at 4℃. Store at -20℃ for one year. Avoid repeated freeze/thaw cycles.
注意事项 This product as supplied is intended for research use only, not for use in human, therapeutic or diagnostic applications.
PubMed PubMed
产品介绍 Component of the vault ribonucleoprotein particle which is at least composed of MVP, PARP4 and one or more vault RNAs (vRNAs). Binds to MVP. Associates with TEP1. Widely expressed; the highest levels are in the kidney; also detected in heart, placenta, lung, liver, skeletal muscle, spleen, leukocytes and pancreas.

Subunit:
Component of the vault ribonucleoprotein particle, at least composed of MVP, PARP4 and one or more vault RNAs (vRNAs). Binds to MVP. Associates with TEP1.

Subcellular Location:
Cytoplasm. Nucleus. Cytoplasm, cytoskeleton, spindle. Note=Also found in the nucleus, associated with mitotic spindles.

Tissue Specificity:
Widely expressed; the highest levels are in the kidney; also detected in heart, placenta, lung, liver, skeletal muscle, spleen, leukocytes and pancreas.

Similarity:
Contains 1 BRCT domain.
Contains 1 PARP alpha-helical domain.
Contains 1 PARP catalytic domain.
Contains 1 VIT domain. [SIMILARITY] Contains 1 VWFA domain.

SWISS:
Q9UKK3

Gene ID:
143

Database links:

Entrez Gene: 143 Human

Omim: 607519 Human

SwissProt: Q9UKK3 Human

Unigene: 117825 Human



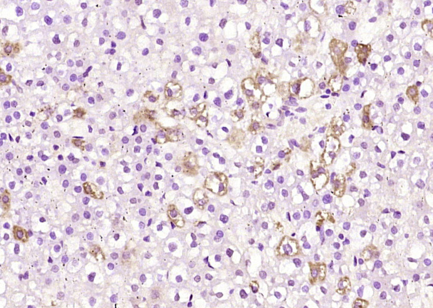
产品图片
Paraformaldehyde-fixed, paraffin embedded (rat liver); Antigen retrieval by boiling in sodium citrate buffer (pH6.0) for 15min; Block endogenous peroxidase by 3% hydrogen peroxide for 20 minutes; Blocking buffer (normal goat serum) at 37°C for 30min; Antibody incubation with (PARP4) Polyclonal Antibody, Unconjugated (bs-7109R) at 1:200 overnight at 4°C, followed by operating according to SP Kit(Rabbit) (sp-0023) instructionsand DAB staining.
版权所有 2004-2026 www.bioss.com.cn 北京博奥森生物技术有限公司
通过国际质量管理体系ISO 9001:2015 GB/T 19001-2016    证书编号: 00124Q34771R2M/1100
通过国际医疗器械-质量管理体系ISO 13485:2016 GB/T 42061-2022     证书编号: CQC24QY20047R0M/1100
京ICP备05066980号-1         京公网安备110107000727号