扫码关注公众号           扫码咨询技术支持           扫码咨询技术服务
  
客服热线:400-901-9800  客服QQ:4009019800  技术答疑  技术支持  质量反馈  关于我们  联系我们
产品中心-北京博奥森生物技术有限公司
首页 > 产品中心 > 一抗 > 产品信息
A1CF Rabbit pAb (bs-6773R)  
订购热线:400-901-9800
订购邮箱:sales@bioss.com.cn
订购QQ:  400-901-9800
技术支持:techsupport@bioss.com.cn
50ul/1180.00元
100ul/1980.00元
200ul/2800.00元
大包装/询价

产品编号 bs-6773R
英文名称 A1CF Rabbit pAb
中文名称 载脂蛋白B-mRNA编码蛋白抗体
别    名 A1CF_HUMAN; ACF; ACF64; ACF65; Apo B RNA editing protein; Apobec 1 complementation factor; Apobec 1 complementation factor(ACF)(ASP); APOBEC 1 stimulating protein; APOBEC1 complementation factor; APOBEC1 stimulating protein; APOBEC1-stimulating protein; APOBEC1CF; ASP; MGC163391; RP11-564C4.2.  
研究领域 肿瘤  细胞生物  信号转导  表观遗传学  
抗体来源 Rabbit
克隆类型 Polyclonal
克 隆 号
交叉反应 Mouse,Rat (predicted: Human,Pig,Sheep,Cow)
产品应用 IHC-P=1:100-500,IHC-F=1:100-500,IF=1:100-500
not yet tested in other applications.
optimal dilutions/concentrations should be determined by the end user.
理论分子量 65 kDa
检测分子量
细胞定位 细胞核 细胞浆 
性    状 Liquid
浓    度 1mg/ml
免 疫 原 KLH conjugated synthetic peptide derived from human A1CF: 101-200/594 
亚    型 IgG
纯化方法 affinity purified by Protein A
缓 冲 液 0.01M TBS (pH7.4) with 1% BSA, 0.02% Proclin300 and 50% Glycerol.
保存条件 Shipped at 4℃. Store at -20℃ for one year. Avoid repeated freeze/thaw cycles.
注意事项 This product as supplied is intended for research use only, not for use in human, therapeutic or diagnostic applications.
PubMed PubMed
产品介绍 Essential component of the apolipoprotein B mRNA editing enzyme complex which is responsible for the postranscriptional editing of a CAA codon for Gln to a UAA codon for stop in APOB mRNA. Binds to APOB mRNA and is probably responsible for docking the catalytic subunit, APOBEC1, to the mRNA to allow it to deaminate its target cytosine. The complex also protects the edited APOB mRNA from nonsense-mediated decay.

Function:
Essential component of the apolipoprotein B mRNA editing enzyme complex which is responsible for the posttranscriptional editing of a CAA codon for Gln to a UAA codon for stop in APOB mRNA. Binds to APOB mRNA and is probably responsible for docking the catalytic subunit, APOBEC1, to the mRNA to allow it to deaminate its target cytosine. The complex also protects the edited APOB mRNA from nonsense-mediated decay.

Subunit:
Part of the apolipoprotein B mRNA editing complex with APOBEC1. Interacts with TNPO2; TNPO2 may be responsible for transport of A1CF into the nucleus. Interacts with SYNCRIP. Interacts with CELF2/CUGBP2.

Subcellular Location:
Nucleus. Endoplasmic reticulum. Cytoplasm. Note=Predominantly nuclear where it localizes to heterochromatin. Also cytoplasmic where it is found at the outer surface of the endoplasmic reticulum. Shuttles between the nucleus and cytoplasm. May be transported into the nucleus by the nuclear import protein TNPO2/TRN2 or by APOBEC1.

Tissue Specificity:
Widely expressed with highest levels in brain, liver, pancreas, colon and spleen.

Similarity:
Contains 3 RRM (RNA recognition motif) domains.

SWISS:
Q9NQ94

Gene ID:
29974

Database links:

Entrez Gene: 29974 Human

Entrez Gene: 69865 Mouse

Entrez Gene: 170912 Rat

SwissProt: Q9NQ94 Human

SwissProt: Q5YD48 Mouse

SwissProt: Q923K9 Rat

Unigene: 282795 Human

Unigene: 87538 Mouse

Unigene: 162520 Rat



产品图片
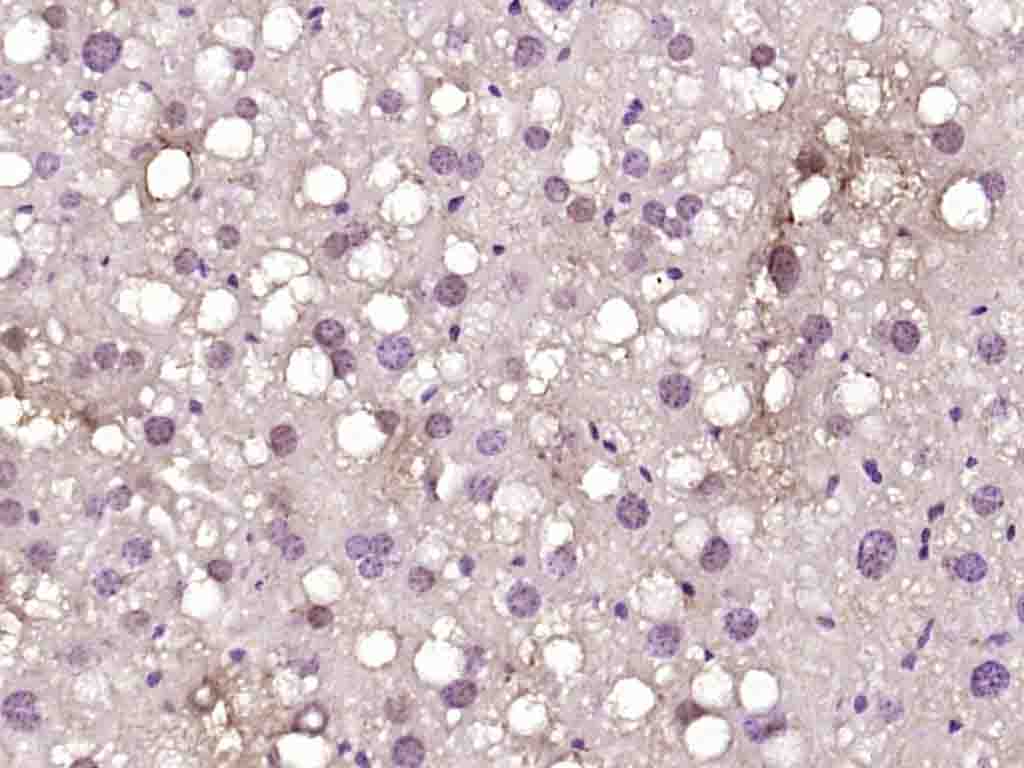
Paraformaldehyde-fixed, paraffin embedded (mouse liver); Antigen retrieval by boiling in sodium citrate buffer (pH6.0) for 15min; Block endogenous peroxidase by 3% hydrogen peroxide for 20 minutes; Blocking buffer (normal goat serum) at 37°C for 30min; Antibody incubation with (A1CF ) Polyclonal Antibody, Unconjugated (bs-6773R) at 1:200 overnight at 4°C, followed by operating according to SP Kit(Rabbit) (sp-0023) instructionsand DAB staining.
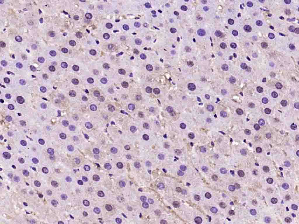
Paraformaldehyde-fixed, paraffin embedded (rat liver); Antigen retrieval by boiling in sodium citrate buffer (pH6.0) for 15min; Block endogenous peroxidase by 3% hydrogen peroxide for 20 minutes; Blocking buffer (normal goat serum) at 37°C for 30min; Antibody incubation with (A1CF ) Polyclonal Antibody, Unconjugated (bs-6773R) at 1:200 overnight at 4°C, followed by operating according to SP Kit(Rabbit) (sp-0023) instructionsand DAB staining.
版权所有 2004-2026 www.bioss.com.cn 北京博奥森生物技术有限公司
通过国际质量管理体系ISO 9001:2015 GB/T 19001-2016    证书编号: 00124Q34771R2M/1100
通过国际医疗器械-质量管理体系ISO 13485:2016 GB/T 42061-2022     证书编号: CQC24QY20047R0M/1100
京ICP备05066980号-1         京公网安备110107000727号