扫码关注公众号           扫码咨询技术支持           扫码咨询技术服务
  
客服热线:400-901-9800  客服QQ:4009019800  技术答疑  技术支持  质量反馈  关于我们  联系我们
产品中心-北京博奥森生物技术有限公司
首页 > 产品中心 > 一抗 > 产品信息
Glutamine PRPP amidotransferase Rabbit pAb (bs-6359R)  
订购热线:400-901-9800
订购邮箱:sales@bioss.com.cn
订购QQ:  400-901-9800
技术支持:techsupport@bioss.com.cn
50ul/1180.00元
100ul/1980.00元
200ul/2800.00元
大包装/询价

产品编号 bs-6359R
英文名称 Glutamine PRPP amidotransferase Rabbit pAb
中文名称 谷氨酰胺磷酸核糖基焦磷酸酰胺基转移酶
别    名 Amidophosphoribosyltransferase [Precursor]; ATASE; Glutamine phosphoribosylpyrophosphate amidotransferase; Glutamine PRPP amidotransferase; GPAT; phosphoribosyl pyrophosphate amidotransferase; PPAT; PRAT; PUR1_HUMAN.  
Specific References  (1)     |     bs-6359R has been referenced in 1 publications.
[IF=6.59] Pengfei Zhang. et al. Dietary intake of fructose increases purine de novo synthesis: A crucial mechanism for hyperuricemia. FRONT NUTR. 2022 Dec 19;9:1045805  WB ;  Mouse.  
研究领域 细胞生物  信号转导  表观遗传学  
抗体来源 Rabbit
克隆类型 Polyclonal
克 隆 号
交叉反应 Mouse,Rat (predicted: Human,Rabbit,Pig,Sheep,Cow,Chicken,Dog,Horse)
产品应用 IHC-P=1:100-500,IHC-F=1:100-500,IF=1:100-500
not yet tested in other applications.
optimal dilutions/concentrations should be determined by the end user.
理论分子量 56 kDa
检测分子量
细胞定位 细胞浆 
性    状 Liquid
浓    度 1mg/ml
免 疫 原 KLH conjugated synthetic peptide derived from human Glutamine PRPP amidotransferase: 351-430/517 
亚    型 IgG
纯化方法 affinity purified by Protein A
缓 冲 液 0.01M TBS (pH7.4) with 1% BSA, 0.02% Proclin300 and 50% Glycerol.
保存条件 Shipped at 4℃. Store at -20℃ for one year. Avoid repeated freeze/thaw cycles.
注意事项 This product as supplied is intended for research use only, not for use in human, therapeutic or diagnostic applications.
PubMed PubMed
产品介绍 Phosphoribosyl pyrophosphate amidotransferase (PPAT) is a regulatory allosteric enzyme that catalyzes the first step of de novo purine nucleotide biosynthesis. The genes for PPAT and PAICS/AIRC, (a bifunctional enzyme catalyzing steps six and seven in the purine nucleotide biosynthesis pathway), are located in close proximity on chromosome 4.

Subunit:
Homotetramer.

Tissue Specificity:
Ubiquitously expressed.

Similarity:
n the C-terminal section; belongs to the purine/pyrimidine phosphoribosyltransferase family.
Contains 1 glutamine amidotransferase type-2 domain.

SWISS:
Q06203

Gene ID:
5471

Database links:

Entrez Gene: 5471 Human

Entrez Gene: 231327 Mouse

Entrez Gene: 117544 Rat

Omim: 172450 Human

SwissProt: Q06203 Human

SwissProt: P35433 Rat

Unigene: 331420 Human

Unigene: 202337 Mouse

Unigene: 18690 Rat



产品图片
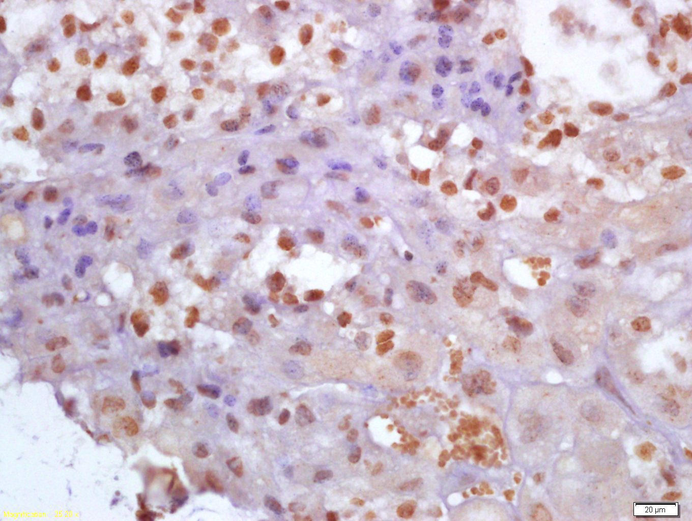
Tissue/cell: mouse placenta tissue; 4% Paraformaldehyde-fixed and paraffin-embedded; Antigen retrieval: citrate buffer ( 0.01M, pH 6.0 ), Boiling bathing for 15min; Block endogenous peroxidase by 3% Hydrogen peroxide for 30min; Blocking buffer (normal goat serum,C-0005) at 37℃ for 20 min; Incubation: Anti-Glutamine PRPP amidotransferase Polyclonal Antibody, Unconjugated(bs-6359R) 1:200, overnight at 4°C, followed by conjugation to the secondary antibody(SP-0023) and DAB(C-0010) staining
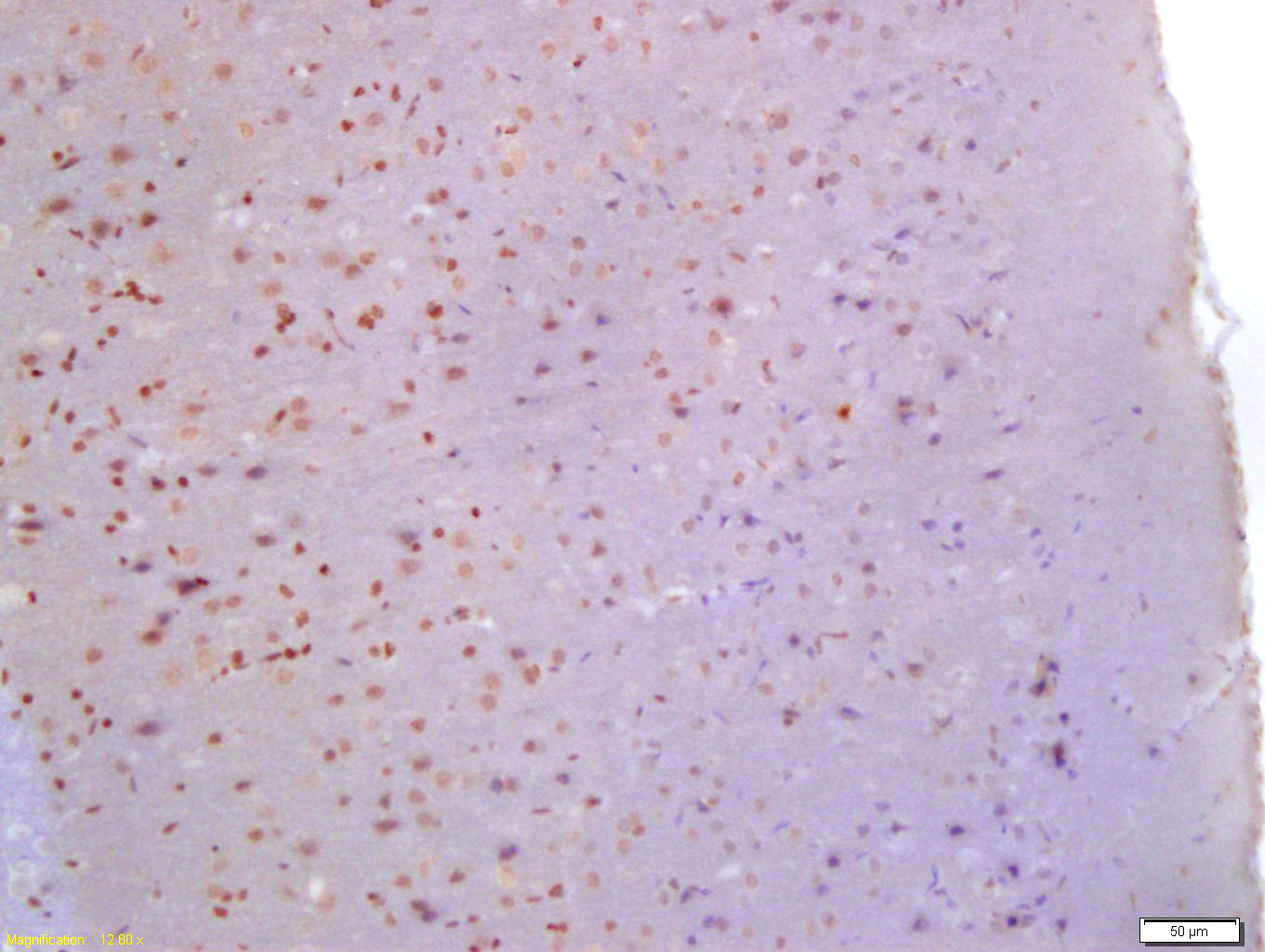
Tissue/cell: rat brain tissue; 4% Paraformaldehyde-fixed and paraffin-embedded; Antigen retrieval: citrate buffer ( 0.01M, pH 6.0 ), Boiling bathing for 15min; Block endogenous peroxidase by 3% Hydrogen peroxide for 30min; Blocking buffer (normal goat serum,C-0005) at 37℃ for 20 min; Incubation: Anti-Glutamine PRPP amidotransferase Polyclonal Antibody, Unconjugated(bs-6359R) 1:200, overnight at 4°C, followed by conjugation to the secondary antibody(SP-0023) and DAB(C-0010) staining
版权所有 2004-2026 www.bioss.com.cn 北京博奥森生物技术有限公司
通过国际质量管理体系ISO 9001:2015 GB/T 19001-2016    证书编号: 00124Q34771R2M/1100
通过国际医疗器械-质量管理体系ISO 13485:2016 GB/T 42061-2022     证书编号: CQC24QY20047R0M/1100
京ICP备05066980号-1         京公网安备110107000727号