扫码关注公众号           扫码咨询技术支持           扫码咨询技术服务
  
客服热线:400-901-9800  客服QQ:4009019800  技术答疑  技术支持  质量反馈  人才招聘  关于我们  联系我们
产品中心-北京博奥森生物技术有限公司
首页 > 产品中心 > 一抗 > 产品信息
Adenylosuccinate Lyase Rabbit pAb (bs-6352R)  
订购热线:400-901-9800
订购邮箱:sales@bioss.com.cn
订购QQ:  400-901-9800
技术支持:techsupport@bioss.com.cn
50ul/1180.00元
100ul/1980.00元
200ul/2800.00元
大包装/询价

产品编号 bs-6352R
英文名称 Adenylosuccinate Lyase Rabbit pAb
中文名称 腺苷酸琥珀酸裂解酶抗体
别    名 AMPS; ASASE; ASL; Adl; PUR8_HUMAN; ADSL; Adenylosuccinase (ASase); 4.3.2.2; PUR8_MOUSE;   
研究领域 细胞生物  信号转导  
抗体来源 Rabbit
克隆类型 Polyclonal
克 隆 号
交叉反应 Human,Mouse,Rat (predicted: Pig,Cow,Dog,Horse)
产品应用 WB=1:500-2000,IHC-P=1:100-500,IHC-F=1:100-500,IF=1:100-500
not yet tested in other applications.
optimal dilutions/concentrations should be determined by the end user.
理论分子量 55 kDa
细胞定位 细胞浆 
性    状 Liquid
浓    度 1mg/ml
免 疫 原 KLH conjugated synthetic peptide derived from human Adenylosuccinate Lyase: 185-280/484 
亚    型 IgG
纯化方法 affinity purified by Protein A
缓 冲 液 0.01M TBS (pH7.4) with 1% BSA, 0.02% Proclin300 and 50% Glycerol.
保存条件 Shipped at 4℃. Store at -20℃ for one year. Avoid repeated freeze/thaw cycles.
注意事项 This product as supplied is intended for research use only, not for use in human, therapeutic or diagnostic applications.
PubMed PubMed
产品介绍 Adenylsuccinate lyase is involved in both de novo synthesis of purines and formation of adenosine monophosphate from inosine monophosphate. It catalyzes two reactions in AMP biosynthesis: the removal of a fumarate from succinylaminoimidazole carboxamide (SAICA) ribotide to give aminoimidazole carboxamide ribotide (AICA) and removal of fumarate from adenylosuccinate to give AMP. Adenylosuccinase deficiency results in succinylpurinemic autism, psychomotor retardation, and , in some cases, growth retardation associated with muscle wasting and epilepsy. Two transcript variants encoding different isoforms have been found for this gene. [provided by RefSeq, Jul 2008].

Tissue Specificity:
Ubiquitously expressed. Both isoforms are produced by all tissues. Isoform 2 is 10-fold less abundant than isoform 1.

DISEASE:
Defects in ADSL are the cause of adenylosuccinase deficiency (ADSL deficiency) . ADSL deficiency is an autosomal recessive disorder characterized by the accumulation in the body fluids of succinylaminoimidazole-carboxamide riboside (SAICA-riboside) and succinyladenosine (S-Ado). Most children display marked psychomotor delay, often accompanied by epilepsy or autistic features, or both, although some patients may be less profoundly retarded. Occasionally, growth retardation and muscular wasting are also present.

Similarity:
Belongs to the lyase 1 family. Adenylosuccinate lyase subfamily.

SWISS:
P30566

Gene ID:
158

Database links:

Entrez Gene: 158 Human

Entrez Gene: 11564 Mouse

Entrez Gene: 315150 Rat

Omim: 608222 Human

SwissProt: P30566 Human

SwissProt: P54822 Mouse

Unigene: 75527 Human

Unigene: 38151 Mouse



产品图片
Sample: Lane 1: Stomach (Mouse) Lysate at 40 ug Lane 2: Spleen (Mouse) Lysate at 40 ug Lane 3: Jurkat (Human) Cell Lysate at 30 ug Lane 4: HL60 (Human) Cell Lysate at 30 ug Lane 5: 293T (Human) Cell Lysate at 30 ug Primary: Anti-Adenylosuccinate Lyase (bs-6352R) at 1/1000 dilution Secondary: IRDye800CW Goat Anti-Rabbit IgG at 1/20000 dilution Predicted band size: 55/48 kD Observed band size: 50 kD
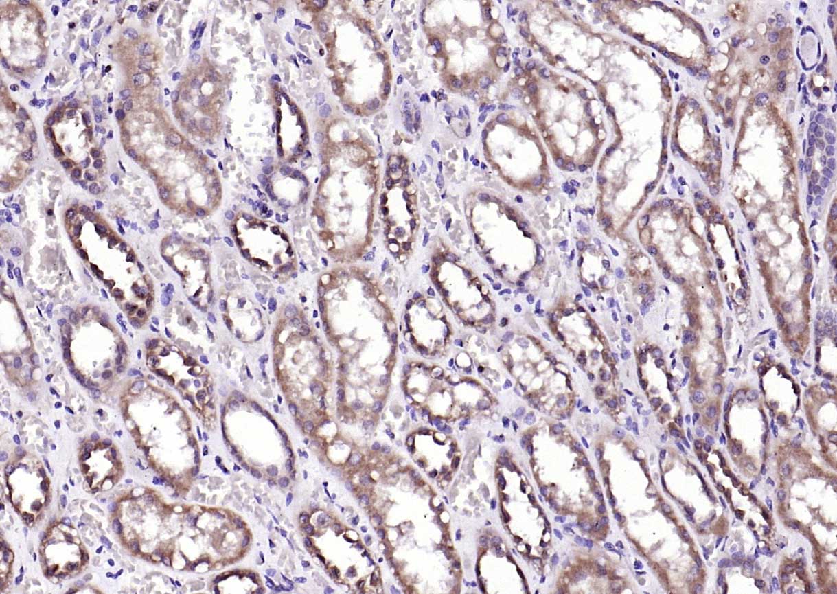
Paraformaldehyde-fixed, paraffin embedded (Human kidney); Antigen retrieval by boiling in sodium citrate buffer (pH6.0) for 15min; Block endogenous peroxidase by 3% hydrogen peroxide for 20 minutes; Blocking buffer (normal goat serum) at 37°C for 30min; Antibody incubation with (Adenylosuccinate Lyase) Polyclonal Antibody, Unconjugated (bs-6352R) at 1:200 overnight at 4°C, followed by operating according to SP Kit(Rabbit) (sp-0023) instructionsand DAB staining.
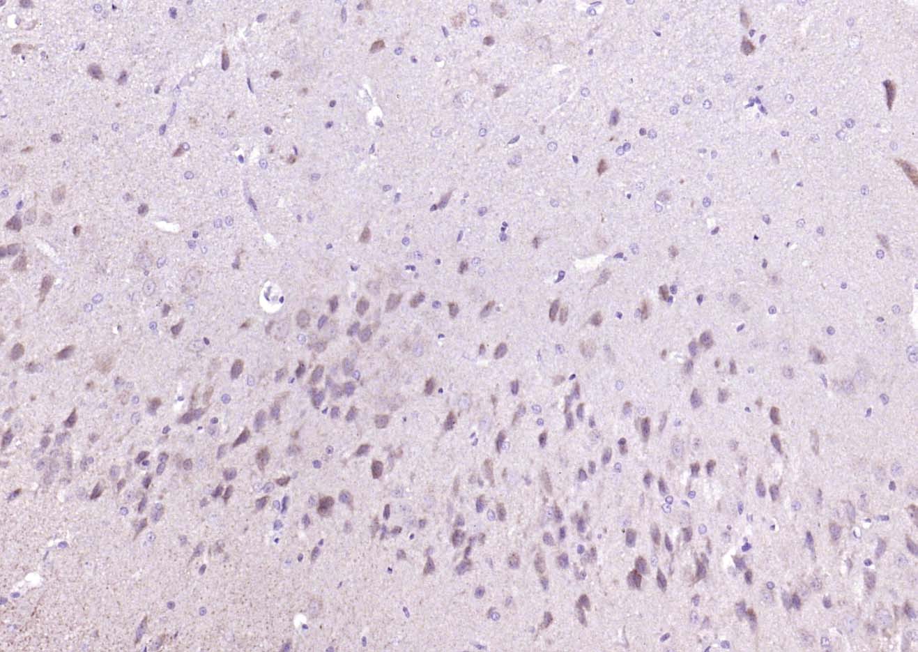
Paraformaldehyde-fixed, paraffin embedded (rat brain); Antigen retrieval by boiling in sodium citrate buffer (pH6.0) for 15min; Block endogenous peroxidase by 3% hydrogen peroxide for 20 minutes; Blocking buffer (normal goat serum) at 37°C for 30min; Antibody incubation with (Adenylosuccinate Lyase) Polyclonal Antibody, Unconjugated (bs-6352R) at 1:200 overnight at 4°C, followed by operating according to SP Kit(Rabbit) (sp-0023) instructionsand DAB staining.
Paraformaldehyde-fixed, paraffin embedded (mouse brain); Antigen retrieval by boiling in sodium citrate buffer (pH6.0) for 15min; Block endogenous peroxidase by 3% hydrogen peroxide for 20 minutes; Blocking buffer (normal goat serum) at 37°C for 30min; Antibody incubation with (Adenylosuccinate Lyase) Polyclonal Antibody, Unconjugated (bs-6352R) at 1:200 overnight at 4°C, followed by operating according to SP Kit(Rabbit) (sp-0023) instructionsand DAB staining.
版权所有 2004-2026 www.bioss.com.cn 北京博奥森生物技术有限公司
通过国际质量管理体系ISO 9001:2015 GB/T 19001-2016    证书编号: 00124Q34771R2M/1100
通过国际医疗器械-质量管理体系ISO 13485:2016 GB/T 42061-2022     证书编号: CQC24QY20047R0M/1100
京ICP备05066980号-1         京公网安备110107000727号