扫码关注公众号           扫码咨询技术支持           扫码咨询技术服务
  
客服热线:400-901-9800  客服QQ:4009019800  技术答疑  技术支持  质量反馈  人才招聘  关于我们  联系我们
产品中心-北京博奥森生物技术有限公司
首页 > 产品中心 > 一抗 > 产品信息
ILP2 Rabbit pAb (bs-6870R)  
订购热线:400-901-9800
订购邮箱:sales@bioss.com.cn
订购QQ:  400-901-9800
技术支持:techsupport@bioss.com.cn
50ul/1180.00元
100ul/1980.00元
200ul/2800.00元
大包装/询价

产品编号 bs-6870R
英文名称 ILP2 Rabbit pAb
中文名称 抑制细胞凋亡样蛋白2抗体
别    名 ILP-2; ILP2; RNF136; hILP2; BIRC8_HUMAN; BIRC8; Inhibitor of apoptosis-like protein 2 (IAP-like protein 2 | ILP-2); Testis-specific inhibitor of apoptosis;   
研究领域 细胞生物  信号转导  细胞凋亡  
抗体来源 Rabbit
克隆类型 Polyclonal
克 隆 号
交叉反应 Rat (predicted: Human,Mouse,Rabbit,Chicken)
产品应用 IHC-P=1:100-500,IHC-F=1:100-500,IF=1:100-500
not yet tested in other applications.
optimal dilutions/concentrations should be determined by the end user.
理论分子量 26 kDa
细胞定位 细胞核 细胞浆 
性    状 Liquid
浓    度 1mg/ml
免 疫 原 KLH conjugated synthetic peptide derived from human ILP2: 141-236/236 
亚    型 IgG
纯化方法 affinity purified by Protein A
缓 冲 液 0.01M TBS (pH7.4) with 1% BSA, 0.02% Proclin300 and 50% Glycerol.
保存条件 Shipped at 4℃. Store at -20℃ for one year. Avoid repeated freeze/thaw cycles.
注意事项 This product as supplied is intended for research use only, not for use in human, therapeutic or diagnostic applications.
PubMed PubMed
产品介绍 Protects against apoptosis mediated by BAX.Apoptosis, or programmed cell death, is related to many diseases, such as cancer. Apoptosis is triggered by a variety of stimuli including members in the TNF family and prevented by the inhibitor of apoptosis (IAP) proteins. IAP proteins form a conserved gene family including IAP, XIAP/ILP-1/MIHA, and Livin/KIAP that bind to and inhibits specific proteases. A novel member in the IAP protein family was recently identified and designated ILP-2 for IAP-like protein-2 (1). ILP-2 has high homology to ILP-1, but is encoded by a distinct gene that is solely expressed in testis of tested normal human tissues (1). ILP-2, unlike ILP-1, has no inhibitory effect on Fas and TNF induced apoptosis, but potently inhibits apoptosis induced by overexpression of Bax or by coexpression of caspase-9 with Apaf-1. ILP-2 interacts with the processed caspase-9. These results suggest that ILP-2 is a novel IAP family member with restricted specificity for caspase-9.

Function:
Protects against apoptosis mediated by BAX.

Subunit:
Binds to caspase-9.

Subcellular Location:
Cytoplasm (Probable).

Tissue Specificity:
Testis specific in normal tissues.

Similarity:
Belongs to the IAP family.
Contains 1 BIR repeat.
Contains 1 RING-type zinc finger.

SWISS:
Q96P09

Gene ID:
112401

Database links:

Entrez Gene: 112401 Human

SwissProt: Q96P09 Human

Unigene: 348263 Human



产品图片
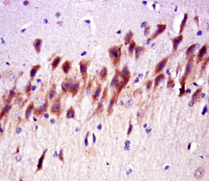
Paraformaldehyde-fixed, paraffin embedded (rat brain tissue); Antigen retrieval by boiling in sodium citrate buffer (pH6.0) for 15min; Block endogenous peroxidase by 3% hydrogen peroxide for 20 minutes; Blocking buffer (normal goat serum) at 37°C for 30min; Antibody incubation with (BIRC8) Polyclonal Antibody, Unconjugated (bs-6870R) at 1:400 overnight at 4°C, followed by a conjugated secondary (sp-0023) for 20 minutes and DAB staining.
版权所有 2004-2026 www.bioss.com.cn 北京博奥森生物技术有限公司
通过国际质量管理体系ISO 9001:2015 GB/T 19001-2016    证书编号: 00124Q34771R2M/1100
通过国际医疗器械-质量管理体系ISO 13485:2016 GB/T 42061-2022     证书编号: CQC24QY20047R0M/1100
京ICP备05066980号-1         京公网安备110107000727号