扫码关注公众号           扫码咨询技术支持           扫码咨询技术服务
  
客服热线:400-901-9800  客服QQ:4009019800  技术答疑  技术支持  质量反馈  关于我们  联系我们
产品中心-北京博奥森生物技术有限公司
首页 > 产品中心 > 一抗 > 产品信息
RERE Rabbit pAb (bs-7077R)  
订购热线:400-901-9800
订购邮箱:sales@bioss.com.cn
订购QQ:  400-901-9800
技术支持:techsupport@bioss.com.cn
50ul/1180.00元
100ul/1980.00元
200ul/2800.00元
大包装/询价

产品编号 bs-7077R
英文名称 RERE Rabbit pAb
中文名称 肌萎缩相关蛋白1抗体
别    名 ARG; arginine glutamic acid dipeptide(RE) repeats; arginine glutamic acid dipeptide repeats; Arginine glutamic acid dipeptide repeats protein; Arginine-glutamic acid dipeptide repeats protein; ARGININE-GLUTAMIC ACID REPEATS-ENCODING GENE; ARP; ATN1L; Atr2; atrophin 1 like; Atrophin 1 like protein; Atrophin 1 related protein; atrophin 2; atrophin related protein; ATROPHIN-1-ASSOCIATED PROTEIN; Atrophin-1-like protein; Atrophin-1-related protein; atrophin-2; ATROPHIN-RELATED PROTEIN; DNB1; Rere; RERE_HUMAN.  
研究领域 细胞生物  信号转导  细胞凋亡  转录调节因子  表观遗传学  
抗体来源 Rabbit
克隆类型 Polyclonal
克 隆 号
交叉反应 Human,Mouse (predicted: Rat,Cow,Chicken,Dog,Horse)
产品应用 IHC-P=1:100-500,IHC-F=1:100-500,IF=1:100-500
not yet tested in other applications.
optimal dilutions/concentrations should be determined by the end user.
理论分子量 172 kDa
检测分子量
细胞定位 细胞核 
性    状 Liquid
浓    度 1mg/ml
免 疫 原 KLH conjugated synthetic peptide derived from human RERE: 521-620/1566 
亚    型 IgG
纯化方法 affinity purified by Protein A
缓 冲 液 0.01M TBS (pH7.4) with 1% BSA, 0.02% Proclin300 and 50% Glycerol.
保存条件 Shipped at 4℃. Store at -20℃ for one year. Avoid repeated freeze/thaw cycles.
注意事项 This product as supplied is intended for research use only, not for use in human, therapeutic or diagnostic applications.
PubMed PubMed
产品介绍 FunctionPlays a role as a transcriptional repressor during development. May play a role in the control of cell survival. Overexpression of RERE recruits BAX to the nucleus particularly to POD and triggers caspase-3 activation, leading to cell death.

Function:
Plays a role as a transcriptional repressor during development. May play a role in the control of cell survival. Overexpression of RERE recruits BAX to the nucleus particularly to POD and triggers caspase-3 activation, leading to cell death.

Subunit:
Interacts with HDAC1 (By similarity). Interacts with ATN1. Interaction with ATN1 is improved when the poly-Gln region of ATN1 is extended. Interacts with FAT1.

Subcellular Location:
Nucleus. Note=Localized in nuclear bodies of variables size. Colocalized with PML and BAX in nuclear PODs.

Tissue Specificity:
Widely expressed. Expressed in tumor cell lines.

DISEASE:
Note=A chromosomal aberration involving RERE is found in the neuroblastoma cell line NGP. Translocation t(1;15)(p36.2;q24).

Similarity:
Contains 1 BAH domain.
Contains 1 ELM2 domain.
Contains 1 GATA-type zinc finger.
Contains 1 SANT domain.

SWISS:
Q9P2R6

Gene ID:
473

Database links:
UniProtKB/Swiss-Prot: Q9P2R6.2

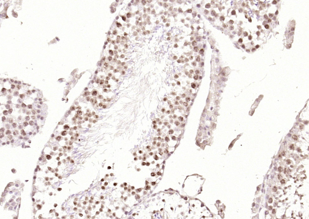
产品图片
Paraformaldehyde-fixed, paraffin embedded (mouse testis); Antigen retrieval by boiling in sodium citrate buffer (pH6.0) for 15min; Block endogenous peroxidase by 3% hydrogen peroxide for 20 minutes; Blocking buffer (normal goat serum) at 37°C for 30min; Antibody incubation with (RERE) Polyclonal Antibody, Unconjugated (bs-7077R) at 1:200 overnight at 4°C, followed by operating according to SP Kit(Rabbit) (sp-0023) instructionsand DAB staining.
Paraformaldehyde-fixed, paraffin embedded (human gastric carcinoma); Antigen retrieval by boiling in sodium citrate buffer (pH6.0) for 15min; Block endogenous peroxidase by 3% hydrogen peroxide for 20 minutes; Blocking buffer (normal goat serum) at 37°C for 30min; Antibody incubation with (RERE) Polyclonal Antibody, Unconjugated (bs-7077R) at 1:200 overnight at 4°C, followed by operating according to SP Kit(Rabbit) (sp-0023) instructionsand DAB staining.
版权所有 2004-2026 www.bioss.com.cn 北京博奥森生物技术有限公司
通过国际质量管理体系ISO 9001:2015 GB/T 19001-2016    证书编号: 00124Q34771R2M/1100
通过国际医疗器械-质量管理体系ISO 13485:2016 GB/T 42061-2022     证书编号: CQC24QY20047R0M/1100
京ICP备05066980号-1         京公网安备110107000727号