扫码关注公众号           扫码咨询技术支持           扫码咨询技术服务
  
客服热线:400-901-9800  客服QQ:4009019800  技术答疑  技术支持  质量反馈  人才招聘  关于我们  联系我们
产品中心-北京博奥森生物技术有限公司
首页 > 产品中心 > 一抗 > 产品信息
IL-4I1 Rabbit pAb (bs-6841R)  
订购热线:400-901-9800
订购邮箱:sales@bioss.com.cn
订购QQ:  400-901-9800
技术支持:techsupport@bioss.com.cn
50ul/1180.00元
100ul/1980.00元
200ul/2800.00元
大包装/询价

产品编号 bs-6841R
英文名称 IL-4I1 Rabbit pAb
中文名称 白细胞介素4诱导蛋白1抗体
别    名 FIG1; LAAO; LAO; hIL4I1; Fig1-ps; H-4; H-46; H4; H46; mIL4I1; Q1WMJ3_HUMAN; OXLA_HUMAN; IL4I1; Interleukin-4-induced protein 1 (IL4-induced protein 1 | hIL4I1); Protein Fig-1 (hFIG1); 1.4.3.2; 1.4.3.25; OXLA_MOUSE; Interleukin-4-induced protein 1 (IL4-ind  
研究领域 细胞生物  细胞凋亡  
抗体来源 Rabbit
克隆类型 Polyclonal
克 隆 号
交叉反应 Rat (predicted: Human,Mouse,Pig,Sheep,Dog)
产品应用 IHC-P=1:100-500,IHC-F=1:100-500,IF=1:100-500
not yet tested in other applications.
optimal dilutions/concentrations should be determined by the end user.
理论分子量 61 kDa
细胞定位 细胞浆 
性    状 Liquid
浓    度 1mg/ml
免 疫 原 KLH conjugated synthetic peptide derived from human IL-4I1: 51-160/567 
亚    型 IgG
纯化方法 affinity purified by Protein A
缓 冲 液 0.01M TBS (pH7.4) with 1% BSA, 0.02% Proclin300 and 50% Glycerol.
保存条件 Shipped at 4℃. Store at -20℃ for one year. Avoid repeated freeze/thaw cycles.
注意事项 This product as supplied is intended for research use only, not for use in human, therapeutic or diagnostic applications.
PubMed PubMed
产品介绍 This gene encodes a protein with limited similarity to L-amino acid oxidase which contains the conserved amino acids thought to be involved in catalysis and binding of flavin adenine dinucleotide (FAD) cofactor. The expression of this gene can be induced by interleukin 4 in B cells, however, expression of transcripts containing the first two exons of the upstream gene is found in other cell types. Multiple transcript variants encoding different isoforms have been found for this gene. [provided by RefSeq, Apr 2012].

Function:
Lysosomal L-amino-acid oxidase with highest specific activity with phenylalanine. May play a role in lysosomal antigen processing and presentation (By similarity).

Subcellular Location:
Isoform 1: Lysosome (By similarity).
Isoform 2: Lysosome (By similarity).

Tissue Specificity:
Isoform 1 is primarily found in immune tissues.

Similarity:
Belongs to the flavin monoamine oxidase family. FIG1 subfamily.

SWISS:
Q96RQ9

Gene ID:
259307

Database links:

Entrez Gene: 259307 Human

Entrez Gene: 14204 Mouse

Omim: 609742 Human

SwissProt: Q1WMJ3 Human

SwissProt: Q96RQ9 Human

SwissProt: O09046 Mouse

Unigene: 27567 Mouse



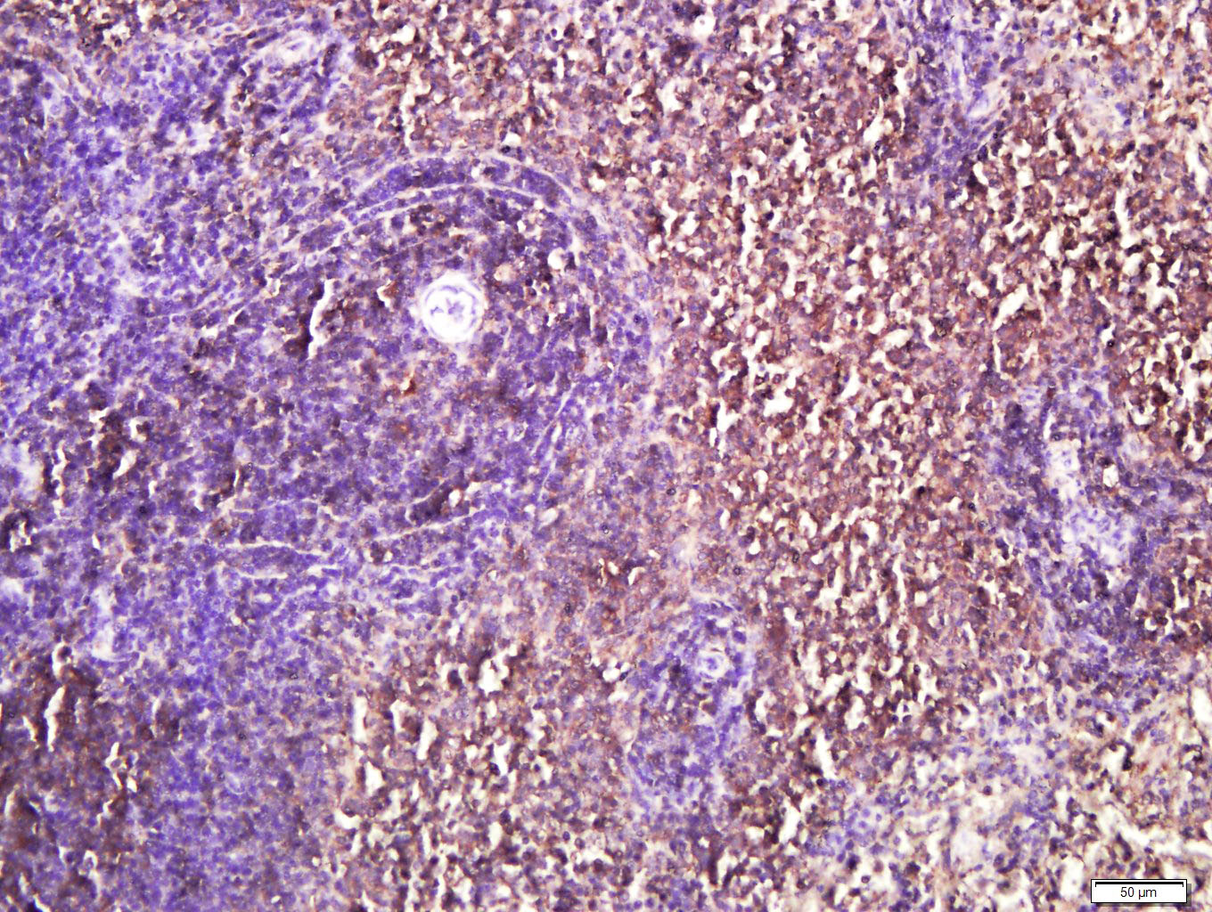
产品图片
Paraformaldehyde-fixed, paraffin embedded (rat spleen); Antigen retrieval by boiling in sodium citrate buffer (pH6.0) for 15min; Block endogenous peroxidase by 3% hydrogen peroxide for 20 minutes; Blocking buffer (normal goat serum) at 37°C for 30min; Antibody incubation with (IL-4I1) Polyclonal Antibody, Unconjugated (bs-6841R) at 1:400 overnight at 4°C, followed by a conjugated secondary (sp-0023) for 20 minutes and DAB staining.
版权所有 2004-2026 www.bioss.com.cn 北京博奥森生物技术有限公司
通过国际质量管理体系ISO 9001:2015 GB/T 19001-2016    证书编号: 00124Q34771R2M/1100
通过国际医疗器械-质量管理体系ISO 13485:2016 GB/T 42061-2022     证书编号: CQC24QY20047R0M/1100
京ICP备05066980号-1         京公网安备110107000727号