扫码关注公众号           扫码咨询技术支持           扫码咨询技术服务
  
客服热线:400-901-9800  客服QQ:4009019800  技术答疑  技术支持  质量反馈  关于我们  联系我们
产品中心-北京博奥森生物技术有限公司
首页 > 产品中心 > 一抗 > 产品信息
MIER2 Rabbit pAb (bs-6839R)  
订购热线:400-901-9800
订购邮箱:sales@bioss.com.cn
订购QQ:  400-901-9800
技术支持:techsupport@bioss.com.cn
50ul/1180.00元
100ul/1980.00元
200ul/2800.00元
大包装/询价

产品编号 bs-6839R
英文名称 MIER2 Rabbit pAb
中文名称 中胚层诱导早期反应蛋白2抗体
别    名 KIAA1193. mesoderm induction early response 1, family member 2; Mesoderm induction early response protein 2; Mi-er2; Mier2; MIER2_HUMAN.  
研究领域 细胞生物  转录调节因子  表观遗传学  
抗体来源 Rabbit
克隆类型 Polyclonal
克 隆 号
交叉反应 Mouse (predicted: Human,Rat,Pig,Sheep,Cow,Dog)
产品应用 WB=1:500-2000,IHC-P=1:100-500,IHC-F=1:100-500,IF=1:100-500
not yet tested in other applications.
optimal dilutions/concentrations should be determined by the end user.
理论分子量 60 kDa
检测分子量
细胞定位 细胞核 
性    状 Liquid
浓    度 1mg/ml
免 疫 原 manKLH conjugated synthetic peptide derived from human MIER2: 301-400/545 
亚    型 IgG
纯化方法 affinity purified by Protein A
缓 冲 液 0.01M TBS (pH7.4) with 1% BSA, 0.02% Proclin300 and 50% Glycerol.
保存条件 Shipped at 4℃. Store at -20℃ for one year. Avoid repeated freeze/thaw cycles.
注意事项 This product as supplied is intended for research use only, not for use in human, therapeutic or diagnostic applications.
PubMed PubMed
产品介绍 MIER2 is a 545 amino acid protein encoded by a gene that maps to human chromosome 19p13.3. Consisting of around 63 million bases with over 1,400 genes, chromosome 19 makes up over 2% of human genomic DNA. Chromosome 19 includes a diversity of interesting genes and is recognized for having the greatest gene density of the human chromosomes. It is the genetic home for a number of immunoglobulin superfamily members including the killer cell and leukocyte Ig-like receptors, a number of ICAMs, the CEACAM and PSG family, and Fc?receptors. Key genes for eye color and hair color also map to chromosome 19. Peutz-Jeghers syndrome, spinocerebellar ataxia type 6, the stroke disorder CADASIL, hypercholesterolemia and insulin-dependent diabetes have been linked to chromosome 19. Translocations with chromosome 19 and chromosome 14 can be seen in some lymphoproliferative disorders and typically involve the proto-oncogene BCL3.

Function:
Transcriptional repressor.

Subcellular Location:
Nucleus.

Similarity:
Contains 1 ELM2 domain.
Contains 1 SANT domain.

SWISS:
Q8N344

Gene ID:
54531

Database links:

Entrez Gene: 54531 Human

SwissProt: Q8N344 Human

Unigene: 101891 Human



产品图片
Sample: Ovary (Mouse) Lysate at 40 ug Primary: Anti-MIER2 (bs-6839R) at 1/500 dilution Secondary: IRDye800CW Goat Anti-Rabbit IgG at 1/20000 dilution Predicted band size: 60 kD Observed band size: 60 kD
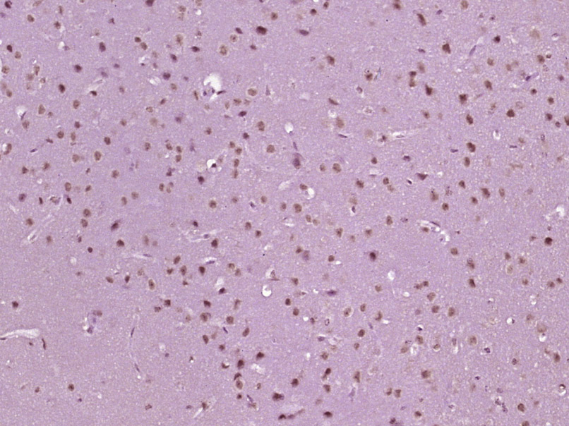
Paraformaldehyde-fixed, paraffin embedded (Mouse brain); Antigen retrieval by boiling in sodium citrate buffer (pH6.0) for 15min; Block endogenous peroxidase by 3% hydrogen peroxide for 20 minutes; Blocking buffer (normal goat serum) at 37°C for 30min; Antibody incubation with (MIER2) Polyclonal Antibody, Unconjugated (bs-6839R) at 1:400 overnight at 4°C, followed by operating according to SP Kit(Rabbit) (sp-0023) instructionsand DAB staining.
版权所有 2004-2026 www.bioss.com.cn 北京博奥森生物技术有限公司
通过国际质量管理体系ISO 9001:2015 GB/T 19001-2016    证书编号: 00124Q34771R2M/1100
通过国际医疗器械-质量管理体系ISO 13485:2016 GB/T 42061-2022     证书编号: CQC24QY20047R0M/1100
京ICP备05066980号-1         京公网安备110107000727号