扫码关注公众号           扫码咨询技术支持           扫码咨询技术服务
  
客服热线:400-901-9800  客服QQ:4009019800  技术答疑  技术支持  质量反馈  人才招聘  关于我们  联系我们
产品中心-北京博奥森生物技术有限公司
首页 > 产品中心 > 一抗 > 产品信息
DEDD2 Rabbit pAb (bs-7063R)  
订购热线:400-901-9800
订购邮箱:sales@bioss.com.cn
订购QQ:  400-901-9800
技术支持:techsupport@bioss.com.cn
50ul/1180.00元
100ul/1980.00元
200ul/2800.00元
大包装/询价

产品编号 bs-7063R
英文名称 DEDD2 Rabbit pAb
中文名称 死亡效应结构域蛋白2抗体
别    名 FLAME-3; FLAME3; 2410050E11Rik; DEDD2_HUMAN; DEDD2; DED-containing protein FLAME-3; FADD-like anti-apoptotic molecule 3; DEDD2_MOUSE;   
研究领域 细胞生物  细胞凋亡  
抗体来源 Rabbit
克隆类型 Polyclonal
克 隆 号
交叉反应 Rat (predicted: Human,Mouse,Rabbit,Pig,Sheep,Cow,Dog,Horse)
产品应用 IHC-P=1:100-500,IHC-F=1:100-500,IF=1:100-500
not yet tested in other applications.
optimal dilutions/concentrations should be determined by the end user.
理论分子量 36 kDa
细胞定位 细胞核 
性    状 Liquid
浓    度 1mg/ml
免 疫 原 KLH conjugated synthetic peptide derived from human DEDD2: 201-300/326 
亚    型 IgG
纯化方法 affinity purified by Protein A
缓 冲 液 0.01M TBS (pH7.4) with 1% BSA, 0.02% Proclin300 and 50% Glycerol.
保存条件 Shipped at 4℃. Store at -20℃ for one year. Avoid repeated freeze/thaw cycles.
注意事项 This product as supplied is intended for research use only, not for use in human, therapeutic or diagnostic applications.
PubMed PubMed
产品介绍 Apoptotic signals are often triggered by cell surface death receptors through protein-protein interactions mediated by conserved domains such as the death effector domain. A novel death effector domain (DED)-containing protein, DEDD2, has been recently identified. Over-expression of DEDD2 in transfected cells induces moderate apoptosis and results in substantial sensitization to apoptosis induced by Fas, TRAIL, and FADD. More recently, it has been shown that DEDD2 can bind caspase-8 and -10 in addition to FLIP but not FADD. Like the related protein DEDD, DEDD2 translocates from the cytosol to the nucleus upon induction of apoptosis, and it has been suggested that DEDD2 may target caspase-8 to the nucleus and that DEDD2 thus plays a critical role in death receptor-induced apoptosis. At least two alternatively spliced transcript variants encoding distinct isoforms have been found for DEDD2.

Function:
May play a critical role in death receptor-induced apoptosis and may target CASP8 and CASP10 to the nucleus. May regulate degradation of intermediate filaments during apoptosis. May play a role in the general transcription machinery in the nucleus and might be an important regulator of the activity of GTF3C3.

Subunit:
Interacts with CASP8, CASP10 and GTF3C3. Homodimerizes and heterodimerizes with DEDD.

Subcellular Location:
Nucleus, nucleolus. Note=Nuclear, accumulated in subnuclear structures resembling nucleoli.

Tissue Specificity:
Expressed in most tissues. High levels were found in liver, kidney, heart, ovary, spleen, testes, skeletal muscle and peripheral blood leukocytes. Expression was absent or low in colon and small intestine. Expression is relatively high in the tumor cell lines chronic myologenous leukemia K-562 and the colorectal adenocarcinoma SW480. Expression is moderate in the cervical carcinoma HeLa, the Burkitt's lymphoma Raji, the lung carcinoma A-549, and the melanoma G-361. In contrast, two leukemia cell lines, HL-60 (promyelocytic leukemia) and MOLT-4 (lymphoblastic leukemia), show relatively low levels.

Similarity:
Contains 1 DED (death effector) domain.

SWISS:
Q8WXF8

Gene ID:
162989

Database links:

Entrez Gene: 162989 Human

Entrez Gene: 67379 Mouse

Entrez Gene: 687118 Rat

Omim: 606841 Human

SwissProt: Q8WXF8 Human

SwissProt: Q8QZV0 Mouse

Unigene: 515432 Human

Unigene: 280594 Mouse



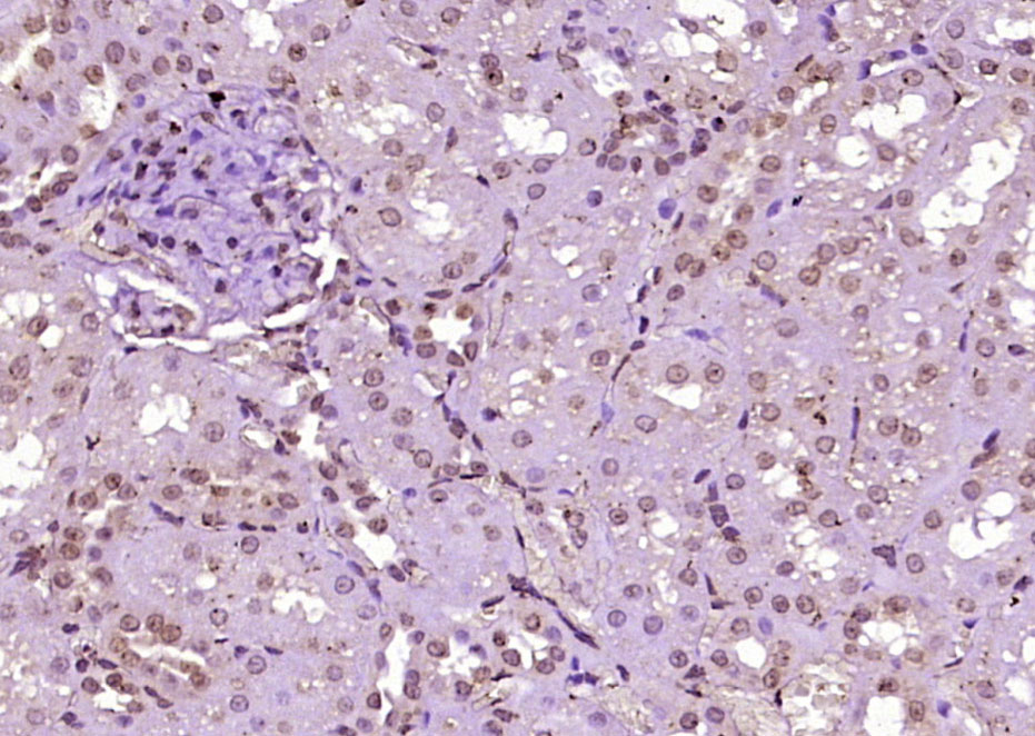
产品图片
Paraformaldehyde-fixed, paraffin embedded (rat kidney tissue); Antigen retrieval by boiling in sodium citrate buffer (pH6.0) for 15min; Block endogenous peroxidase by 3% hydrogen peroxide for 20 minutes; Blocking buffer (normal goat serum) at 37°C for 30min; Antibody incubation with (DEDD2) Polyclonal Antibody, Unconjugated (bs-7063R) at 1:400 overnight at 4°C, followed by operating according to SP Kit(Rabbit) (sp-0023) instructionsand DAB staining.
版权所有 2004-2026 www.bioss.com.cn 北京博奥森生物技术有限公司
通过国际质量管理体系ISO 9001:2015 GB/T 19001-2016    证书编号: 00124Q34771R2M/1100
通过国际医疗器械-质量管理体系ISO 13485:2016 GB/T 42061-2022     证书编号: CQC24QY20047R0M/1100
京ICP备05066980号-1         京公网安备110107000727号