扫码关注公众号           扫码咨询技术支持           扫码咨询技术服务
  
客服热线:400-901-9800  客服QQ:4009019800  技术答疑  技术支持  质量反馈  关于我们  联系我们
产品中心-北京博奥森生物技术有限公司
首页 > 产品中心 > 一抗 > 产品信息
DEDD1 Rabbit pAb (bs-7062R)  
订购热线:400-901-9800
订购邮箱:sales@bioss.com.cn
订购QQ:  400-901-9800
技术支持:techsupport@bioss.com.cn
50ul/1180.00元
100ul/1980.00元
200ul/2800.00元
大包装/询价

产品编号 bs-7062R
英文名称 DEDD1 Rabbit pAb
中文名称 死亡效应结构域蛋白1抗体
别    名 CASP8IP1; DEDD1; DEDPro1; DEFT; FLDED-1; FLDED1; KE05; DEDD_HUMAN; DEDD; Death effector domain-containing testicular molecule; DEDD_MOUSE; DEDD_RAT;   
研究领域 肿瘤  细胞生物  细胞凋亡  
抗体来源 Rabbit
克隆类型 Polyclonal
克 隆 号
交叉反应 Human,Rat (predicted: Mouse,Pig,Cow,Chicken)
产品应用 WB=1:500-2000,IHC-P=1:100-500,IHC-F=1:100-500,IF=1:100-500
not yet tested in other applications.
optimal dilutions/concentrations should be determined by the end user.
理论分子量 35 kDa
细胞定位 细胞核 细胞浆 
性    状 Liquid
浓    度 1mg/ml
免 疫 原 KLH conjugated synthetic peptide derived from human DEDD1: 151-250/318 
亚    型 IgG
纯化方法 affinity purified by Protein A
缓 冲 液 0.01M TBS (pH7.4) with 1% BSA, 0.02% Proclin300 and 50% Glycerol.
保存条件 Shipped at 4℃. Store at -20℃ for one year. Avoid repeated freeze/thaw cycles.
注意事项 This product as supplied is intended for research use only, not for use in human, therapeutic or diagnostic applications.
PubMed PubMed
产品介绍 This gene encodes a protein that contains a death effector domain (DED). DED is a protein-protein interaction domain shared by adaptors, regulators and executors of the programmed cell death pathway. Overexpression of this gene was shown to induce weak apoptosis. Upon stimulation, this protein was found to translocate from cytoplasm to nucleus and colocalize with UBTF, a basal factor required for RNA polymerase I transcription, in the nucleolus. At least three transcript variants encoding the same protein have been found for this gene.

Function:
A scaffold protein that directs CASP3 to certain substrates and facilitates their ordered degradation during apoptosis. May also play a role in mediating CASP3 cleavage of KRT18. Regulates degradation of intermediate filaments during apoptosis. May play a role in the general transcription machinery in the nucleus and might be an important regulator of the activity of GTF3C3. Inhibits DNA transcription in vitro.

Subunit:
Interacts with CASP8, CASP10, KRT8, KRT18, CASP3 and FADD. Homodimerizes and heterodimerizes with DEDD2.

Subcellular Location:
Cytoplasm. Nucleus, nucleolus.

Tissue Specificity:
Widely expressed with highest levels in testis.

Post-translational modifications:
Exists predominantly in a mono- or diubiquitinated form.

Similarity:
Contains 1 DED (death effector) domain.

SWISS:
O75618

Gene ID:
9191

Database links:

Entrez Gene: 9191 Human

Entrez Gene: 21945 Mouse

Entrez Gene: 83631 Rat

Omim: 606841 Human

SwissProt: O75618 Human

SwissProt: Q9Z1L3 Mouse

SwissProt: Q9Z2K0 Rat

Unigene: 146406 Human

Unigene: 270139 Mouse

Unigene: 203286 Rat



产品图片
Sample: Molt-4(Human) Cell Lysate at 30 ug Primary: Anti- DEDD1 (bs-7062R) at 1/1000 dilution Secondary: IRDye800CW Goat Anti-Rabbit IgG at 1/20000 dilution Predicted band size: 35 kD Observed band size: 35 kD
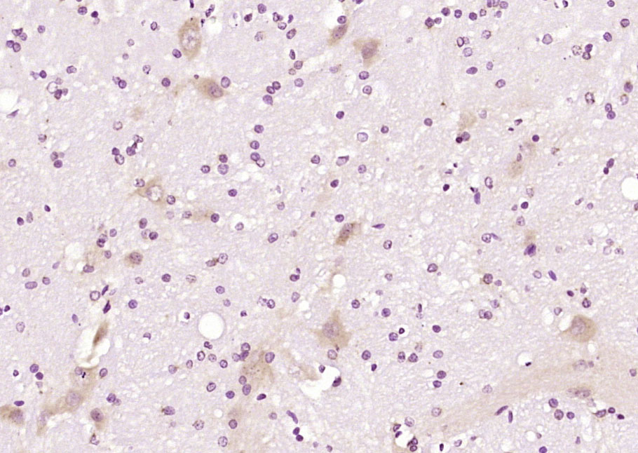
Paraformaldehyde-fixed, paraffin embedded (rat brain); Antigen retrieval by boiling in sodium citrate buffer (pH6.0) for 15min; Block endogenous peroxidase by 3% hydrogen peroxide for 20 minutes; Blocking buffer (normal goat serum) at 37°C for 30min; Antibody incubation with (DEDD1) Polyclonal Antibody, Unconjugated (bs-7062R) at 1:200 overnight at 4°C, followed by operating according to SP Kit(Rabbit) (sp-0023) instructionsand DAB staining.
版权所有 2004-2026 www.bioss.com.cn 北京博奥森生物技术有限公司
通过国际质量管理体系ISO 9001:2015 GB/T 19001-2016    证书编号: 00124Q34771R2M/1100
通过国际医疗器械-质量管理体系ISO 13485:2016 GB/T 42061-2022     证书编号: CQC24QY20047R0M/1100
京ICP备05066980号-1         京公网安备110107000727号