扫码关注公众号           扫码咨询技术支持           扫码咨询技术服务
  
客服热线:400-901-9800  客服QQ:4009019800  技术答疑  技术支持  质量反馈  关于我们  联系我们
产品中心-北京博奥森生物技术有限公司
首页 > 产品中心 > 一抗 > 产品信息
APPD Rabbit pAb (bs-6793R)  
订购热线:400-901-9800
订购邮箱:sales@bioss.com.cn
订购QQ:  400-901-9800
技术支持:techsupport@bioss.com.cn
50ul/1180.00元
100ul/1980.00元
200ul/2800.00元
大包装/询价

产品编号 bs-6793R
英文名称 APPD Rabbit pAb
中文名称 凋亡诱导蛋白D抗体
别    名 APPD; LAPF; PHAFIN1; ZFYVE15; 1810013P09Rik; PKHF1_HUMAN; PLEKHF1; PH domain-containing family F member 1; Lysosome-associated apoptosis-inducing protein containing PH and FYVE domains (Apoptosis-inducing protein); PH and FYVE domain-containing protein 1;  
研究领域 细胞生物  细胞凋亡  
抗体来源 Rabbit
克隆类型 Polyclonal
克 隆 号
交叉反应 Mouse,Rat (predicted: Human,Rabbit,Pig,Sheep,Cow,Dog)
产品应用 IHC-P=1:100-500,IHC-F=1:100-500,IF=1:100-500
not yet tested in other applications.
optimal dilutions/concentrations should be determined by the end user.
理论分子量 31 kDa
细胞定位 细胞核 细胞浆 
性    状 Liquid
浓    度 1mg/ml
免 疫 原 KLH conjugated synthetic peptide derived from human APPD/LAPF: 75-124/279 
亚    型 IgG
纯化方法 affinity purified by Protein A
缓 冲 液 0.01M TBS (pH7.4) with 1% BSA, 0.02% Proclin300 and 50% Glycerol.
保存条件 Shipped at 4℃. Store at -20℃ for one year. Avoid repeated freeze/thaw cycles.
注意事项 This product as supplied is intended for research use only, not for use in human, therapeutic or diagnostic applications.
PubMed PubMed
产品介绍 APPD is a lysosome-associated apoptosis-inducing protein containing the pleckstrin homology (PH) and FYVE domains (LAPF). It is a representative of a novel family of PH and FYVE domain-containing proteins and induces caspase-independent apoptosis via the lysosomal-mitochondrial pathway. Cellular localization: Nucleus. Cytoplasm, perinuclear region. Lysosome. Note=Translocates to lysosome during apoptosis.

Function:
May induce apoptosis through the lysosomal-mitochondrial pathway. Translocates to the lysosome initiating the permeabilization of lysosomal membrane (LMP) and resulting in the release of CTSD and CTSL to the cytoplasm. Triggers the caspase-independent apoptosis by altering mitochondrial membrane permeabilization (MMP) resulting in the release of PDCD8.

Subcellular Location:
Nucleus. Cytoplasm, perinuclear region. Lysosome. Note=Translocates to lysosome during apoptosis.

Tissue Specificity:
Highly expressed in heart and skeletal muscle. Weakly expressed in brain, thymus, spleen, kidney, liver, small intestine, placenta and lung.

Similarity:
Contains 1 FYVE-type zinc finger.
Contains 1 PH domain.

SWISS:
Q96S99

Gene ID:
79156

Database links:

Entrez Gene: 79156 Human

Entrez Gene: 72287 Mouse

Entrez Gene: 308543 Rat

SwissProt: Q96S99 Human

SwissProt: Q3TB82 Mouse

SwissProt: Q68FU1 Rat

Unigene: 466383 Human

Unigene: 58389 Human

Unigene: 333798 Mouse

Unigene: 9380 Rat



产品图片
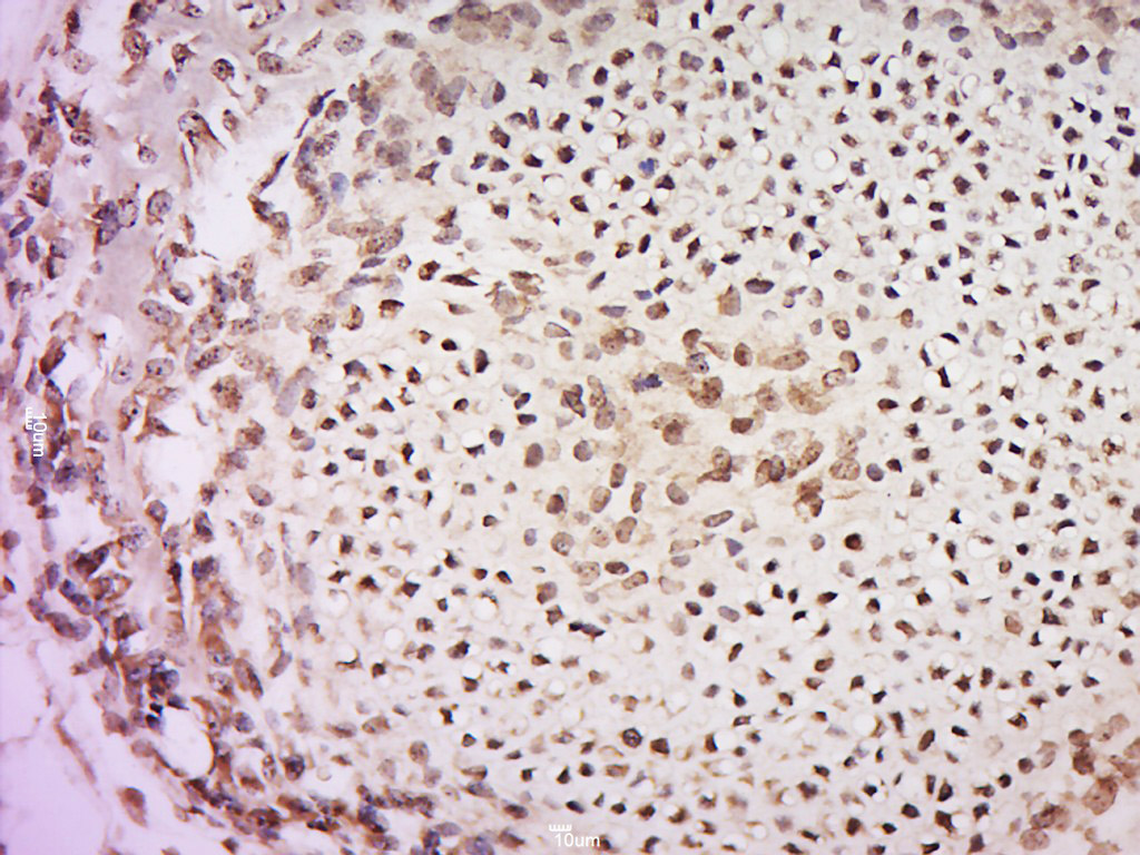
Tissue/cell: Mouse embryo tissue; 4% Paraformaldehyde-fixed and paraffin-embedded; Antigen retrieval: citrate buffer ( 0.01M, pH 6.0 ), Boiling bathing for 15min; Block endogenous peroxidase by 3% Hydrogen peroxide for 30min; Blocking buffer (normal goat serum,C-0005) at 37℃ for 20 min; Incubation: Anti-APPD Polyclonal Antibody, Unconjugated(bs-6793R) 1:500, overnight at 4°C, followed by conjugation to the secondary antibody(SP-0023) and DAB(C-0010) staining
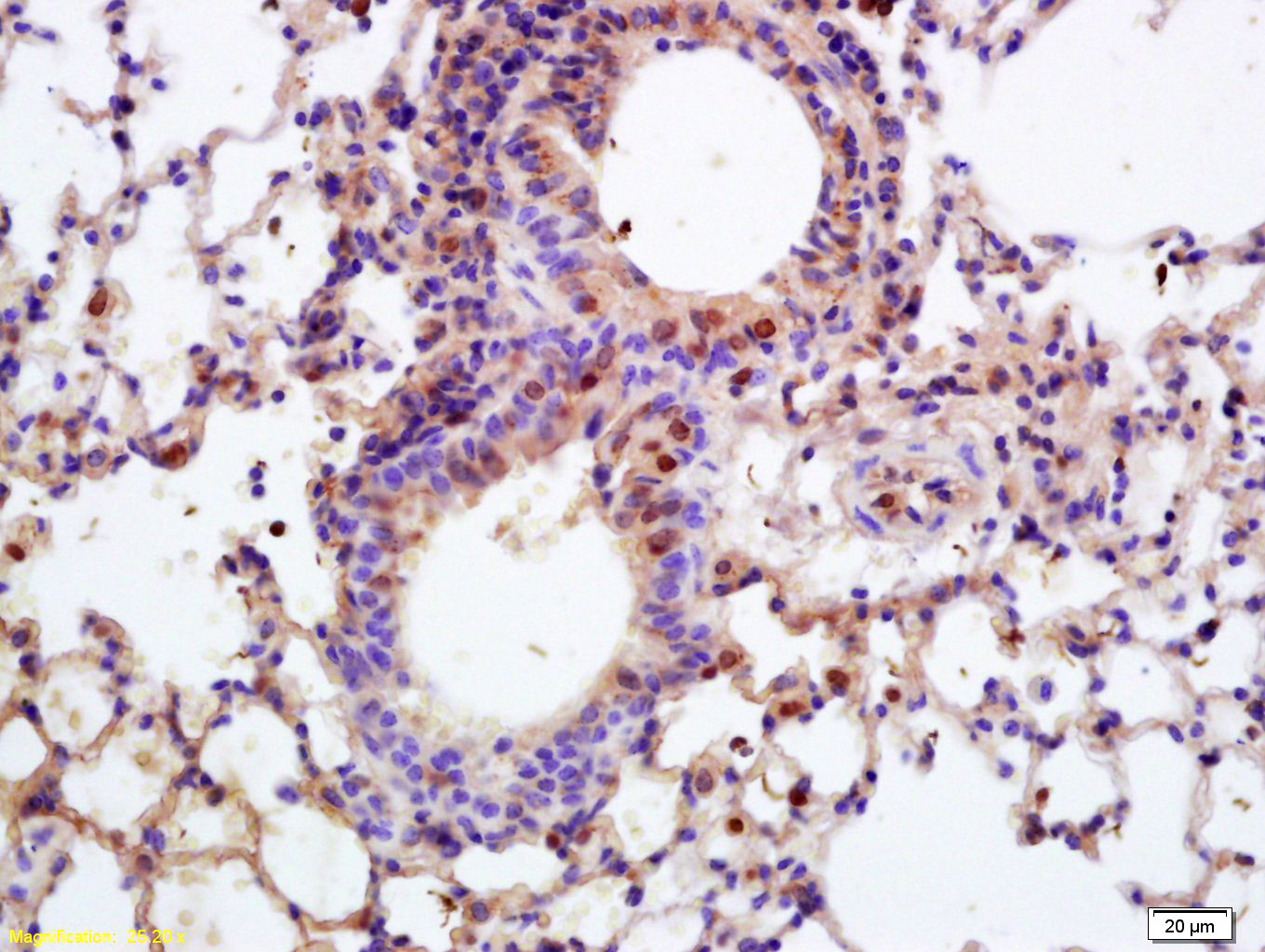
Tissue/cell: rat lung tissue; 4% Paraformaldehyde-fixed and paraffin-embedded; Antigen retrieval: citrate buffer ( 0.01M, pH 6.0 ), Boiling bathing for 15min; Block endogenous peroxidase by 3% Hydrogen peroxide for 30min; Blocking buffer (normal goat serum,C-0005) at 37℃ for 20 min; Incubation: Anti-APPD Polyclonal Antibody, Unconjugated(bs-6793R) 1:200, overnight at 4°C, followed by conjugation to the secondary antibody(SP-0023) and DAB(C-0010) staining
版权所有 2004-2026 www.bioss.com.cn 北京博奥森生物技术有限公司
通过国际质量管理体系ISO 9001:2015 GB/T 19001-2016    证书编号: 00124Q34771R2M/1100
通过国际医疗器械-质量管理体系ISO 13485:2016 GB/T 42061-2022     证书编号: CQC24QY20047R0M/1100
京ICP备05066980号-1         京公网安备110107000727号