扫码关注公众号           扫码咨询技术支持           扫码咨询技术服务
  
客服热线:400-901-9800  客服QQ:4009019800  技术答疑  技术支持  质量反馈  人才招聘  关于我们  联系我们
产品中心-北京博奥森生物技术有限公司
首页 > 产品中心 > 一抗 > 产品信息
E1 Ubiquitin Activating Enzyme Rabbit pAb (bs-6835R)  
订购热线:400-901-9800
订购邮箱:sales@bioss.com.cn
订购QQ:  400-901-9800
技术支持:techsupport@bioss.com.cn
50ul/1180.00元
100ul/1980.00元
200ul/2800.00元
大包装/询价

产品编号 bs-6835R
英文名称 E1 Ubiquitin Activating Enzyme Rabbit pAb
中文名称 泛素激活酶E1抗体
别    名 A1S9; A1S9T; A1ST; AMCX1; CFAP124; GXP1; POC20; SMAX2; UBA1A; UBE1; UBE1X; VEXAS; Sbx; Ube-1; UBA1_HUMAN; UBA1; Protein A1S9; Ubiquitin-activating enzyme E1; 6.2.1.45; UBA1_MOUSE; Ubiquitin-activating enzyme E1 X; Ubiquitin-like modifier-activating enzyme 1 X; Ube1ax; UBA1_RAT; ubiquitin like modifier activating enzyme 1; ubiquitin-activating enzyme E1 (A1S9T and BN75 temperature sensitivity complementing); ubiquitin-like modifier activating enzyme 1; UBA1, ubiquitin-activating enzyme E1 homolog (yeast); POC20 centriolar protein homolog (Chlamydomonas)  
研究领域 细胞生物  神经生物学  信号转导  表观遗传学  
抗体来源 Rabbit
克隆类型 Polyclonal
交叉反应 Human,Rat (predicted: Mouse)
产品应用 IHC-P=1:100-500,IHC-F=1:100-500,IF=1:100-500
not yet tested in other applications.
optimal dilutions/concentrations should be determined by the end user.
理论分子量 118kDa
细胞定位 细胞核 细胞浆 
性    状 Liquid
浓    度 1mg/ml
免 疫 原 KLH conjugated synthetic peptide derived from human UBE1: 961-1058/1058 
亚    型 IgG
纯化方法 affinity purified by Protein A
缓 冲 液 0.01M TBS (pH7.4) with 1% BSA, 0.02% Proclin300 and 50% Glycerol.
保存条件 Shipped at 4℃. Store at -20℃ for one year. Avoid repeated freeze/thaw cycles.
注意事项 This product as supplied is intended for research use only, not for use in human, therapeutic or diagnostic applications.
PubMed PubMed
产品介绍 The protein encoded by this gene catalyzes the first step in ubiquitin conjugation to mark cellular proteins for degradation. This gene complements an X-linked mouse temperature-sensitive defect in DNA synthesis, and thus may function in DNA repair. It is part of a gene cluster on chromosome Xp11.23. Alternatively spliced transcript variants that encode the same protein have been described. [provided by RefSeq, Jul 2008].

Function:
Activates ubiquitin by first adenylating its C-terminal glycine residue with ATP, and thereafter linking this residue to the side chain of a cysteine residue in E1, yielding an ubiquitin-E1 thioester and free AMP.

Subunit:
Monomer (By similarity). Interacts with GAN (via BTB domain).

Post-translational modifications:
ISGylated.

DISEASE:
Defects in UBA1 are the cause of spinal muscular atrophy X-linked type 2 (SMAX2) [MIM:301830]; also known as X-linked lethal infantile spinal muscular atrophy, distal X-linked arthrogryposis multiplex congenita or X-linked arthrogryposis type 1 (AMCX1). Spinal muscular atrophy refers to a group of neuromuscular disorders characterized by degeneration of the anterior horn cells of the spinal cord, leading to symmetrical muscle weakness and atrophy. SMAX2 is a lethal infantile form presenting with hypotonia, areflexia, and multiple congenital contractures.

Similarity:
Belongs to the ubiquitin-activating E1 family.

SWISS:
P22314

Gene ID:
7317

Database links:

Entrez Gene: 7317 Human

Entrez Gene: 22201 Mouse

Entrez Gene: 314432 Rat

Omim: 314370 Human

SwissProt: P22314 Human

SwissProt: Q02053 Mouse

SwissProt: Q5U300 Rat

Unigene: 533273 Human

Unigene: 1104 Mouse

Unigene: 474674 Mouse

Unigene: 11800 Rat



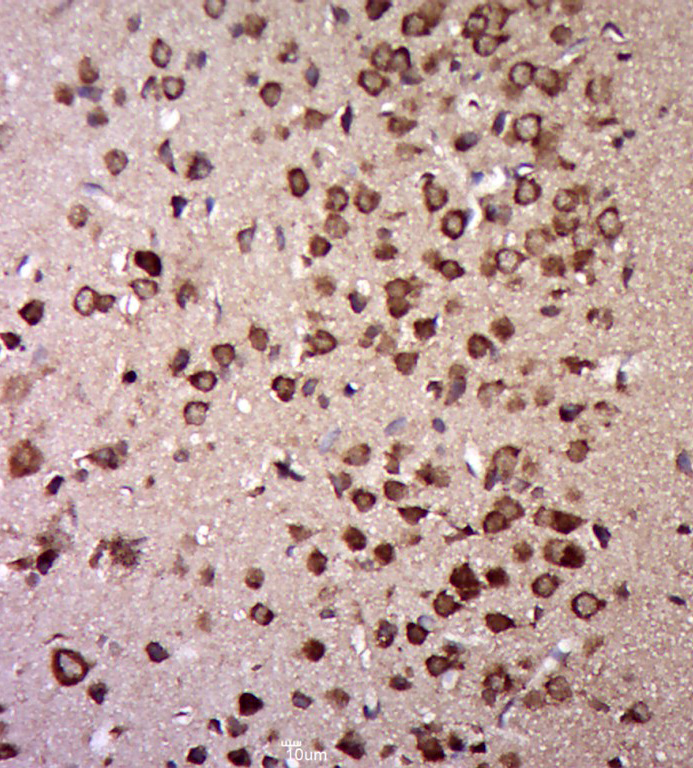
产品图片
Paraformaldehyde-fixed, paraffin embedded (Rat brain); Antigen retrieval by boiling in sodium citrate buffer (pH6.0) for 15min; Block endogenous peroxidase by 3% hydrogen peroxide for 20 minutes; Blocking buffer (normal goat serum) at 37°C for 30min; Antibody incubation with (E1 Ubiquitin Activating Enzyme) Polyclonal Antibody, Unconjugated (bs-6835R) at 1:400 overnight at 4°C, followed by a conjugated secondary (sp-0023) for 20 minutes and DAB staining.
版权所有 2004-2026 www.bioss.com.cn 北京博奥森生物技术有限公司
通过国际质量管理体系ISO 9001:2015 GB/T 19001-2016    证书编号: 00124Q34771R2M/1100
通过国际医疗器械-质量管理体系ISO 13485:2016 GB/T 42061-2022     证书编号: CQC24QY20047R0M/1100
京ICP备05066980号-1         京公网安备110107000727号