扫码关注公众号           扫码咨询技术支持           扫码咨询技术服务
  
客服热线:400-901-9800  客服QQ:4009019800  技术答疑  技术支持  质量反馈  关于我们  联系我们
产品中心-北京博奥森生物技术有限公司
首页 > 产品中心 > 一抗 > 产品信息
FAIM3 Rabbit pAb (bs-7527R)  
订购热线:400-901-9800
订购邮箱:sales@bioss.com.cn
订购QQ:  400-901-9800
技术支持:techsupport@bioss.com.cn
50ul/1180.00元
100ul/1980.00元
200ul/2800.00元
大包装/询价

产品编号 bs-7527R
英文名称 FAIM3 Rabbit pAb
中文名称 FAS凋亡抑制分子3抗体
别    名 FAIM3; FcmuR; IgM FcR; TOSO; FCMR_HUMAN; FCMR; Fas apoptotic inhibitory molecule 3 (FAIM3); Regulator of Fas-induced apoptosis Toso;   
研究领域 细胞生物  信号转导  细胞凋亡  
抗体来源 Rabbit
克隆类型 Polyclonal
克 隆 号
交叉反应 Human,Mouse
产品应用 WB=1:500-2000,IHC-P=1:100-500,IHC-F=1:100-500,IF=1:100-500
not yet tested in other applications.
optimal dilutions/concentrations should be determined by the end user.
理论分子量 41 kDa
细胞定位 细胞膜 分泌型蛋白 
性    状 Liquid
浓    度 1mg/ml
免 疫 原 KLH conjugated synthetic peptide derived from human FAIM3: 61-160/390 <Extracellular>
亚    型 IgG
纯化方法 affinity purified by Protein A
缓 冲 液 0.01M TBS (pH7.4) with 1% BSA, 0.02% Proclin300 and 50% Glycerol.
保存条件 Shipped at 4℃. Store at -20℃ for one year. Avoid repeated freeze/thaw cycles.
注意事项 This product as supplied is intended for research use only, not for use in human, therapeutic or diagnostic applications.
PubMed PubMed
产品介绍 The oncogene BCL2 is a membrane protein that blocks a step in a pathway leading to apoptosis or programmed cell death. The protein encoded by this May play a role in the immune system processes. Protects cells from FAS-, TNF alpha- and FADD-induced apoptosis without increasing expression of the inhibitors of apoptosis BCL2 and BCLXL. Seems to activate an inhibitory pathway that prevents CASP8 activation following FAS stimulation, rather than blocking apoptotic signals downstream. May inhibit FAS-induced apoptosis by preventing CASP8 processing through CFLAR up-regulation.

Function:
May play a role in the immune system processes. Protects cells from FAS-, TNF alpha- and FADD-induced apoptosis without increasing expression of the inhibitors of apoptosis BCL2 and BCLXL. Seems to activate an inhibitory pathway that prevents CASP8 activation following FAS stimulation, rather than blocking apoptotic signals downstream. May inhibit FAS-induced apoptosis by preventing CASP8 processing through CFLAR up-regulation.

Subcellular Location:
Isoform 1: Membrane; Single-pass membrane protein.
Isoform 3: Secreted. Note=Detected in the serum.

Tissue Specificity:
Expressed in lymph nodes, peripheral blood leukocytes, lung, thymus and kidneys. Very weak expression detected in spleen, liver, heart, and salivary gland. Expressed in lymphoid cell lines such as Jurkat, CEM-T4, MOLT-4, HB11;19 and Reh. No expression detected in nonhematopoietic cell lines including Hep-G2, HEK293 and HeLa. Detected at high levels in chronic lymphocytic leukemia cells.

Similarity:
Contains 1 Ig-like (immunoglobulin-like) domain.

SWISS:
O60667

Gene ID:
9214

Database links:

Entrez Gene: 9214 Human

Omim: 606015 Human

SwissProt: O60667 Human

Unigene: 58831 Human

Unigene: 728324 Human



产品图片
Sample: Lymph node (Mouse) Lysate at 40 ug Primary: Anti- FAIM3 (bs-7527R) at 1/1000 dilution Secondary: IRDye800CW Goat Anti-Rabbit IgG at 1/20000 dilution Predicted band size: 41 kD Observed band size: 41 kD
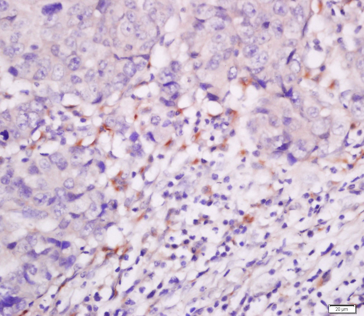
Paraformaldehyde-fixed, paraffin embedded (human colon carcinoma); Antigen retrieval by boiling in sodium citrate buffer (pH6.0) for 15min; Block endogenous peroxidase by 3% hydrogen peroxide for 20 minutes; Blocking buffer (normal goat serum) at 37°C for 30min; Antibody incubation with (FAIM3) Polyclonal Antibody, Unconjugated (bs-7527R) at 1:400 overnight at 4°C, followed by a conjugated secondary (sp-0023) for 20 minutes and DAB staining.
版权所有 2004-2026 www.bioss.com.cn 北京博奥森生物技术有限公司
通过国际质量管理体系ISO 9001:2015 GB/T 19001-2016    证书编号: 00124Q34771R2M/1100
通过国际医疗器械-质量管理体系ISO 13485:2016 GB/T 42061-2022     证书编号: CQC24QY20047R0M/1100
京ICP备05066980号-1         京公网安备110107000727号