扫码关注公众号           扫码咨询技术支持           扫码咨询技术服务
  
客服热线:400-901-9800  客服QQ:4009019800  技术答疑  技术支持  质量反馈  关于我们  联系我们
产品中心-北京博奥森生物技术有限公司
首页 > 产品中心 > 一抗 > 产品信息
Ribonuclease Inhibitor Rabbit pAb (bs-7518R)  
订购热线:400-901-9800
订购邮箱:sales@bioss.com.cn
订购QQ:  400-901-9800
技术支持:techsupport@bioss.com.cn
50ul/1180.00元
100ul/1980.00元
200ul/2800.00元
大包装/询价

产品编号 bs-7518R
英文名称 Ribonuclease Inhibitor Rabbit pAb
中文名称 核糖核酸酶抑制因子1抗体
别    名 Placental ribonuclease inhibitor; RNH; RNH1; Placental RNase inhibitor; PRI; RAI; RI antibody Ribonuclease inhibitor; Ribonuclease/angiogenin inhibitor 1; Ribonuclease/angiogenin inhibitor; RINI_HUMAN; RNase inhibitor; RNH 1; Rnh1 ribonuclease/angiogenin inhibitor 1.  
Specific References  (1)     |     bs-7518R has been referenced in 1 publications.
[IF=1.6] Tang, Y., et al. "Overexpression of ribonuclease inhibitor defines good prognosis and suppresses proliferation and metastasis in human colorectal cancer cells via PI3K/AKT pathway." Clinical and Translational Oncology: 1-8.  IHC-P ;  Human.  
研究领域 细胞生物  信号转导  表观遗传学  
抗体来源 Rabbit
克隆类型 Polyclonal
克 隆 号
交叉反应 Human,Mouse,Rat (predicted: Pig,Cow)
产品应用 IHC-P=1:100-500,IHC-F=1:100-500,IF=1:100-500,Flow-Cyt=1ug/Test
not yet tested in other applications.
optimal dilutions/concentrations should be determined by the end user.
理论分子量 50 kDa
检测分子量
细胞定位 细胞浆 
性    状 Liquid
浓    度 1mg/ml
免 疫 原 KLH conjugated synthetic peptide derived from human Ribonuclease Inhibitor: 101-200/461 
亚    型 IgG
纯化方法 affinity purified by Protein A
缓 冲 液 0.01M TBS (pH7.4) with 1% BSA, 0.02% Proclin300 and 50% Glycerol.
保存条件 Shipped at 4℃. Store at -20℃ for one year. Avoid repeated freeze/thaw cycles.
注意事项 This product as supplied is intended for research use only, not for use in human, therapeutic or diagnostic applications.
PubMed PubMed
产品介绍 Ribonuclease inhibitor which inhibits RNASE1, RNASE2 and ANG. May play role in redox homeostasis.

Subunit:
Forms high-affinity heterodimers with RNASE1, ANG and RNASE2.

Subcellular Location:
Cytoplasm.

Post-translational modifications:
The N-terminus is blocked.
At least 30 of the 32 cysteine residues are in the reduced form.

Similarity:
Contains 15 LRR (leucine-rich) repeats.

SWISS:
P13489

Gene ID:
6050

Database links:

Entrez Gene: 6050 Human

Entrez Gene: 107702 Mouse

Entrez Gene: 100360501 Rat

Omim: 173320 Human

SwissProt: P13489 Human

SwissProt: Q91VI7 Mouse

SwissProt: P29315 Rat

Unigene: 530687 Human



产品图片
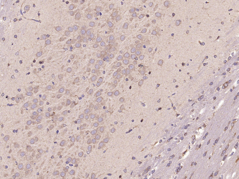
Paraformaldehyde-fixed, paraffin embedded (Rat brain); Antigen retrieval by microwave in sodium citrate buffer (pH6.0) ; Block endogenous peroxidase by 3% hydrogen peroxide for 30 minutes; Blocking buffer (3% BSA) at RT for 30min; Antibody incubation with (Ribonuclease Inhibitor) Polyclonal Antibody, Unconjugated (bs-7518R) at 1:400 overnight at 4℃, followed by conjugation to the secondary antibody (labeled with HRP)and DAB staining.
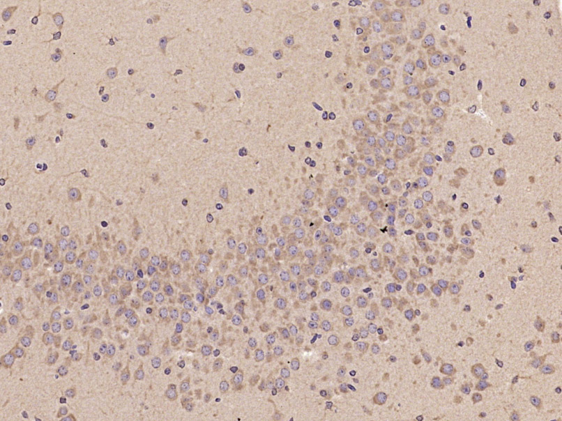
Paraformaldehyde-fixed, paraffin embedded (Mouse brain); Antigen retrieval by microwave in sodium citrate buffer (pH6.0) ; Block endogenous peroxidase by 3% hydrogen peroxide for 30 minutes; Blocking buffer (3% BSA) at RT for 30min; Antibody incubation with (Ribonuclease Inhibitor) Polyclonal Antibody, Unconjugated (bs-7518R) at 1:400 overnight at 4℃, followed by conjugation to the secondary antibody (labeled with HRP)and DAB staining.
Blank control(blue): Hela cells(fixed with 2% paraformaldehyde (10 min) , then permeabilized with 90% ice-cold methanol for 30 min on ice). Primary Antibody:Rabbit Anti- Ribonuclease Inhibitor antibody(bs-1638R), Dilution: 1μg in 100 μL 1X PBS containing 0.5% BSA; Isotype Control Antibody: Rabbit IgG(orange) ,used under the same conditions ); Secondary Antibody: Goat anti-rabbit IgG-PE(white blue), Dilution: 1:200 in 1 X PBS containing 0.5% BSA.
版权所有 2004-2026 www.bioss.com.cn 北京博奥森生物技术有限公司
通过国际质量管理体系ISO 9001:2015 GB/T 19001-2016    证书编号: 00124Q34771R2M/1100
通过国际医疗器械-质量管理体系ISO 13485:2016 GB/T 42061-2022     证书编号: CQC24QY20047R0M/1100
京ICP备05066980号-1         京公网安备110107000727号