扫码关注公众号           扫码咨询技术支持           扫码咨询技术服务
  
客服热线:400-901-9800  客服QQ:4009019800  技术答疑  技术支持  质量反馈  关于我们  联系我们
产品中心-北京博奥森生物技术有限公司
首页 > 产品中心 > 一抗 > 产品信息
NALP2 Rabbit pAb (bs-6717R)  
订购热线:400-901-9800
订购邮箱:sales@bioss.com.cn
订购QQ:  400-901-9800
技术支持:techsupport@bioss.com.cn
50ul/1180.00元
100ul/1980.00元
200ul/2800.00元
大包装/询价

产品编号 bs-6717R
英文名称 NALP2 Rabbit pAb
中文名称 富含亮氨酸重复结构域蛋白2抗体
别    名 CLR19.9; NALP2; NBS1; OZEMA18; PAN1; PYPAF2; E330007A02Rik; NALP2_HUMAN; NLRP2; Nucleotide-binding site protein 1; PYRIN domain and NACHT domain-containing protein 1; PYRIN-containing APAF1-like protein 2;   
研究领域 细胞生物  信号转导  细胞凋亡  
抗体来源 Rabbit
克隆类型 Polyclonal
克 隆 号
交叉反应 Human,Mouse,Rat (predicted: Rabbit,Horse)
产品应用 WB=1:500-2000,IHC-P=1:100-500,IHC-F=1:100-500,IF=1:100-500
not yet tested in other applications.
optimal dilutions/concentrations should be determined by the end user.
理论分子量 117 kDa
细胞定位 细胞浆 
性    状 Liquid
浓    度 1mg/ml
免 疫 原 KLH conjugated synthetic peptide derived from human NACHT, LRR and PYD domains-containing protein 2: 851-1062/1062 
亚    型 IgG
纯化方法 affinity purified by Protein A
缓 冲 液 0.01M TBS (pH7.4) with 1% BSA, 0.02% Proclin300 and 50% Glycerol.
保存条件 Shipped at 4℃. Store at -20℃ for one year. Avoid repeated freeze/thaw cycles.
注意事项 This product as supplied is intended for research use only, not for use in human, therapeutic or diagnostic applications.
PubMed PubMed
产品介绍 NALP proteins, such as NALP2, are characterized by an N-terminal pyrin (MIM 608107) domain (PYD) and are involved in the activation of caspase-1 (CASP1; MIM 147678) by Toll-like receptors (see TLR4; MIM 603030). They may also be involved in protein complexes that activate proinflammatory caspases (Tschopp et al., 2003 [PubMed 12563287]).[supplied by OMIM, Mar 2008].

Function:
Suppresses TNF- and CD40-induced NFKB1 activity at the level of the IKK complex, by inhibiting NFKBIA degradation induced by TNF. When associated with PYCARD, activates CASP1, leading to the secretion of mature proinflammatory cytokine IL1B. May be a component of the inflammasome, a protein complex which also includes PYCARD, CARD8 and CASP1 and whose function would be the activation of proinflammatory caspases.

Subunit:
Interacts with CHUK, IKBKB and IKBKG, as well as with full-length PYCARD and with the DAPIN domain of NAPL1, but not the full-length protein.

Subcellular Location:
Cytoplasm.

Tissue Specificity:
Expressed at high levels in lung, placenta and thymus and at lower levels in ovary, intestine and brain.

Similarity:
Belongs to the NLRP family.
Contains 1 DAPIN domain.
Contains 8 LRR (leucine-rich) repeats.
Contains 1 NACHT domain.

SWISS:
Q9NX02

Gene ID:
55655

Database links:

Entrez Gene: 55655 Human

Entrez Gene: 232827 Mouse

Omim: 609364 Human

SwissProt: Q9NX02 Human

Unigene: 369279 Human



产品图片
Sample: Thymus(Mouse) Lysate at 40 ug A431(Human) Cell Lysate at 30 ug Molt-4(Human) Cell Lysate at 30 ug Primary: Anti-NALP2   (bs-6717R) at 1/500 dilution Secondary: IRDye800CW Goat Anti-Rabbit IgG at 1/20000 dilution Predicted band size: 117 kD Observed band size: 117 kD
Sample: Lane 1: Mouse Thymus tissue lysates Lane 2: Mouse Ovary tissue lysates Lane 3: Rat Placenta tissue lysates Lane 4: Human MCF-7 cell lysates Primary: Anti-NALP2 (bs-6717R) at 1/1000 dilution Secondary: IRDye800CW Goat Anti-Rabbit IgG at 1/20000 dilution Predicted band size: 117 kDa Observed band size: 120 kDa
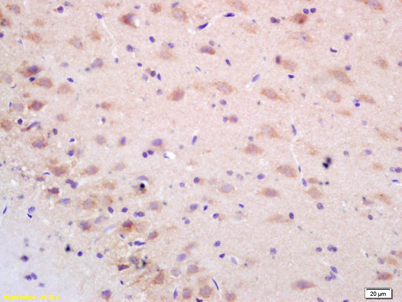
Tissue/cell: rat brain tissue; 4% Paraformaldehyde-fixed and paraffin-embedded; Antigen retrieval: citrate buffer ( 0.01M, pH 6.0 ), Boiling bathing for 15min; Block endogenous peroxidase by 3% Hydrogen peroxide for 30min; Blocking buffer (normal goat serum,C-0005) at 37℃ for 20 min; Incubation: Anti-NALP2/PAN1/PYPAF2 Polyclonal Antibody, Unconjugated(bs-6717R) 1:200, overnight at 4°C, followed by conjugation to the secondary antibody(SP-0023) and DAB(C-0010) staining
版权所有 2004-2026 www.bioss.com.cn 北京博奥森生物技术有限公司
通过国际质量管理体系ISO 9001:2015 GB/T 19001-2016    证书编号: 00124Q34771R2M/1100
通过国际医疗器械-质量管理体系ISO 13485:2016 GB/T 42061-2022     证书编号: CQC24QY20047R0M/1100
京ICP备05066980号-1         京公网安备110107000727号