扫码关注公众号           扫码咨询技术支持           扫码咨询技术服务
  
客服热线:400-901-9800  客服QQ:4009019800  技术答疑  技术支持  质量反馈  人才招聘  关于我们  联系我们
产品中心-北京博奥森生物技术有限公司
首页 > 产品中心 > 一抗 > 产品信息
C3a Receptor Rabbit pAb (bs-2955R)  
订购热线:400-901-9800
订购邮箱:sales@bioss.com.cn
订购QQ:  400-901-9800
技术支持:techsupport@bioss.com.cn
50ul/1180.00元
100ul/1980.00元
200ul/2800.00元
大包装/询价

产品编号 bs-2955R
英文名称 C3a Receptor Rabbit pAb
中文名称 过敏毒素C3受体/补体C3受体抗体
别    名 AZ3B; C3AR; HNFAG09; C3AR_HUMAN; C3AR1; C3a-R; C3R1; C3AR_MOUSE; Complement component 3a receptor 1; C3AR_RAT;   
Specific References  (9)     |     bs-2955R has been referenced in 9 publications.
[IF=9.587] Gong, Biao. et al. Complement C3a activates astrocytes to promote medulloblastoma progression through TNF-α. J NEUROINFLAMM. 2022 Dec;19(1):1-17  IF ;  Mouse.  
[IF=8.786] Lackner Ina. et al. Cardiac alterations following experimental hip fracture - inflammaging as independent risk factor. FRONT IMMUNOL. 2022 Sep;0:4835  IHC ;  Mouse.  
[IF=5.29] Shinjyo, Noriko, et al. "Complement Peptide C3a Promotes Astrocyte Survival in Response to Ischemic Stress." Molecular Neurobiology (2015): 1-12.  WB ;  Mouse.  
[IF=5.156] Liu, Tao. et al. Microarray-based analysis of renal complement components reveals a therapeutic target for lupus nephritis. Arthritis Res Ther. 2021 Dec;23(1):1-15  IHC ;  Human.  
[IF=4.379] Choi, Yun Ju. et al. Promotion of the inflammatory response in mid colon of complement component 3 knockout mice. Sci Rep-Uk. 2022 Feb;12(1):1-17  WB ;  Mouse.  
[IF=3.986] Ina Lackner. et al. Systemic and local cardiac inflammation after experimental long bone fracture, traumatic brain injury and combined trauma in mice. J Orthop Transl. 2021 May;28:39  IF,IHC ;  Mouse.  
[IF=3.707] Tushar A. Shah. et al. Therapeutic Hypothermia Inhibits the Classical Complement Pathway in a Rat Model of Neonatal Hypoxic-Ischemic Encephalopathy. Front Neurosci-Switz. 2021; 15: 616734  WB,IF ;  Rat.  
[IF=3.545] Lackner I et al. Toll-Like Receptor-Mediated Cardiac Injury during Experimental Sepsis. Mediators of Inflammation, 2020, 1–12.  ICF ;  Mouse.  
[IF=2.728] Ina Lackner. et al. Reaming of femoral fractures with different reaming irrigator aspirator systems shows distinct effects on cardiac function after experimental polytrauma. J Orthop Res. 2020 Dec;38(12):2608-2618  IHC ;  Pig.  
研究领域 免疫学  
抗体来源 Rabbit
克隆类型 Polyclonal
克 隆 号
交叉反应 Human,Mouse (predicted: Rat,Rabbit,Horse)
产品应用 WB=1:500-2000,IHC-P=1:100-500,IHC-F=1:100-500,IF=1:100-500
not yet tested in other applications.
optimal dilutions/concentrations should be determined by the end user.
理论分子量 54 kDa
细胞定位 细胞膜 
性    状 Liquid
浓    度 1mg/ml
免 疫 原 KLH conjugated synthetic peptide derived from human C3a Receptor/C3aR: 401-482/482 <Cytoplasmic>
亚    型 IgG
纯化方法 affinity purified by Protein A
缓 冲 液 0.01M TBS (pH7.4) with 1% BSA, 0.02% Proclin300 and 50% Glycerol.
保存条件 Shipped at 4℃. Store at -20℃ for one year. Avoid repeated freeze/thaw cycles.
注意事项 This product as supplied is intended for research use only, not for use in human, therapeutic or diagnostic applications.
PubMed PubMed
产品介绍 Complement C3 precursor contains complement C3 beta chain, complement C3 alpha chain, C3a anaphylatoxin, complement C3b alpha chain, complement C3c fragment, complement C3dg fragment, complement C3g fragment, complement C3d fragment and complement C3f fragment. C3a, C4a, and C5a are potent anaphylatoxins that are released during complement activation, a system of ligand-surface protein interactions specific to cells of hematopoietic lineage that aids in the elimination of pathogens. C3a and C5a secretion correlates with pathophysiological phenotypes such as asthma and bacterial meningitis. Binding of these proteins to their respective G protein-coupled receptors (C3aR, C5aR), which are present on the surface of myeloid leukocytes, induces proinflammatory events such as cellular degranulation, smooth muscle contraction, arachidonic acid metabolism, cytokine release, leukocyte activation and cellular chemotaxis. C3aR is expressed in brain and activated B-lymphocytes whereas C5aR is prevalent on the surface of hepatocyte, lung, smooth muscle, and endothelial cells. Upon activation, C3aR and C5aR are susceptible to rapid GRK-mediated phosphorylation and clathrin-coated vesicle targeting. C5aR utilizes the Ras-Raf-ERK1/2 cascade and couples to Gi/G16 proteins.

Function:
Receptor for the chemotactic and inflammatory peptide anaphylatoxin C3a. This receptor stimulates chemotaxis, granule enzyme release and superoxide anion production.

Subcellular Location:
Cell membrane; Multi-pass membrane protein.

Tissue Specificity:
Widely expressed in several differentiated hematopoietic cell lines, in the lung, spleen, ovary, placenta, small intestine, throughout the brain, heart, and endothelial cells. Mostly expressed in lymphoid tissues.

Post-translational modifications:
Among the sulfation sites Tyr-174 is essential for binding of C3a anaphylatoxin.

Similarity:
Belongs to the G-protein coupled receptor 1 family.

SWISS:
Q16581

Gene ID:
719

Database links:

Entrez Gene: 719 Human

Entrez Gene: 12267 Mouse

Entrez Gene: 84007 Rat

Omim: 605246 Human

SwissProt: Q16581 Human

SwissProt: O09047 Mouse

SwissProt: O55197 Rat

Unigene: 591148 Human

Unigene: 2408 Mouse

Unigene: 9772 Rat



产品图片
Sample: K562(Human) Cell Lysate at 30 ug 293T(Human) Cell Lysate at 30 ug A549(Human) Cell Lysate at 30 ug Lung (Mouse) Lysate at 40 ug Primary: Anti-C3a Receptor (bs-2955R) at 1/1000 dilution Secondary: IRDye800CW Goat Anti-Rabbit IgG at 1/20000 dilution Predicted band size: 54 kD Observed band size: 64 kD
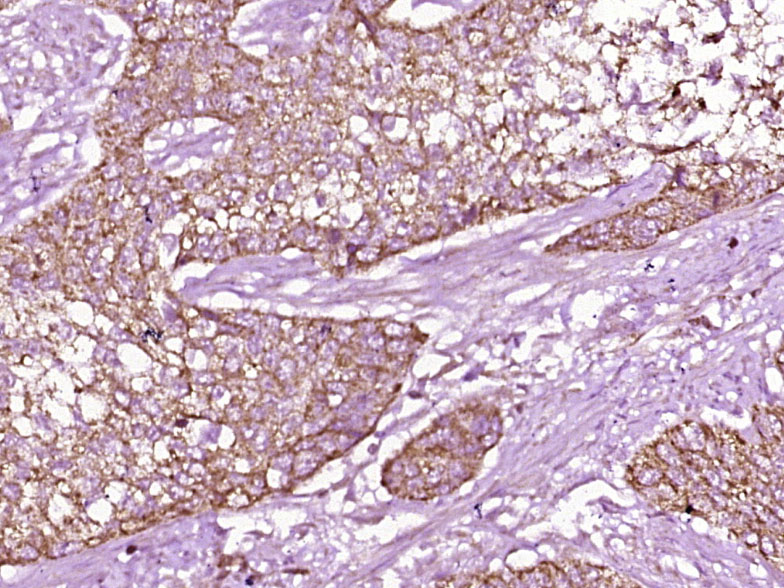
Paraformaldehyde-fixed, paraffin embedded (human gastric carcinoma); Antigen retrieval by boiling in sodium citrate buffer (pH6.0) for 15min; Block endogenous peroxidase by 3% hydrogen peroxide for 20 minutes; Blocking buffer (normal goat serum) at 37°C for 30min; Antibody incubation with (C3a Receptor) Polyclonal Antibody, Unconjugated (bs-2955R) at 1:400 overnight at 4°C, followed by operating according to SP Kit(Rabbit) (sp-0023) instructionsand DAB staining.
版权所有 2004-2026 www.bioss.com.cn 北京博奥森生物技术有限公司
通过国际质量管理体系ISO 9001:2015 GB/T 19001-2016    证书编号: 00124Q34771R2M/1100
通过国际医疗器械-质量管理体系ISO 13485:2016 GB/T 42061-2022     证书编号: CQC24QY20047R0M/1100
京ICP备05066980号-1         京公网安备110107000727号