扫码关注公众号           扫码咨询技术支持           扫码咨询技术服务
  
客服热线:400-901-9800  客服QQ:4009019800  技术答疑  技术支持  质量反馈  人才招聘  关于我们  联系我们
产品中心-北京博奥森生物技术有限公司
首页 > 产品中心 > 一抗 > 产品信息
Uricase Rabbit pAb (bs-6716R)  
订购热线:400-901-9800
订购邮箱:sales@bioss.com.cn
订购QQ:  400-901-9800
技术支持:techsupport@bioss.com.cn
50ul/1180.00元
100ul/1980.00元
200ul/2800.00元
大包装/询价

产品编号 bs-6716R
英文名称 Uricase Rabbit pAb
中文名称 尿酸酶抗体
别    名 UOX-2; Uri; Uri2; urate oxidase (pseudogene); urate oxidase  
研究领域 细胞生物  神经生物学  信号转导  
抗体来源 Rabbit
克隆类型 Polyclonal
交叉反应 Mouse (predicted: Rat,Rabbit,Pig,Cow,Dog)
产品应用 WB=1:500-2000,IHC-P=1:100-500,IHC-F=1:100-500,IF=1:100-500
not yet tested in other applications.
optimal dilutions/concentrations should be determined by the end user.
理论分子量 17kDa
检测分子量 35
细胞定位 细胞浆 
性    状 Liquid
浓    度 1mg/ml
免 疫 原 KLH conjugated synthetic peptide derived from mouse Uricase: 21-120/303 
亚    型 IgG
纯化方法 affinity purified by Protein A
缓 冲 液 0.01M TBS (pH7.4) with 1% BSA, 0.02% Proclin300 and 50% Glycerol.
保存条件 Shipped at 4℃. Store at -20℃ for one year. Avoid repeated freeze/thaw cycles.
注意事项 This product as supplied is intended for research use only, not for use in human, therapeutic or diagnostic applications.
PubMed PubMed
产品介绍 Uricase catalyzes the oxidation of uric acid to 5 hydroxyisourate which spontaneously decomposes to form allantoin.

Function:
Catalyzes the oxidation of uric acid to 5-hydroxyisourate, which is further processed to form (S)-allantoin.

Subcellular Location:
Peroxisome.

Post-translational modifications:
Acetylation of Lys-118, Lys-164 and Lys-290 is observed in liver mitochondria from fasted mice but not from fed mice.

Similarity:
Belongs to the uricase family.

Database links:




产品图片
Sample: Lane 1: Urinary bladder (Mouse) Lysate at 40 ug Primary: Anti-Uricase (bs-6716R) at 1/1000 dilution Secondary: IRDye800CW Goat Anti-Rabbit IgG at 1/20000 dilution Predicted band size: 35 kD Observed band size: 35 kD
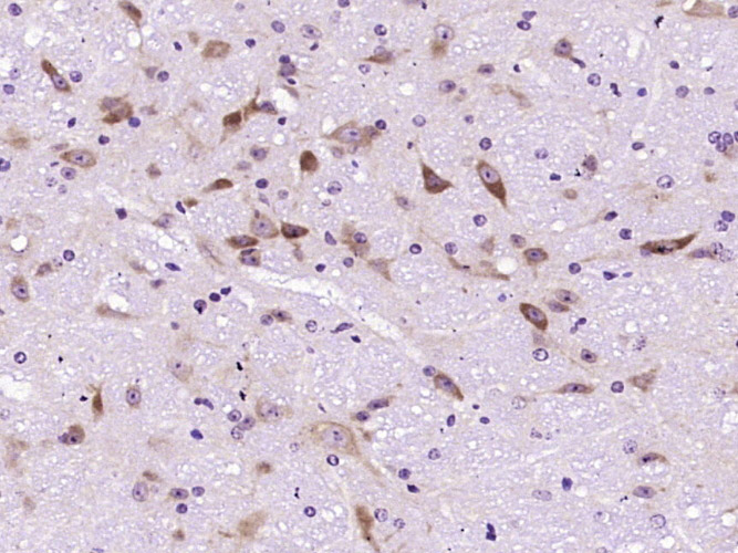
Paraformaldehyde-fixed, paraffin embedded (mouse brain tissue); Antigen retrieval by boiling in sodium citrate buffer (pH6.0) for 15min; Block endogenous peroxidase by 3% hydrogen peroxide for 20 minutes; Blocking buffer (normal goat serum) at 37°C for 30min; Antibody incubation with (Uricase) Polyclonal Antibody, Unconjugated (bs-6716R) at 1:400 overnight at 4°C, followed by operating according to SP Kit(Rabbit) (sp-0023) instructionsand DAB staining.
版权所有 2004-2026 www.bioss.com.cn 北京博奥森生物技术有限公司
通过国际质量管理体系ISO 9001:2015 GB/T 19001-2016    证书编号: 00124Q34771R2M/1100
通过国际医疗器械-质量管理体系ISO 13485:2016 GB/T 42061-2022     证书编号: CQC24QY20047R0M/1100
京ICP备05066980号-1         京公网安备110107000727号