扫码关注公众号           扫码咨询技术支持           扫码咨询技术服务
  
客服热线:400-901-9800  客服QQ:4009019800  技术答疑  技术支持  质量反馈  关于我们  联系我们
产品中心-北京博奥森生物技术有限公司
首页 > 产品中心 > 一抗 > 产品信息
Sertad1 Rabbit pAb (bs-6691R)  
订购热线:400-901-9800
订购邮箱:sales@bioss.com.cn
订购QQ:  400-901-9800
技术支持:techsupport@bioss.com.cn
50ul/1180.00元
100ul/1980.00元
200ul/2800.00元
大包装/询价

产品编号 bs-6691R
英文名称 Sertad1 Rabbit pAb
中文名称 调控周期蛋白依赖蛋白激酶SEI1抗体
别    名 CDK 4 binding protein p34SEI1; CDK4 binding protein p34SEI; CDK4 binding protein p34SEI1; SEI 1; SEI1; SERTA domain containing 1; SERTA domain containing 1 variant; SERTA domain containing protein 1; Sertad 1; Transcriptional regulator interacting with the PHD bromodomain 1; TRIP Br1; SRTD1_HUMAN.  
研究领域 信号转导  转录调节因子  表观遗传学  
抗体来源 Rabbit
克隆类型 Polyclonal
克 隆 号
交叉反应 Mouse (predicted: Human,Rat,Rabbit,Pig,Cow,Dog)
产品应用 IHC-P=1:100-500,IHC-F=1:100-500,IF=1:100-500
not yet tested in other applications.
optimal dilutions/concentrations should be determined by the end user.
理论分子量 25 kDa
检测分子量
细胞定位 细胞核 细胞浆 
性    状 Liquid
浓    度 1mg/ml
免 疫 原 KLH conjugated synthetic peptide derived from human SEI1: 1-42/236 
亚    型
纯化方法 affinity purified by Protein A
缓 冲 液 0.01M TBS (pH7.4) with 1% BSA, 0.02% Proclin300 and 50% Glycerol.
保存条件 Shipped at 4℃. Store at -20℃ for one year. Avoid repeated freeze/thaw cycles.
注意事项 This product as supplied is intended for research use only, not for use in human, therapeutic or diagnostic applications.
PubMed PubMed
产品介绍 Sertad1 acts at E2F-responsive promoters to integrate signals provided by PHD- and/or bromodomain-containing transcription factors. Stimulates E2F-1/DP-1 transcriptional activity. Renders the activity of cyclin D1/CDK4 resistant to the inhibitory effects of p16(INK4a).

Function:
Acts at E2F-responsive promoters to integrate signals provided by PHD- and/or bromodomain-containing transcription factors. Stimulates E2F-1/DP-1 transcriptional activity. Renders the activity of cyclin D1/CDK4 resistant to the inhibitory effects of p16(INK4a).

Subunit:
Interacts with the PHD-bromodomain of TIF1, TRIM28/TIF1B and p300/CBP. Binds to DP1. Also interacts with CDK4.

Similarity:
Contains 1 SERTA domain.

SWISS:
Q9UHV2

Gene ID:
29950

Database links:

Entrez Gene: 29950 Human

Entrez Gene: 55942 Mouse

Entrez Gene: 361526 Rat

SwissProt: Q9UHV2 Human

SwissProt: Q9JL10 Mouse

Unigene: 269898 Human

Unigene: 153684 Mouse

Unigene: 103853 Rat



产品图片
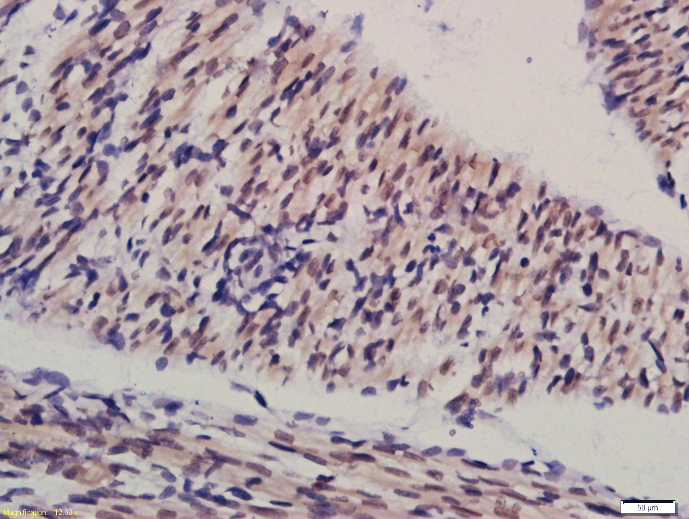
Tissue/cell: mouse embryo tissue; 4% Paraformaldehyde-fixed and paraffin-embedded; Antigen retrieval: citrate buffer ( 0.01M, pH 6.0 ), Boiling bathing for 15min; Block endogenous peroxidase by 3% Hydrogen peroxide for 30min; Blocking buffer (normal goat serum,C-0005) at 37℃ for 20 min; Incubation: Anti-Sertad1 Polyclonal Antibody, Unconjugated(bs-6691R) 1:200, overnight at 4°C, followed by conjugation to the secondary antibody(SP-0023) and DAB(C-0010) staining
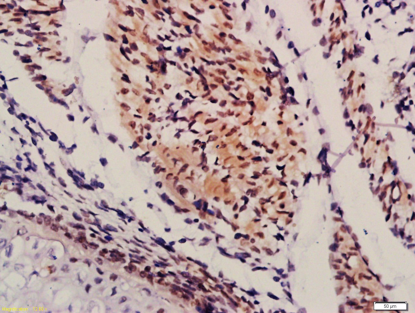
Tissue/cell: Mouse embryos tissue; 4% Paraformaldehyde-fixed and paraffin-embedded; Antigen retrieval: citrate buffer ( 0.01M, pH 6.0 ), Boiling bathing for 15min; Block endogenous peroxidase by 3% Hydrogen peroxide for 30min; Blocking buffer (normal goat serum,C-0005) at 37℃ for 20 min; Incubation: Anti-Sertad1 Polyclonal Antibody, Unconjugated(bs-6691R) 1:200, overnight at 4°C, followed by conjugation to the secondary antibody(SP-0023) and DAB(C-0010) staining
版权所有 2004-2026 www.bioss.com.cn 北京博奥森生物技术有限公司
通过国际质量管理体系ISO 9001:2015 GB/T 19001-2016    证书编号: 00124Q34771R2M/1100
通过国际医疗器械-质量管理体系ISO 13485:2016 GB/T 42061-2022     证书编号: CQC24QY20047R0M/1100
京ICP备05066980号-1         京公网安备110107000727号