扫码关注公众号           扫码咨询技术支持           扫码咨询技术服务
  
客服热线:400-901-9800  客服QQ:4009019800  技术答疑  技术支持  质量反馈  人才招聘  关于我们  联系我们
产品中心-北京博奥森生物技术有限公司
首页 > 产品中心 > 一抗 > 产品信息
DNA Ligase 1 Rabbit pAb (bs-6641R)  
订购热线:400-901-9800
订购邮箱:sales@bioss.com.cn
订购QQ:  400-901-9800
技术支持:techsupport@bioss.com.cn
50ul/1180.00元
100ul/1980.00元
200ul/2800.00元
大包装/询价

产品编号 bs-6641R
英文名称 DNA Ligase 1 Rabbit pAb
中文名称 DNA连接酶1抗体
别    名 DNLI1_HUMAN; LIG1; DNA ligase I; Polydeoxyribonucleotide synthase [ATP] 1; 6.5.1.1; IMD96; LIGI; hLig1;   
研究领域 细胞生物  表观遗传学  
抗体来源 Rabbit
克隆类型 Polyclonal
克 隆 号
交叉反应 Human,Rat (predicted: Mouse,Rabbit,Pig,Cow,Dog,Horse)
产品应用 WB=1:500-2000,IHC-P=1:100-500,IHC-F=1:100-500,IF=1:100-500
not yet tested in other applications.
optimal dilutions/concentrations should be determined by the end user.
理论分子量 101 kDa
检测分子量 130
细胞定位 细胞核 
性    状 Liquid
浓    度 1mg/ml
免 疫 原 KLH conjugated synthetic peptide derived from human DNA Ligase 1: 701-800/919 
亚    型 IgG
纯化方法 affinity purified by Protein A
缓 冲 液 0.01M TBS (pH7.4) with 1% BSA, 0.02% Proclin300 and 50% Glycerol.
保存条件 Shipped at 4℃. Store at -20℃ for one year. Avoid repeated freeze/thaw cycles.
注意事项 This product as supplied is intended for research use only, not for use in human, therapeutic or diagnostic applications.
PubMed PubMed
产品介绍 Eukaryotic DNA ligases are ATP-dependent enzymes that catalyse the joining of single and double-strand DNA breaks, which is an essential final step in DNA replication, recombination and repair. Four biochemically distinct DNA ligases, termed ligases I-IV, have been identified in mammalian cells. DNA ligase I is functionally homologous to the DNA ligase encoded by the Saccharomyces cerevisiae Cdc9 gene. The joining of Okazaki fragments during lagging strand DNA replication in mammalian cells is due to DNA ligase I.

Function:
DNA ligase that seals nicks in double-stranded DNA during DNA replication, DNA recombination and DNA repair.

Subcellular Location:
Nucleus.

Similarity:
Belongs to the ATP-dependent DNA ligase family.

SWISS:
P18858

Gene ID:
3978

Database links:
Entrez Gene: 3978 Human

Omim: 126391 Human

SwissProt: P18858 Human

Unigene: 1770 Human



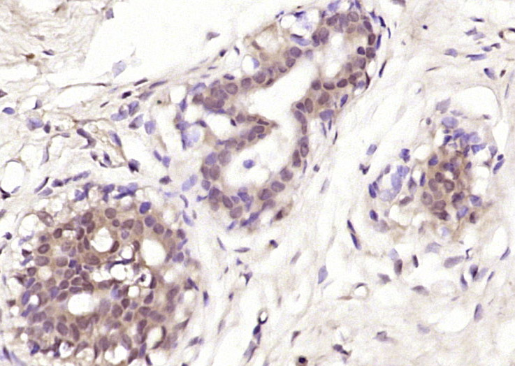
产品图片
25 ug total protein per lane of various lysates (see on figure) probed with DNA Ligase 1 polyclonal antibody, unconjugated (bs-6641R) at 1:1000 dilution and 4°C overnight incubation. Followed by conjugated secondary antibody incubation at r.t. for 60 min.
Paraformaldehyde-fixed, paraffin embedded (rat breast); Antigen retrieval by boiling in sodium citrate buffer (pH6.0) for 15min; Block endogenous peroxidase by 3% hydrogen peroxide for 20 minutes; Blocking buffer (normal goat serum) at 37°C for 30min; Antibody incubation with (DNA Ligase 1) Polyclonal Antibody, Unconjugated (bs-6641R) at 1:200 overnight at 4°C, followed by operating according to SP Kit(Rabbit) (sp-0023) instructionsand DAB staining.
版权所有 2004-2026 www.bioss.com.cn 北京博奥森生物技术有限公司
通过国际质量管理体系ISO 9001:2015 GB/T 19001-2016    证书编号: 00124Q34771R2M/1100
通过国际医疗器械-质量管理体系ISO 13485:2016 GB/T 42061-2022     证书编号: CQC24QY20047R0M/1100
京ICP备05066980号-1         京公网安备110107000727号