扫码关注公众号           扫码咨询技术支持           扫码咨询技术服务
  
客服热线:400-901-9800  客服QQ:4009019800  技术答疑  技术支持  质量反馈  人才招聘  关于我们  联系我们
产品中心-北京博奥森生物技术有限公司
首页 > 产品中心 > 一抗 > 产品信息
Neurotensin Rabbit pAb (bs-6631R)  
订购热线:400-901-9800
订购邮箱:sales@bioss.com.cn
订购QQ:  400-901-9800
技术支持:techsupport@bioss.com.cn
50ul/1180.00元
100ul/1980.00元
200ul/2800.00元
大包装/询价

产品编号 bs-6631R
英文名称 Neurotensin Rabbit pAb
中文名称 神经紧张素抗体
别    名 NMN-125; NN; NT; NT/N; NTS1; 5033428E16Rik; NEUT_BOVIN; NTS; NEUT_CANLF; NEUT_HUMAN; NEUT_MOUSE; NEUT_RAT;   Large neuromedin N; Neuromedin N preproprotein; NMN 125; NMN-125; NN; Tail peptide; NN; Neurotensin/neuromedin N.
Specific References  (1)     |     bs-6631R has been referenced in 1 publications.
[IF=1.64] SAKUMOTO, Ryosuke, et al. "Comparison of the global gene expression profiles in the bovine endometrium between summer and autumn." Journal of Reproduction and Development 0 (2015).  IHC-P ;  Bovine.  
研究领域 细胞生物  神经生物学  信号转导  
抗体来源 Rabbit
克隆类型 Polyclonal
克 隆 号
交叉反应 Rat (predicted: Human,Mouse,Rabbit,Pig,Cow,Dog)
产品应用 IHC-P=1:100-500,IHC-F=1:100-500,IF=1:100-500
not yet tested in other applications.
optimal dilutions/concentrations should be determined by the end user.
理论分子量 19 kDa
细胞定位 细胞浆 分泌型蛋白 
性    状 Liquid
浓    度 1mg/ml
免 疫 原 KLH conjugated synthetic peptide derived from human Neurotensin: 101-170/170 
亚    型 IgG
纯化方法 affinity purified by Protein A
缓 冲 液 0.01M TBS (pH7.4) with 1% BSA, 0.02% Proclin300 and 50% Glycerol.
保存条件 Shipped at 4℃. Store at -20℃ for one year. Avoid repeated freeze/thaw cycles.
注意事项 This product as supplied is intended for research use only, not for use in human, therapeutic or diagnostic applications.
PubMed PubMed
产品介绍 This gene encodes a common precursor for two peptides, neuromedin N and neurotensin. Neurotensin is a secreted tridecapeptide, which is widely distributed throughout the central nervous system, and may function as a neurotransmitter or a neuromodulator. It may be involved in dopamine-associated pathophysiological events, in the maintenance of gut structure and function, and in the regulation of fat metabolism. Tissue-specific processing may lead to the formation in some tissues of larger forms of neuromedin N and neurotensin. The large forms may represent more stable peptides that are also biologically active. [provided by RefSeq, Jul 2008].
Cellular localization: Secreted. Cytoplasmic vesicle > secretory vesicle. Packaged within secretory vesicles.

Function:
Neurotensin may play an endocrine or paracrine role in the regulation of fat metabolism. It causes contraction of smooth muscle.

Subcellular Location:
Secreted. Cytoplasmic vesicle, secretory vesicle. Note=Packaged within secretory vesicles.

Similarity:
Belongs to the neurotensin family.

SWISS:
P30990

Gene ID:
4922

Database links:

Entrez Gene: 4922 Human

Omim: 162650 Human

SwissProt: P30990 Human

Unigene: 80962 Hum



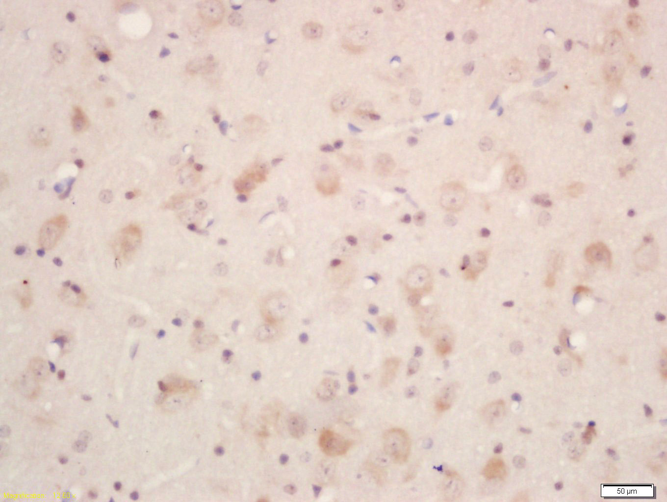
产品图片
Tissue/cell: rat brain tissue; 4% Paraformaldehyde-fixed and paraffin-embedded; Antigen retrieval: citrate buffer ( 0.01M, pH 6.0 ), Boiling bathing for 15min; Block endogenous peroxidase by 3% Hydrogen peroxide for 30min; Blocking buffer (normal goat serum,C-0005) at 37℃ for 20 min; Incubation: Anti-Neurotensin Polyclonal Antibody, Unconjugated(bs-6631R) 1:200, overnight at 4°C, followed by conjugation to the secondary antibody(SP-0023) and DAB(C-0010) staining
版权所有 2004-2026 www.bioss.com.cn 北京博奥森生物技术有限公司
通过国际质量管理体系ISO 9001:2015 GB/T 19001-2016    证书编号: 00124Q34771R2M/1100
通过国际医疗器械-质量管理体系ISO 13485:2016 GB/T 42061-2022     证书编号: CQC24QY20047R0M/1100
京ICP备05066980号-1         京公网安备110107000727号