扫码关注公众号           扫码咨询技术支持           扫码咨询技术服务
  
客服热线:400-901-9800  客服QQ:4009019800  技术答疑  技术支持  质量反馈  关于我们  联系我们
产品中心-北京博奥森生物技术有限公司
首页 > 产品中心 > 一抗 > 产品信息
NRG3 Rabbit pAb (bs-6235R)  
订购热线:400-901-9800
订购邮箱:sales@bioss.com.cn
订购QQ:  400-901-9800
技术支持:techsupport@bioss.com.cn
50ul/1180.00元
100ul/1980.00元
200ul/2800.00元
大包装/询价

产品编号 bs-6235R
英文名称 NRG3 Rabbit pAb
中文名称 神经调节蛋白3抗体
别    名 HRG3; Neuregulin 3; Neuregulin 3 like polypeptide; Neuregulin-3; Neuregulin3; NRG-3; Nrg3; NRG3_HUMAN; pro NRG3; Pro-NRG3.  
研究领域 肿瘤  细胞生物  免疫学  神经生物学  信号转导  
抗体来源 Rabbit
克隆类型 Polyclonal
克 隆 号
交叉反应 Rat (predicted: Human,Mouse,Pig,Cow,Dog,Horse)
产品应用 IHC-P=1:100-500,IHC-F=1:100-500,IF=1:100-500
not yet tested in other applications.
optimal dilutions/concentrations should be determined by the end user.
理论分子量 78 kDa
检测分子量
细胞定位 细胞膜 分泌型蛋白 
性    状 Liquid
浓    度 1mg/ml
免 疫 原 KLH conjugated synthetic peptide derived from human NRG3: 351-450/720 
亚    型 IgG
纯化方法 affinity purified by Protein A
缓 冲 液 0.01M TBS (pH7.4) with 1% BSA, 0.02% Proclin300 and 50% Glycerol.
保存条件 Shipped at 4℃. Store at -20℃ for one year. Avoid repeated freeze/thaw cycles.
注意事项 This product as supplied is intended for research use only, not for use in human, therapeutic or diagnostic applications.
PubMed PubMed
产品介绍 Direct ligand for the ERBB4 tyrosine kinase receptor. Binding results in ligand-stimulated tyrosine phosphorylation and activation of the receptor. Does not bind to the EGF receptor, ERBB2 or ERBB3 receptors. May be a survival factor for oligodendrocytes.

Function:
Direct ligand for the ERBB4 tyrosine kinase receptor. Binding results in ligand-stimulated tyrosine phosphorylation and activation of the receptor. Does not bind to the EGF receptor, ERBB2 or ERBB3 receptors. May be a survival factor for oligodendrocytes.

Subunit:
Interacts with ERBB4.

Subcellular Location:
Pro-neuregulin-3, membrane-bound isoform: Cell membrane; Single-pass type I membrane protein. Neuregulin-3: Secreted. Isoform 3: Cell membrane; Single-pass type I membrane protein.

Tissue Specificity:
Highly expressed in most regions of the brain with the exception of corpus callosum. Expressed at lower level in testis. Not detected in heart, placenta, lung, liver, skeletal muscle, kidney, pancreas, spleen, thymus, prostate, ovary, small intestine, colon and peripheral blood leukocytes.

Post-translational modifications:
Proteolytic cleavage close to the plasma membrane on the external face leads to the release of the soluble growth factor form.
Extensive glycosylation precedes the proteolytic cleavage (By similarity). Isoform 3 is glycosylated.

Similarity:
Belongs to the neuregulin family.
Contains 1 EGF-like domain.

SWISS:
P56975

Gene ID:
10718

Database links:

Entrez Gene: 10718 Human

Entrez Gene: 18183 Mouse

Entrez Gene: 498596 Rat

Omim: 605533 Human

SwissProt: P56975 Human

SwissProt: O35181 Mouse

Unigene: 125119 Human

Unigene: 258705 Mouse



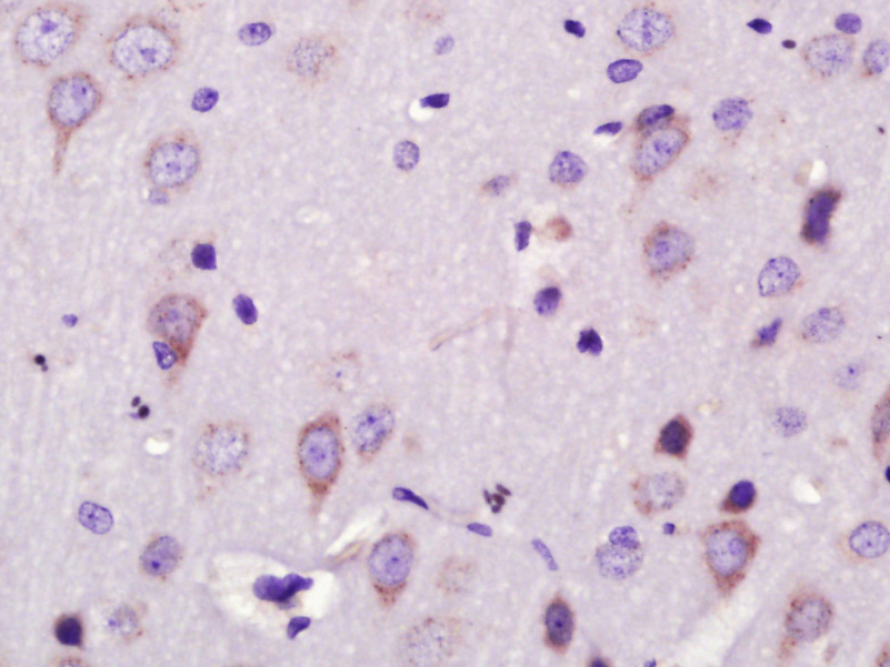
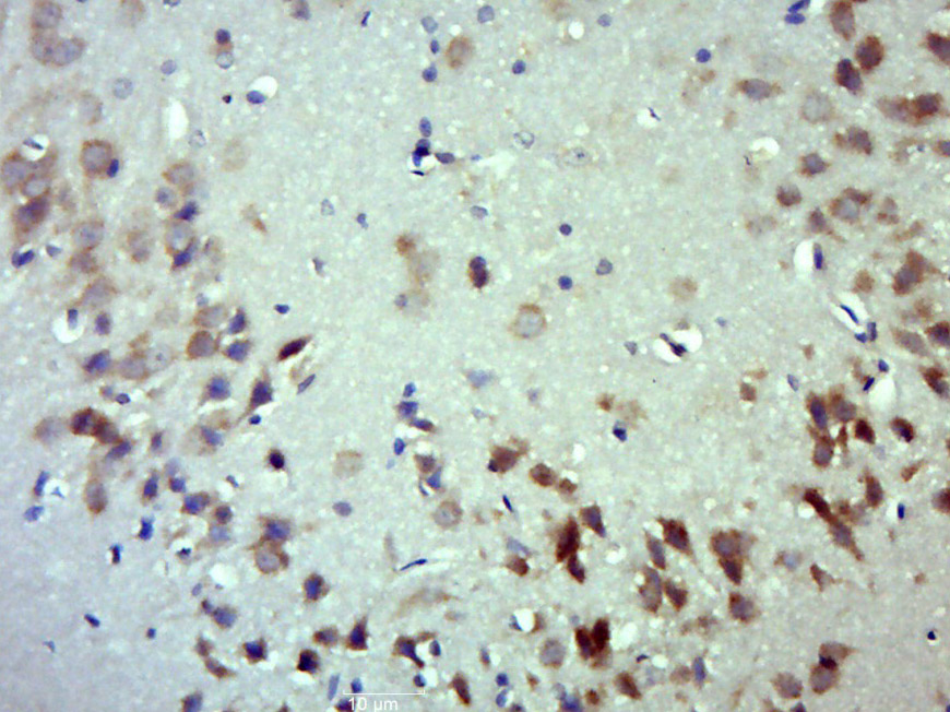
产品图片
Paraformaldehyde-fixed, paraffin embedded (Rat brain); Antigen retrieval by boiling in sodium citrate buffer (pH6.0) for 15min; Block endogenous peroxidase by 3% hydrogen peroxide for 20 minutes; Blocking buffer (normal goat serum) at 37°C for 30min; Antibody incubation with (NRG3) Polyclonal Antibody, Unconjugated (bs-6235R) at 1:400 overnight at 4°C, followed by operating according to SP Kit(Rabbit) (sp-0023) instructionsand DAB staining.
Paraformaldehyde-fixed, paraffin embedded (Rat brain); Antigen retrieval by boiling in sodium citrate buffer (pH6.0) for 15min; Block endogenous peroxidase by 3% hydrogen peroxide for 20 minutes; Blocking buffer (normal goat serum) at 37°C for 30min; Antibody incubation with (NRG3) Polyclonal Antibody, Unconjugated (bs-6235R) at 1:400 overnight at 4°C, followed by operating according to SP Kit(Rabbit) (sp-0023) instructionsand DAB staining.
版权所有 2004-2026 www.bioss.com.cn 北京博奥森生物技术有限公司
通过国际质量管理体系ISO 9001:2015 GB/T 19001-2016    证书编号: 00124Q34771R2M/1100
通过国际医疗器械-质量管理体系ISO 13485:2016 GB/T 42061-2022     证书编号: CQC24QY20047R0M/1100
京ICP备05066980号-1         京公网安备110107000727号