扫码关注公众号           扫码咨询技术支持           扫码咨询技术服务
  
客服热线:400-901-9800  客服QQ:4009019800  技术答疑  技术支持  质量反馈  关于我们  联系我们
产品中心-北京博奥森生物技术有限公司
首页 > 产品中心 > 一抗 > 产品信息
PCMT1 Rabbit pAb (bs-6211R)  
订购热线:400-901-9800
订购邮箱:sales@bioss.com.cn
订购QQ:  400-901-9800
技术支持:techsupport@bioss.com.cn
50ul/1180.00元
100ul/1980.00元
200ul/2800.00元
大包装/询价

产品编号 bs-6211R
英文名称 PCMT1 Rabbit pAb
中文名称 天门冬氨酸甲基转移酶PCMT抗体
别    名 L isoaspartyl protein carboxyl methyltransferase; L isoaspartyl/D aspartyl methyltransferase; PCMT 1; PIMT; Protein beta aspartate methyltransferase; Protein L isoaspartate(D aspartate) O methyltransferase; PIMT_HUMAN; Protein L isoaspartyl/D aspartyl methyltransferase.  
研究领域 细胞生物  表观遗传学  
抗体来源 Rabbit
克隆类型 Polyclonal
克 隆 号
交叉反应 Human,Rat (predicted: Mouse,Pig,Cow,Dog,Horse)
产品应用 WB=1:500-2000,IHC-P=1:100-500,IHC-F=1:100-500,IF=1:100-500
not yet tested in other applications.
optimal dilutions/concentrations should be determined by the end user.
理论分子量 25 kDa
检测分子量
细胞定位 细胞浆 
性    状 Liquid
浓    度 1mg/ml
免 疫 原 KLH conjugated synthetic peptide derived from human PCMT1: 165-227/227 
亚    型 IgG
纯化方法 affinity purified by Protein A
缓 冲 液 0.01M TBS (pH7.4) with 1% BSA, 0.02% Proclin300 and 50% Glycerol.
保存条件 Shipped at 4℃. Store at -20℃ for one year. Avoid repeated freeze/thaw cycles.
注意事项 This product as supplied is intended for research use only, not for use in human, therapeutic or diagnostic applications.
PubMed PubMed
产品介绍 PCMT1 (Protein-L-isoaspartate (D-aspartate) O-methyltransferase) plays a role in the repair and/or degradation of damaged proteins by initiating the conversion of abnormal D-aspartyl and L-isoaspartyl residues to the normal L-aspartyl form. It catalyzes the methyl esterification of L-isoaspartyl and D-aspartyl residues in peptides and proteins that result from spontaneous deamidation, isomerization, and racemization of normal L-aspartyl and L-asparaginyl residues.

Function:
Catalyzes the methyl esterification of L-isoaspartyl and D-aspartyl residues in peptides and proteins that result from spontaneous decomposition of normal L-aspartyl and L-asparaginyl residues. It plays a role in the repair and/or degradation of damaged proteins. Acts on microtubule-associated protein 2, calreticulin, clathrin light chains a and b, Ubiquitin carboxyl-terminal hydrolase isozyme L1, phosphatidylethanolamine-binding protein 1, stathmin, beta-synuclein and alpha-synuclein (By similarity).

Subunit:
Monomer.

Subcellular Location:
Cytoplasm.

Similarity:
Belongs to the methyltransferase superfamily. L-isoaspartyl/D-aspartyl protein methyltransferase family.

SWISS:
P22061

Gene ID:
5110

Database links:

Entrez Gene: 5110 Human

Entrez Gene: 25604 Rat

Omim: 176851 Human

SwissProt: P22061 Human

SwissProt: P23506 Mouse

SwissProt: P22062 Rat

Unigene: 279257 Human

Unigene: 258431 Mouse

Unigene: 86985 Rat



产品图片
Sample: Hippocampus (Mouse) Lysate at 40 ug HL60(Human) Cell Lysate at 30 ug Primary: Anti- PCMT1 (bs-6211R) at 1/1000 dilution Secondary: IRDye800CW Goat Anti-Rabbit IgG at 1/20000 dilution Predicted band size: 25 kD Observed band size: 28 kD
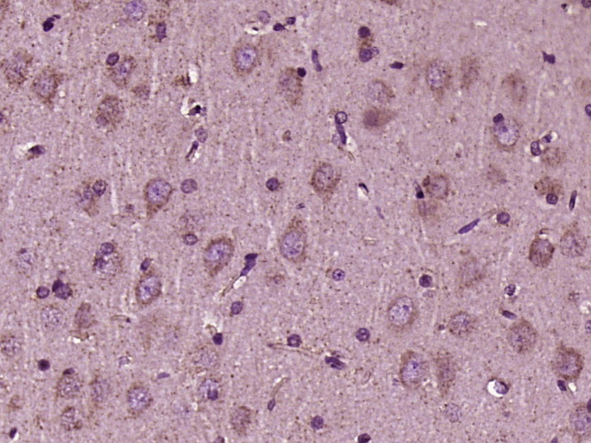
Paraformaldehyde-fixed, paraffin embedded (Rat brain); Antigen retrieval by boiling in sodium citrate buffer (pH6.0) for 15min; Block endogenous peroxidase by 3% hydrogen peroxide for 20 minutes; Blocking buffer (normal goat serum) at 37°C for 30min; Antibody incubation with (PCMT1) Polyclonal Antibody, Unconjugated (bs-6211R) at 1:400 overnight at 4°C, followed by operating according to SP Kit(Rabbit) (sp-0023) instructionsand DAB staining.
版权所有 2004-2026 www.bioss.com.cn 北京博奥森生物技术有限公司
通过国际质量管理体系ISO 9001:2015 GB/T 19001-2016    证书编号: 00124Q34771R2M/1100
通过国际医疗器械-质量管理体系ISO 13485:2016 GB/T 42061-2022     证书编号: CQC24QY20047R0M/1100
京ICP备05066980号-1         京公网安备110107000727号