扫码关注公众号           扫码咨询技术支持           扫码咨询技术服务
  
客服热线:400-901-9800  客服QQ:4009019800  技术答疑  技术支持  质量反馈  人才招聘  关于我们  联系我们
产品中心-北京博奥森生物技术有限公司
首页 > 产品中心 > 一抗 > 产品信息
Slitrk1 Rabbit pAb (bs-6192R)  
订购热线:400-901-9800
订购邮箱:sales@bioss.com.cn
订购QQ:  400-901-9800
技术支持:techsupport@bioss.com.cn
50ul/1180.00元
100ul/1980.00元
200ul/2800.00元
大包装/询价

产品编号 bs-6192R
英文名称 Slitrk1 Rabbit pAb
中文名称 神经突出相关蛋白Slitrk1抗体
别    名 LRRC12; TTM; 3200001I04Rik; SLIK1_HUMAN; SLITRK1; Leucine-rich repeat-containing protein 12; KIAA1910; SLIK1_MOUSE; Sltk1;   
研究领域 神经生物学  
抗体来源 Rabbit
克隆类型 Polyclonal
克 隆 号
交叉反应 Rat (predicted: Human,Mouse,Rabbit,Pig,Cow,Chicken,Dog,Horse)
产品应用 IHC-P=1:100-500,IHC-F=1:100-500,IF=1:100-500
not yet tested in other applications.
optimal dilutions/concentrations should be determined by the end user.
理论分子量 76 kDa
细胞定位 细胞膜 分泌型蛋白 
性    状 Liquid
浓    度 1mg/ml
免 疫 原 KLH conjugated synthetic peptide derived from human Slitrk1: 21-120/696 <Extracellular>
亚    型 IgG
纯化方法 affinity purified by Protein A
缓 冲 液 0.01M TBS (pH7.4) with 1% BSA, 0.02% Proclin300 and 50% Glycerol.
保存条件 Shipped at 4℃. Store at -20℃ for one year. Avoid repeated freeze/thaw cycles.
注意事项 This product as supplied is intended for research use only, not for use in human, therapeutic or diagnostic applications.
PubMed PubMed
产品介绍 Slitrk1 is a member of a protein family consisting of six homologous transmembrane proteins (Slitrk1-6) that share two conserved leucine-rich repeat domains in the extracellular domain and have significant homology to Slit, a secreted axonal growth-controlling protein. These proteins are also homologous to trk neurotrophin receptors in their intracellular domains. Expression of Slitrk proteins is highly restricted to neural and brain tumor tissues, but varies within the family. For example, Slitrk1 is expressed primarily in mature neurons. Overexpression of Slitrk1 in transfected neuronal cells induced unipolar neurites, while expression of the other Slitrk proteins inhibited neurite outgrowth, suggesting that these proteins are involved in the control of neurite outgrowth. While Slitrk1 variants have been suggested associated with Tourette’s Syndrome, it is thought to play only a minor role if at all.

Function:
Enhances neuronal dendrite outgrowth.

Subcellular Location:
Membrane; Single-pass type I membrane protein (Potential).

Tissue Specificity:
Expressed predominantly in the frontal lobe of the cerebral cortex of the brain. Also expressed in some astrocytic brain tumors such as astrocytomas, oligodendrogliomas, glioblastomas, gangliogliomas and primitive neuroectodermal tumors.

DISEASE:
Defects in SLITRK1 may be a cause of Gilles de la Tourette syndrome (GTS) [MIM:137580]. GTS is a neurologic disorder manifested particularly by motor and vocal tics and associated with behavioral abnormalities.
Defects in SLITRK1 may be a cause of trichotillomania (TTM) [MIM:613229]. It is a neuropsychiatric disorder characterized by chronic, repetitive, or compulsive hair pulling resulting in noticeable hair loss. Affected individuals may develop physical complications and often have overlapping psychologic disorders, such as Gilles de la Tourette syndrome or obsessive-compulsive disorder.

Similarity:
Belongs to the SLITRK family.
Contains 12 LRR (leucine-rich) repeats.
Contains 2 LRRCT domains.
Contains 2 LRRNT domains.

SWISS:
Q96PX8

Gene ID:
114798

Database links:

Entrez Gene: 114798 Human

Entrez Gene: 76965 Mouse

Entrez Gene: 306147 Rat

Omim: 609678 Human

SwissProt: Q96PX8 Human

SwissProt: Q810C1 Mouse

Unigene: 415478 Human

Unigene: 31034 Rat



Slitrk基因编码一类跨膜蛋白,有6个家族成员,主要表达于神经系统,参与调节神经细胞突起生长。
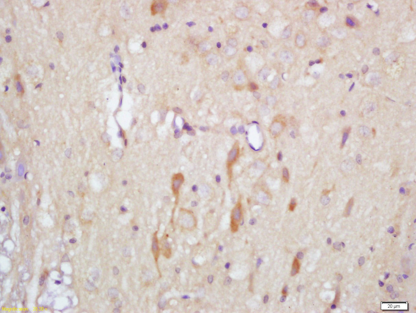
产品图片
Tissue/cell: rat brain tissue; 4% Paraformaldehyde-fixed and paraffin-embedded; Antigen retrieval: citrate buffer ( 0.01M, pH 6.0 ), Boiling bathing for 15min; Block endogenous peroxidase by 3% Hydrogen peroxide for 30min; Blocking buffer (normal goat serum,C-0005) at 37℃ for 20 min; Incubation: Anti-Slitrk1 Polyclonal Antibody, Unconjugated(bs-6192R) 1:200, overnight at 4°C, followed by conjugation to the secondary antibody(SP-0023) and DAB(C-0010) staining
版权所有 2004-2026 www.bioss.com.cn 北京博奥森生物技术有限公司
通过国际质量管理体系ISO 9001:2015 GB/T 19001-2016    证书编号: 00124Q34771R2M/1100
通过国际医疗器械-质量管理体系ISO 13485:2016 GB/T 42061-2022     证书编号: CQC24QY20047R0M/1100
京ICP备05066980号-1         京公网安备110107000727号