扫码关注公众号           扫码咨询技术支持           扫码咨询技术服务
  
客服热线:400-901-9800  客服QQ:4009019800  技术答疑  技术支持  质量反馈  人才招聘  关于我们  联系我们
产品中心-北京博奥森生物技术有限公司
首页 > 产品中心 > 一抗 > 产品信息
HPGD Rabbit pAb (bs-6051R)  
订购热线:400-901-9800
订购邮箱:sales@bioss.com.cn
订购QQ:  400-901-9800
技术支持:techsupport@bioss.com.cn
50ul/1180.00元
100ul/1980.00元
大包装/询价

产品编号 bs-6051R
英文名称 HPGD Rabbit pAb
中文名称 前列腺素脱氢酶1抗体
别    名 15-PGDH; PGDH; PGDH1; PHOAR1; SDR36C1; PGDH_HUMAN; HPGD; Eicosanoid/docosanoid dehydrogenase [NAD(+)]; Prostaglandin dehydrogenase 1; Short chain dehydrogenase/reductase family 36C member 1; 1.1.1.141;   
Specific References  (1)     |     bs-6051R has been referenced in 1 publications.
[IF=1.89] Hu, Min, et al. "15-PGDH expression as a predictive factor response to neoadjuvant chemotherapy in advanced gastric cancer." Int J Clin Exp Pathol8.6 (2015): 6910-6918.  IHC-P ;  Human.  
研究领域 免疫学  信号转导  
抗体来源 Rabbit
克隆类型 Polyclonal
克 隆 号
交叉反应 Human,Mouse,Rat
产品应用 WB=1:500-2000,IHC-P=1:100-500,IHC-F=1:100-500,IF=1:100-500,Flow-Cyt=1:50-100
not yet tested in other applications.
optimal dilutions/concentrations should be determined by the end user.
理论分子量 29 kDa
检测分子量 34
细胞定位 细胞浆 
性    状 Liquid
浓    度 1mg/ml
免 疫 原 KLH conjugated synthetic peptide derived from human Prostaglandin dehydrogenase 1: 55-160/266 
亚    型 IgG
纯化方法 affinity purified by Protein A
缓 冲 液 0.01M TBS (pH7.4) with 1% BSA, 0.02% Proclin300 and 50% Glycerol.
保存条件 Shipped at 4℃. Store at -20℃ for one year. Avoid repeated freeze/thaw cycles.
注意事项 This product as supplied is intended for research use only, not for use in human, therapeutic or diagnostic applications.
PubMed PubMed
产品介绍 This gene encodes a member of the short-chain nonmetalloenzyme alcohol dehydrogenase protein family. The encoded enzyme is responsible for the metabolism of prostaglandins, which function in a variety of physiologic and cellular processes such as inflammation. Mutations in this gene result in primary autosomal recessive hypertrophic osteoarthropathy and cranioosteoarthropathy. Multiple transcript variants encoding different isoforms have been found for this gene. [provided by RefSeq, Mar 2009].

Function:
Prostaglandin inactivation. Contributes to the regulation of events that are under the control of prostaglandin levels. Catalyzes the NAD-dependent dehydrogenation of lipoxin A4 to form 15-oxo-lipoxin A4. Inhibits in vivo proliferation of colon cancer cells.

Subunit:
Homodimer.

Subcellular Location:
Cytoplasm.

Tissue Specificity:
Detected in colon epithelium (at protein level).

DISEASE:
Hypertrophic osteoarthropathy, primary, autosomal recessive, 1 (PHOAR1) [MIM:259100]: A disease characterized by digital clubbing, periostosis, acroosteolysis, painful joint enlargement, and variable features of pachydermia that include thickened facial skin and a thickened scalp. Other developmental anomalies include delayed closure of the cranial sutures and congenital heart disease. Note=The disease is caused by mutations affecting the gene represented in this entry.
Cranioosteoarthropathy (COA) [MIM:259100]: A form of osteoarthropathy characterized by swelling of the joints, digital clubbing, hyperhidrosis, delayed closure of the fontanels, periostosis, and variable patent ductus arteriosus. Pachydermia is not a prominent feature. Note=The disease is caused by mutations affecting the gene represented in this entry.
Isolated congenital nail clubbing (ICNC) [MIM:119900]: A rare genodermatosis characterized by enlargement of the nail plate and terminal segments of the fingers and toes, resulting from proliferation of the connective tissues between the nail matrix and the distal phalanx. It is usually symmetrical and bilateral (in some cases unilateral). In nail clubbing usually the distal end of the nail matrix is relatively high compared to the proximal end, while the nail plate is complete but its dimensions and diameter more or less vary in comparison to normal. There may be different fingers and toes involved to varying degrees. Some fingers or toes are spared, but the thumbs are almost always involved. Note=The disease is caused by mutations affecting the gene represented in this entry.

Similarity:
Belongs to the short-chain dehydrogenases/reductases (SDR) family.

SWISS:
P15428

Gene ID:
3248

Database links:

Entrez Gene: 3248 Human

Omim: 601688 Human

SwissProt: P15428 Human

Unigene: 596913 Human



产品图片
Western blot analysis of HPGD Antibody (C-term) (bs-6051R) in MDA-MB231 cell line lysates (35ug/lane). HPGD (arrow) was detected using the purified Pab.
Anti-HPGD Antibody (C-term) at 1:2000 dilution + human placenta lysate Lysates/proteins at 20 µg per lane. Secondary Goat Anti-Rabbit IgG, (H+L), Peroxidase conjugated at 1/10000 dilution. Predicted band size : 29 kDa Blocking/Dilution buffer: 5% NFDM/TBST.
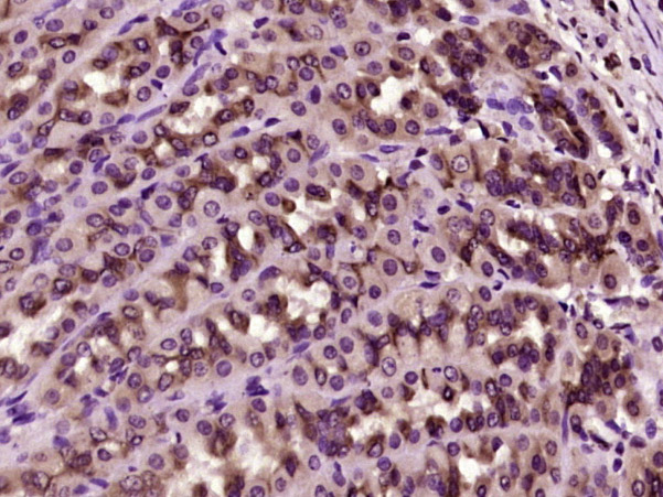
Paraformaldehyde-fixed, paraffin embedded (rat stomach tissue); Antigen retrieval by boiling in sodium citrate buffer (pH6.0) for 15min; Block endogenous peroxidase by 3% hydrogen peroxide for 20 minutes; Blocking buffer (normal goat serum) at 37°C for 30min; Antibody incubation with (PGDH) Polyclonal Antibody, Unconjugated (bs-6051R) at 1:400 overnight at 4°C, followed by operating according to SP Kit(Rabbit) (sp-0023) instructionsand DAB staining.
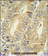
Paraformaldehyde-fixed, paraffin embedded (human colon carcinoma); Antigen retrieval by boiling in sodium citrate buffer (pH6.0) for 15min; Block endogenous peroxidase by 3% hydrogen peroxide for 20 minutes; Blocking buffer (normal goat serum) at 37°C for 30min; Antibody incubation with (PGDH) Polyclonal Antibody, Unconjugated (bs-6051R) at 1:400 overnight at 4°C, followed by operating according to SP Kit(Rabbit) (sp-0023) instructionsand DAB staining.
HPGD Antibody (C-term) (bs-6051R) flow cytometric analysis of MDA-MB231 cells (right histogram) compared to a negative control cell (left histogram).FITC-conjugated goat-anti-rabbit secondary antibodies were used for the analysis.
版权所有 2004-2026 www.bioss.com.cn 北京博奥森生物技术有限公司
通过国际质量管理体系ISO 9001:2015 GB/T 19001-2016    证书编号: 00124Q34771R2M/1100
通过国际医疗器械-质量管理体系ISO 13485:2016 GB/T 42061-2022     证书编号: CQC24QY20047R0M/1100
京ICP备05066980号-1         京公网安备110107000727号