扫码关注公众号           扫码咨询技术支持           扫码咨询技术服务
  
客服热线:400-901-9800  客服QQ:4009019800  技术答疑  技术支持  质量反馈  人才招聘  关于我们  联系我们
产品中心-北京博奥森生物技术有限公司
首页 > 产品中心 > 一抗 > 产品信息
FBXO31 Rabbit pAb (bs-6006R)  
订购热线:400-901-9800
订购邮箱:sales@bioss.com.cn
订购QQ:  400-901-9800
技术支持:techsupport@bioss.com.cn
50ul/1180.00元
100ul/1980.00元
200ul/2800.00元
大包装/询价

产品编号 bs-6006R
英文名称 FBXO31 Rabbit pAb
中文名称 F-box蛋白家族FBXO31抗体
别    名 FBX14; FBXO14; Fbx31; MRT45; pp2386; 1110003O08Rik; 2310046N15Rik; FBX31_HUMAN; FBXO31; FBX31_MOUSE;   
研究领域 肿瘤  细胞生物  免疫学  
抗体来源 Rabbit
克隆类型 Polyclonal
克 隆 号
交叉反应 Mouse,Rat (predicted: Human,Rabbit,Pig,Sheep,Cow,Chicken,Horse)
产品应用 WB=1:500-2000,IHC-P=1:100-500,IHC-F=1:100-500,IF=1:100-500
not yet tested in other applications.
optimal dilutions/concentrations should be determined by the end user.
理论分子量 61 kDa
检测分子量 63
细胞定位 细胞浆 
性    状 Liquid
浓    度 1mg/ml
免 疫 原 KLH conjugated synthetic peptide derived from human FBXO31: 151-250/539 
亚    型 IgG
纯化方法 affinity purified by Protein A
缓 冲 液 0.01M TBS (pH7.4) with 1% BSA, 0.02% Proclin300 and 50% Glycerol.
保存条件 Shipped at 4℃. Store at -20℃ for one year. Avoid repeated freeze/thaw cycles.
注意事项 This product as supplied is intended for research use only, not for use in human, therapeutic or diagnostic applications.
PubMed PubMed
产品介绍 FBXO31 belongs to the F-box protein family. Such proteins are characterized by an F-box motif of approximately 40 residues. F-box proteins interact with SKP1 through the F box and they interact with ubiquitination targets through other protein interaction domains. There are two different isoforms.

Function:
Component of some SCF (SKP1-cullin-F-box) protein ligase complex that plays a central role in G1 arrest following DNA damage. Specifically recognizes phosphorylated cyclin-D1 (CCND1), promoting its ubiquitination and degradation by the proteasome, resulting in G1 arrest. May act as a tumor suppressor.

Subunit:
Part of a SCF (SKP1-cullin-F-box) protein ligase complex.

Tissue Specificity:
Highly expressed in brain. Expressed at moderate levels in most tissues, except bone marrow.

Post-translational modifications:
Phosphorylation at Ser-278 by ATM following gamma-irradiation results in its stabilization.

Similarity:
Belongs to the FBXO31 family.
Contains 1 F-box domain.

SWISS:
Q5XUX0

Gene ID:
79791

Database links:

Entrez Gene: 79791 Human

Entrez Gene: 76454 Mouse

Omim: 609102 Human

SwissProt: Q5XUX0 Human

SwissProt: Q3TQF0 Mouse

Unigene: 567582 Human

Unigene: 467749 Mouse



产品图片
Sample: NIH/3T3 cell (mouse) Lysate at 40 ug Primary: Anti-FBXO31 (bs-6006R)at 1/300 dilution Secondary: IRDye800CW Goat Anti-Rabbit IgG at 1/20000 dilution Predicted band size: 61kD Observed band size: 63 kD
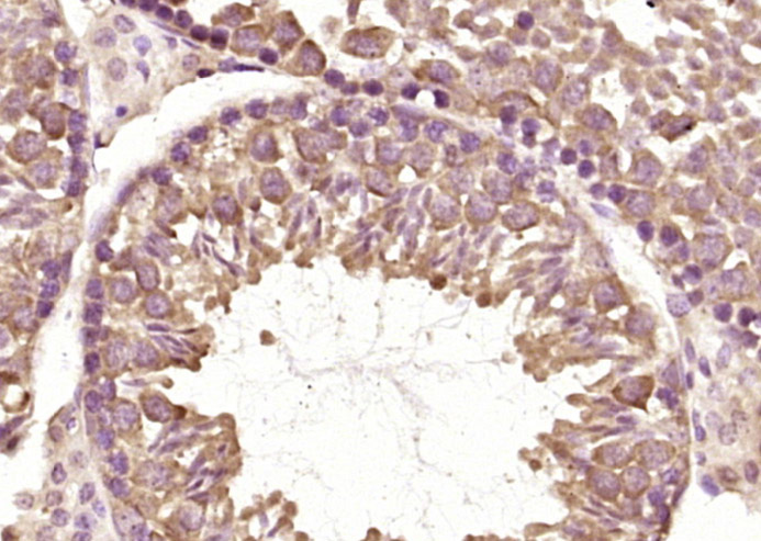
Paraformaldehyde-fixed, paraffin embedded (mouse testis); Antigen retrieval by boiling in sodium citrate buffer (pH6.0) for 15min; Block endogenous peroxidase by 3% hydrogen peroxide for 20 minutes; Blocking buffer (normal goat serum) at 37°C for 30min; Antibody incubation with (FBXO31) Polyclonal Antibody, Unconjugated (bs-6006R) at 1:200 overnight at 4°C, followed by operating according to SP Kit(Rabbit) (sp-0023) instructionsand DAB staining.
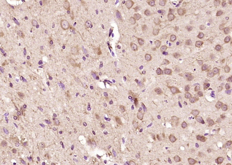
Paraformaldehyde-fixed, paraffin embedded (rat brain); Antigen retrieval by boiling in sodium citrate buffer (pH6.0) for 15min; Block endogenous peroxidase by 3% hydrogen peroxide for 20 minutes; Blocking buffer (normal goat serum) at 37°C for 30min; Antibody incubation with (FBXO31) Polyclonal Antibody, Unconjugated (bs-6006R) at 1:200 overnight at 4°C, followed by operating according to SP Kit(Rabbit) (sp-0023) instructionsand DAB staining.
版权所有 2004-2026 www.bioss.com.cn 北京博奥森生物技术有限公司
通过国际质量管理体系ISO 9001:2015 GB/T 19001-2016    证书编号: 00124Q34771R2M/1100
通过国际医疗器械-质量管理体系ISO 13485:2016 GB/T 42061-2022     证书编号: CQC24QY20047R0M/1100
京ICP备05066980号-1         京公网安备110107000727号