扫码关注公众号           扫码咨询技术支持           扫码咨询技术服务
  
客服热线:400-901-9800  客服QQ:4009019800  技术答疑  技术支持  质量反馈  人才招聘  关于我们  联系我们
产品中心-北京博奥森生物技术有限公司
首页 > 产品中心 > 一抗 > 产品信息
HSP40 Rabbit pAb (bs-6002R)  
订购热线:400-901-9800
订购邮箱:sales@bioss.com.cn
订购QQ:  400-901-9800
技术支持:techsupport@bioss.com.cn
50ul/1180.00元
100ul/1980.00元
200ul/2800.00元
大包装/询价

产品编号 bs-6002R
英文名称 HSP40 Rabbit pAb
中文名称 热休克蛋白家族40抗体
别    名 HSPF1; Hdj1; Hsp40; RSPH16B; Sis1; 0610007I11Rik; DjB1; DNJB1_HUMAN; DNAJB1; DnaJ protein homolog 1; Heat shock 40 kDa protein 1 (HSP40 | Heat shock protein 40); Human DnaJ protein 1 (hDj-1); DNAJ1; DNJB1_MOUSE;   
研究领域 肿瘤  细胞生物  免疫学  信号转导  
抗体来源 Rabbit
克隆类型 Polyclonal
克 隆 号
交叉反应 Human,Mouse (predicted: Rat,Pig,Cow,Dog,Horse)
产品应用 IHC-P=1:100-500,IHC-F=1:100-500,IF=1:100-500,Flow-Cyt=2μg/Test
not yet tested in other applications.
optimal dilutions/concentrations should be determined by the end user.
理论分子量 38 kDa
细胞定位 细胞浆 细胞膜 
性    状 Liquid
浓    度 1mg/ml
免 疫 原 KLH conjugated synthetic peptide derived from human DNAJB4/HSP40 homolog: 151-250/337 
亚    型 IgG
纯化方法 affinity purified by Protein A
缓 冲 液 0.01M TBS (pH7.4) with 1% BSA, 0.02% Proclin300 and 50% Glycerol.
保存条件 Shipped at 4℃. Store at -20℃ for one year. Avoid repeated freeze/thaw cycles.
注意事项 This product as supplied is intended for research use only, not for use in human, therapeutic or diagnostic applications.
PubMed PubMed
产品介绍 DNAJB4 is a member of the evolutionarily conserved DNAJ/HSP40 protein family.

Function:
Interacts with HSP70 and can stimulate its ATPase activity. Stimulates the association between HSC70 and HIP.

Subunit:
Homodimer.

Subcellular Location:
Cytoplasm. Nucleus. Nucleus > nucleolus. Translocates rapidly from the cytoplasm to the nucleus, and especially to the nucleoli, upon heat shock.

Tissue Specificity:
Expressed in heart, pancreas and skeletal muscle, and to a lesser extent in brain, placenta and liver.

Similarity:
Contains 1 J domain.

SWISS:
P25685

Gene ID:
3337

Database links:

Entrez Gene: 3337 Human

Entrez Gene: 81489 Mouse

Entrez Gene: 361384 Rat

Omim: 604572 Human

SwissProt: P25685 Human

SwissProt: Q9QYJ3 Mouse

Unigene: 515210 Human

Unigene: 282092 Mouse

Unigene: 128947 Rat



热休克蛋白家族40抗体
产品图片
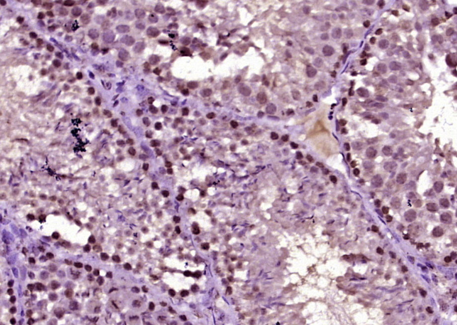
Paraformaldehyde-fixed, paraffin embedded (mouse testis tissue); Antigen retrieval by boiling in sodium citrate buffer (pH6.0) for 15min; Block endogenous peroxidase by 3% hydrogen peroxide for 20 minutes; Blocking buffer (normal goat serum) at 37°C for 30min; Antibody incubation with (HSP40) Polyclonal Antibody, Unconjugated (bs-6002R) at 1:400 overnight at 4°C, followed by operating according to SP Kit(Rabbit) (sp-0023) instructionsand DAB staining.
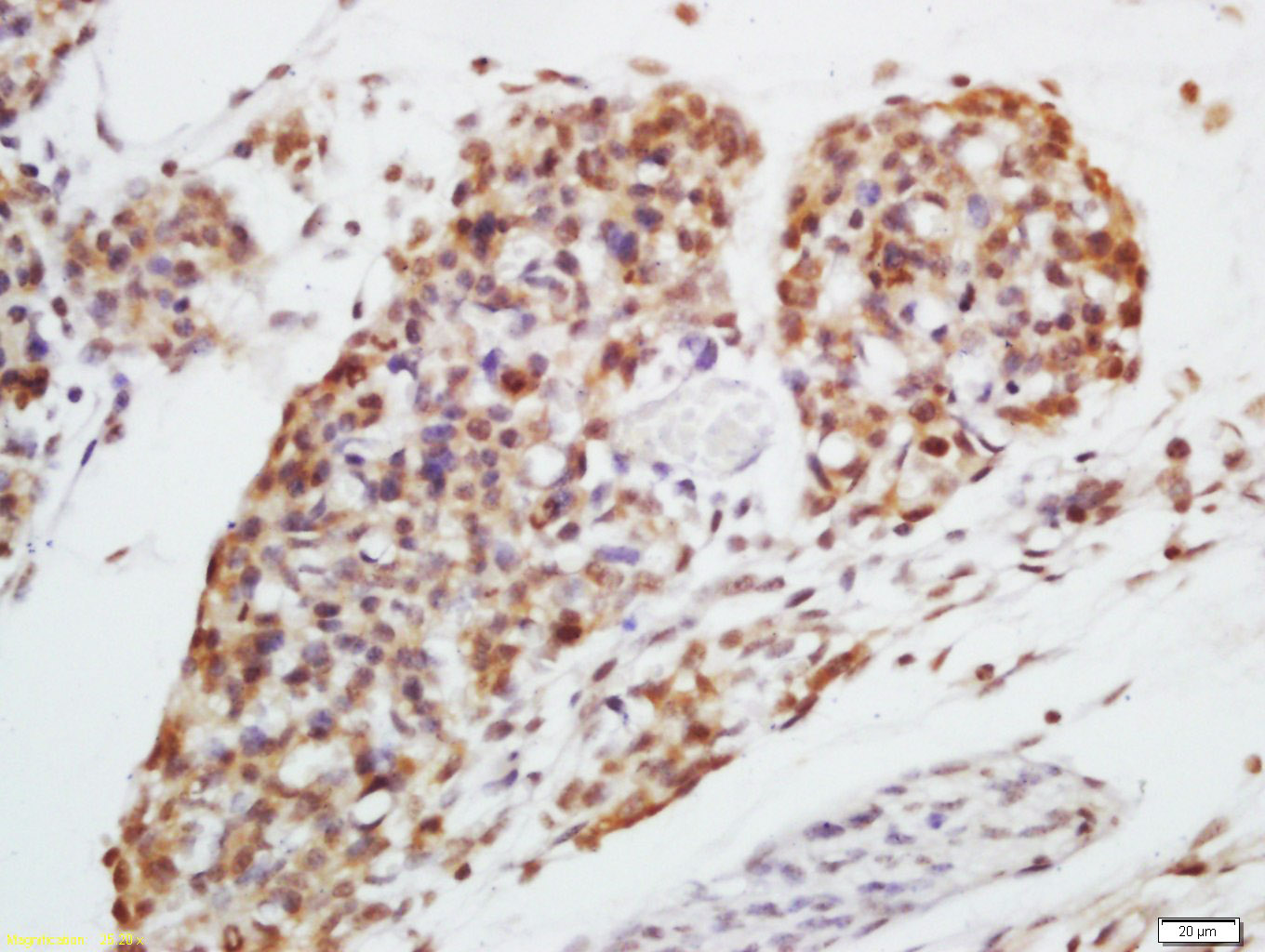
Tissue/cell: mouse embryo tissue; 4% Paraformaldehyde-fixed and paraffin-embedded; Antigen retrieval: citrate buffer ( 0.01M, pH 6.0 ), Boiling bathing for 15min; Block endogenous peroxidase by 3% Hydrogen peroxide for 30min; Blocking buffer (normal goat serum,C-0005) at 37℃ for 20 min; Incubation: Anti-HSP40 Polyclonal Antibody, Unconjugated(bs-6002R) 1:200, overnight at 4°C, followed by conjugation to the secondary antibody(SP-0023) and DAB(C-0010) staining
This image has been kindly submitted by Tübingen Ageing and Tumour Immunology Group (TATI), Centre for Medical Research (ZMF), University of Tübingen Medical School www.tati-group.de via our distributor Biozol.Human Melanoma cell line, EST02, was stained with Rabbit Anti-HSP40 homolog Polyclonal Antibody, FITC Conjugated (bs-6002-FITC) at 1:50 for 30 minutes, on ice.
版权所有 2004-2026 www.bioss.com.cn 北京博奥森生物技术有限公司
通过国际质量管理体系ISO 9001:2015 GB/T 19001-2016    证书编号: 00124Q34771R2M/1100
通过国际医疗器械-质量管理体系ISO 13485:2016 GB/T 42061-2022     证书编号: CQC24QY20047R0M/1100
京ICP备05066980号-1         京公网安备110107000727号